Synthetic peptide corresponding to the sequence near the C-terminus of mouse GRP94.
Host
Rabbit
Clonality
Polyclonal
Isotype
IgG
Conjugate
Unconjugated
Purification
Peptide affinity purification.
Concentration
1 mg/ml
Molecular Weight
~94 kDa
Product Form
Liquid
Formulation
Supplied in Phosphate Buffered Saline, pH 7.4, with 50% Glycerol and 0.09% Sodium Azide.
Storage
Shipped at 4°C. Upon delivery aliquot and store at -20°C. Avoid freeze / thaw cycles.
Synonyms
94 kDa glucose-regulated protein, Endoplasmin, gp96 homolog, GRP-94, Heat shock protein 90 kDa beta member 1, Heat shock protein family C member 4, HSP90B1, HSPC4, TRA1, Tumor rejection antigen 1
Immunocytochemistry/Immunofluorescence analysis of human heat shocked cervical cancer cell line (HeLa), fixed in 2% formaldehyde for 20 minutes at room temperature, using Anti-GRP94 Antibody (A305086), at 1:120 for 12 hours at 4°C. The secondary antibody used was APC Goat Anti-Rabbit (red) at 1:200 for 2 hours at room temperature. Counterstain: DAPI (blue) nuclear stain at 1:40000 for 2 hours at room temperature. Localization: Endoplasmic reticulum lumen. Melanosome. Magnification: 20x.(A) DAPI (blue) nuclear stain. (B) Anti-GRP94 Antibody. (C) Composite. Heat Shocked at 42°C for 1h.
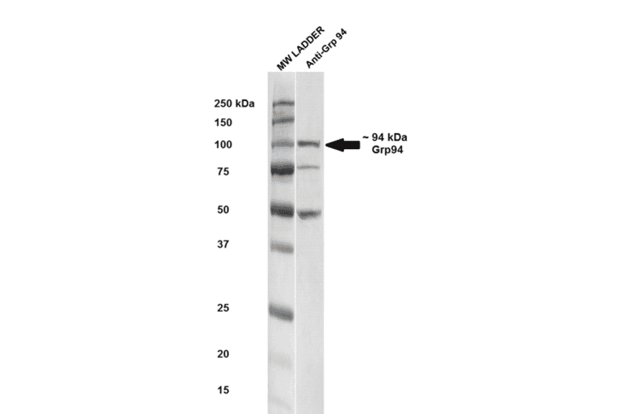
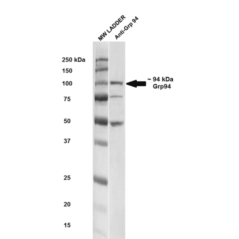
Western blot analysis of rat brain cell lysates showing detection of ~ 94-100 kDa GRP94 protein using Anti-GRP94 Antibody (A305086) at 1:250 for 1 hour at room temperature. Lane 1: MW ladder. Lane 2: Anti-GRP94 (1:250). Load: 20 µg. Block: 5% milk + TBST for 1 hour at room temperature. The secondary antibody used was Goat Anti-Rabbit HRP antibody at 1:50-1:100 for 1 hour at room temperature. Color Development: TMB solution for 5 minutes at room temperature. Predicted/Observed Size: ~ 94-100 kDa. Other Band(s): ~50, ~75 kDa.
Immunocytochemistry/Immunofluorescence analysis of human heat shocked cervical cancer cell line (HeLa), fixed in 2% formaldehyde for 20 minutes at room temperature, using Anti-GRP94 Antibody (A305086), at 1:120 for 12 hours at 4°C. The secondary antibody used was FITC Goat Anti-Rabbit (green) at 1:200 for 2 hours at room temperature. Counterstain: DAPI (blue) nuclear stain at 1:40000 for 2 hours at room temperature. Localization: Endoplasmic reticulum lumen. Melanosome. Magnification: 100x.(A) DAPI (blue) nuclear stain. (B) Anti-GRP94 Antibody. (C) Composite. Heat Shocked at 42°C for 1h.
Publishing research using Anti-GRP94 Antibody (A305086)? Please let us know so that we can list the citation on this page.
Alternative products to Anti-GRP94 Antibody (A305086)