ISO 9001:2015 Certified
Live Customer Support
4.5/5 on Trustpilot
100% Quality Guarantee

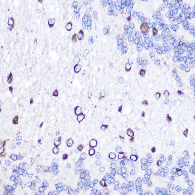
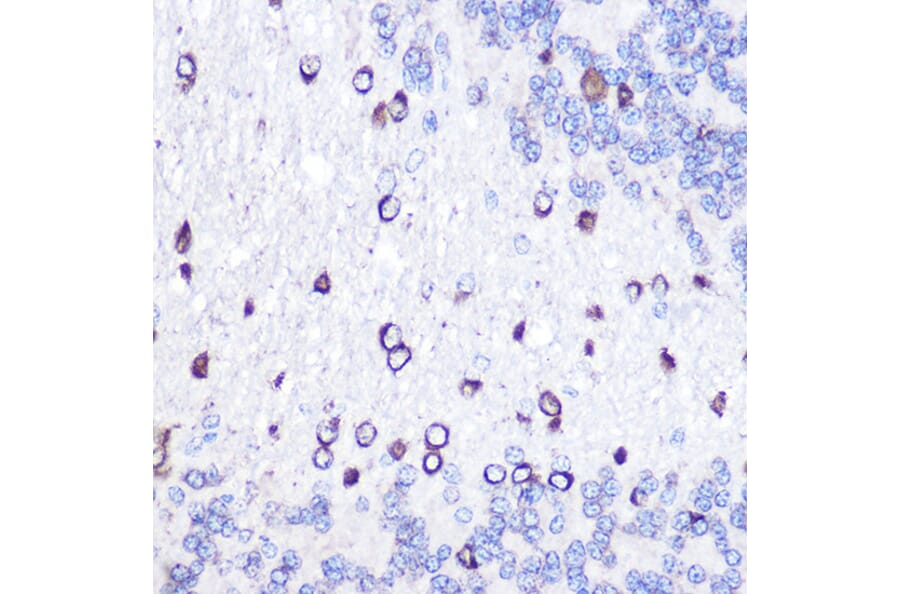
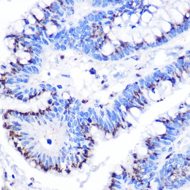
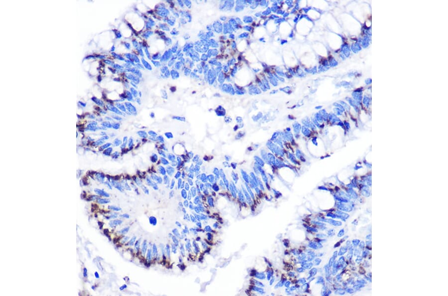
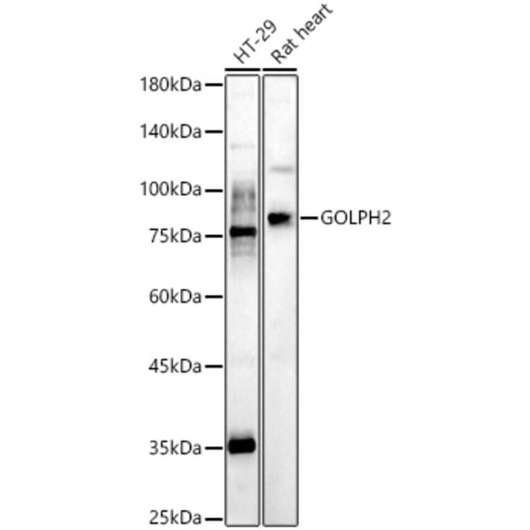
Anti-GOLPH2 Antibody (A10100)

Rabbit polyclonal antibody to GOLPH2 for WB, IHC and ICC/IF.

Shipping Information

$40
Dispatched from St. Louis, MO.
Lead Time: 7-10 business days.
Name
Anti-GOLPH2 Antibody
Description
Rabbit polyclonal antibody to GOLPH2.
Applications
WB, IHC, ICC/IF
Dilutions
WB: 1:500-1:1,000, IHC: 1:50-1:200, ICC/IF: 1:50-1:200
Reactivity
Human, Mouse, Rat
Immunogen
Recombinant fusion protein containing a sequence corresponding to amino acids 112-270 of human GOLPH2 (NP_057632.2).
Sequence
TGERLIRVLQDQLKTLQRNYGRLQQDVLQFQKNQTNLERKFSYDLSQCINQMKEVKEQCEERIEEVTKKGNEAVASRDLSENNDQRQQLQALSEPQPRLQAAGLPHTEVPQGKGNVLGNSKSQTPAPSSEVVLDSKRQVEKEETNEIQVVNEEPQRDRL
Host
Rabbit
Clonality
Polyclonal
Isotype
IgG
Conjugate

Unconjugated

Purification
Affinity purification.
Concentration
Lot Specific
Molecular Weight
75 kDa
Product Form
Liquid
Formulation
Supplied in Phosphate Buffered Saline, pH 7.3, with 50% Glycerol and 0.05% Proclin 300.
Storage
Shipped at 4°C. Upon delivery aliquot and store at -20°C. Avoid freeze/thaw cycles.
Synonyms
C9orf155, Golgi membrane protein 1, Golgi membrane protein GP73, Golgi phosphoprotein 2, GOLM1
Disclaimer
This product is for research use only. It is not intended for diagnostic or therapeutic use.
Publishing research using Anti-GOLPH2 Antibody (A10100)? Please let us know so that we can list the citation on this page.

Alternative products to Anti-GOLPH2 Antibody (A10100)

Proteins predicted to interact with GOLPH2

Predicted protein interactions based upon String database. Revelancy score correlates with probability of interaction.
80.8% Relevancy Score
73.6% Relevancy Score
71.7% Relevancy Score
62.1% Relevancy Score
61.9% Relevancy Score
58.6% Relevancy Score
58.1% Relevancy Score
57.2% Relevancy Score
54.8% Relevancy Score