ISO 9001:2015 Certified
Live Customer Support
4.5/5 on Trustpilot
100% Quality Guarantee

Anti-GRP78 BiP Antibody (A85241)

Goat polyclonal antibody to GRP78 BiP for ELISA, IF and WB.

Shipping Information

$40
Dispatched from St. Louis, MO.
Lead Time: 7-10 business days.
Name
Anti-GRP78 BiP Antibody
Description
Goat polyclonal antibody to GRP78 BiP.
Applications
ELISA, IF, WB
Dilutions
ELISA: 1:128,000, WB: 0.01-0.1µg/ml, IF: 5µg/ml
Reactivity
Human, Mouse, Rat
Immunogen
Synthetic peptide corresponding to the internal region, amino acids 118-131, of human GRP78 BiP.
Sequence
C-KVVEKKTKPYIQVD
Host
Goat
Clonality
Polyclonal
Isotype
IgG
Conjugate

Unconjugated

Purification
Purified from goat serum by ammonium sulphate precipitation followed by antigen affinity chromatography using the immunizing peptide.
Concentration
500 µg/ml
Molecular Weight
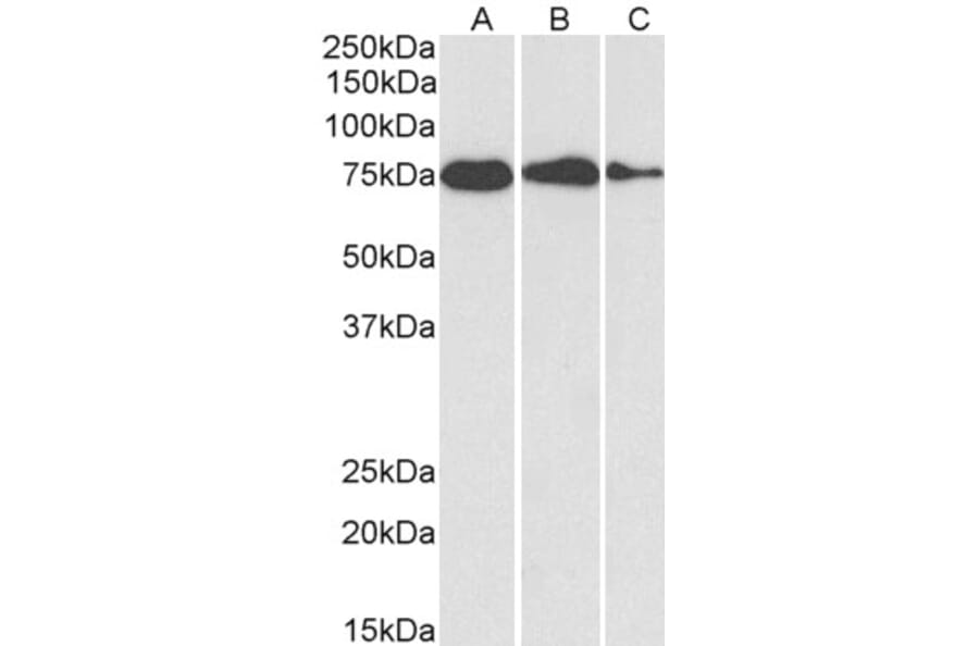
75 kDa
Predicted MW
72.3kDa
Product Form
Liquid
Formulation
Supplied in Tris Buffered Saline, pH 7.3, with 0.5% BSA and 0.02% Sodium Azide.
Storage
Shipped at 4°C. Upon delivery aliquot and store at -20°C. Avoid freeze/thaw cycles.
Synonyms
78 kDa glucose regulated protein, 78 kDa glucose-regulated protein, AL022860, AU019543, BIP, D2Wsu141e, D2Wsu17e, Endoplasmic reticulum lumenal Ca(2+)-binding protein grp78, Endoplasmic reticulum lumenal Ca2+ binding protein grp78, Epididymis secretory sperm binding protein Li 89n, FLJ26106, Glucose Regulated Protein 78kDa, GRP 78, GRP-78, GRP78, GRP78_HUMAN, Heat shock 70 kDa protein 5, Heat Shock 70kDa Protein 5, Heat shock protein family A (Hsp70) member 5, HEL S 89n, Hsce70, HSPA 5, HSPA5, Immunoglobulin Heavy Chain Binding Protein, Immunoglobulin heavy chain-binding protein, mBiP, MIF2, Sez7
Isotype Controls
Disclaimer
This product is for research use only. It is not intended for diagnostic or therapeutic use.
Publishing research using Anti-GRP78 BiP Antibody (A85241)? Please let us know so that we can list the citation on this page.

Alternative products to Anti-GRP78 BiP Antibody (A85241)