ISO 9001:2015 Certified
Live Customer Support
4.5/5 on Trustpilot
100% Quality Guarantee

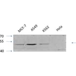
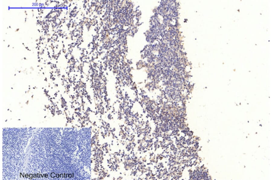
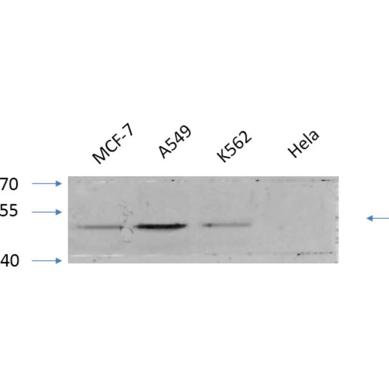
Anti-GSK3 alpha + beta (phospho Tyr279 + Tyr216) Antibody (A95108)

Rabbit polyclonal antibody to GSK3 alpha + beta (phospho Tyr279 + Tyr216) for IF, WB, IHC and ELISA.

Shipping Information

$40
Dispatched from St. Louis, MO.
Lead Time: 6-8 business days.
Name
Anti-GSK3 alpha + beta (phospho Tyr279 + Tyr216) Antibody
Description
Rabbit polyclonal antibody to GSK3 alpha + beta (phospho Tyr279 + Tyr216).
Specificity
This antibody detects endogenous levels of GSK3 alpha/beta only when phosphorylated at Tyr279/216.
Applications
IF, WB, IHC, ELISA
Dilutions
IHC: 1:50~1:100, ELISA: 1:5000
Reactivity
Human, Mouse, Rat
Cross Reactivity
No reported cross-reactivity.
Immunogen
Synthetic peptide derived from human GSK3 alpha/beta around the phosphorylation site of Tyr279/216 (amino acids 246-295).
Host
Rabbit
Clonality
Polyclonal
Isotype
IgG
Conjugate

Unconjugated

Purification
Purified from rabbit serum by antigen affinity chromatography using the immunizing phospho peptide.
Molecular Weight
50kDa
Product Form
Liquid
Formulation
Supplied in Phosphate Buffered Saline (without Mg2+ and Ca2+), pH 7.4, with 150mM NaCl, 0.02% Sodium Azide, and 50% Glycerol.
Storage
Shipped at 4°C. Upon delivery aliquot and store at -20°C. Avoid freeze / thaw cycles.
Synonyms
EC:2.7.11.1, Glycogen synthase kinase-3 alpha, GSK-3 alpha, GSK3A, Serine/threonine-protein kinase GSK3A
Disclaimer
This product is for research use only. It is not intended for diagnostic or therapeutic use.
Publishing research using Anti-GSK3 alpha + beta (phospho Tyr279 + Tyr216) Antibody (A95108)? Please let us know so that we can list the citation on this page.

Alternative products to Anti-GSK3 alpha + beta (phospho Tyr279 + Tyr216) Antibody (A95108)

Proteins predicted to interact with GSK3 alpha

Predicted protein interactions based upon String database. Revelancy score correlates with probability of interaction.
99.9% Relevancy Score
99.7% Relevancy Score
99.6% Relevancy Score
99.3% Relevancy Score
98% Relevancy Score
96.2% Relevancy Score
93.7% Relevancy Score
93.7% Relevancy Score