ISO 9001:2015 Certified
Live Customer Support
4.5/5 on Trustpilot
100% Quality Guarantee

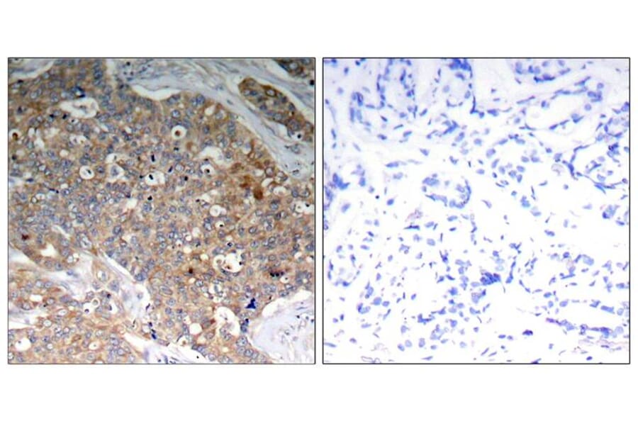
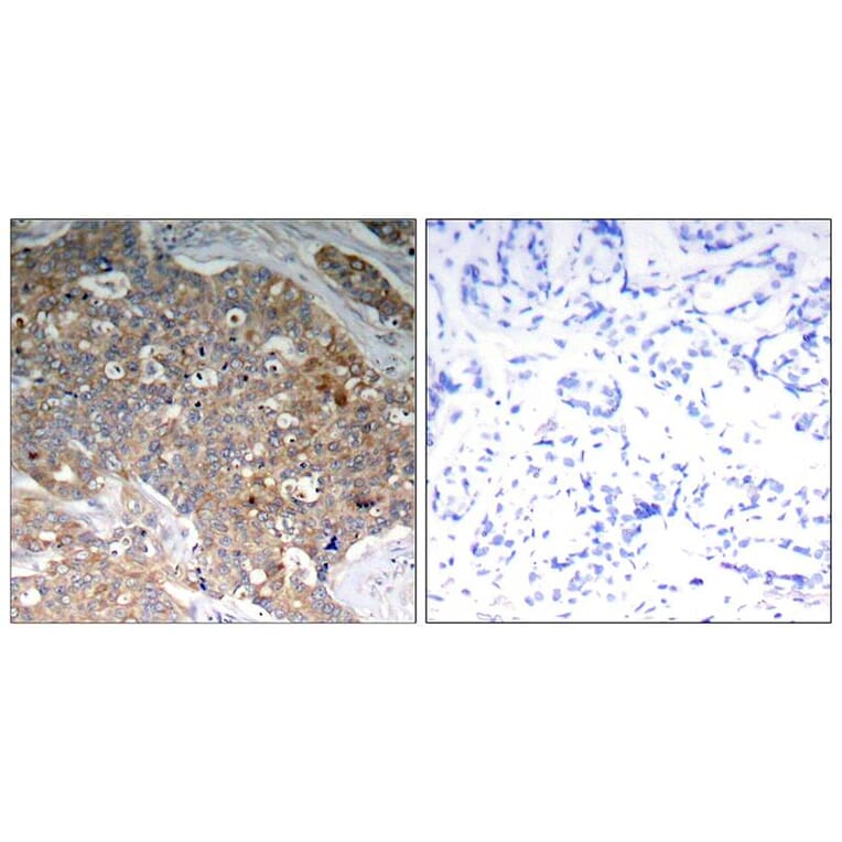
Anti-GSK3a / ß (Phospho-Tyr279 / 216) Antibody (A50143)

Rabbit polyclonal antibody to GSK3a / ß (Phospho-Tyr279 / 216) for WB and IHC.

Shipping Information

$40
Dispatched from St. Louis, MO.
Lead Time: 6-9 business days.
Name
Anti-GSK3a / ß (Phospho-Tyr279 / 216) Antibody
Description
Rabbit polyclonal antibody to GSK3a / ß (Phospho-Tyr279 / 216)
Specificity
The antibody detects endogenous level of GSK3a / ß only when phosphorylated at tyrosine 279 / 216.
Applications
WB, IHC
Dilutions
Western blotting: 1:500~1:1000 Immunohistochemistry: 1:50~1:100 Immunofluorescence: 1:100~1:200
Reactivity
Human, Mouse, Rat
Immunogen
Peptide sequence around phosphorylation site of tyrosine 279 / 216 (V-S-Y(p)-I-C) derived from Human GSK3a / ß.
Host
Rabbit
Clonality
Polyclonal
Conjugate

Unconjugated

Purification
Antibodies were produced by immunizing rabbits with synthetic phosphopeptide and KLH conjugates. Antibodies were purified by affinity-chromatography using epitope-specific phosphopeptide. Non-phospho specific antibodies were removed by chromatogramphy using non-phosphopeptide.
Concentration
1.0 mg/mL
Predicted MW
46, 51kd
Formulation
Supplied in phosphate-buffered saline (without Mg²? and Ca²?), pH 7.4, containing 150 mM NaCl, 0.02% sodium azide, and 50% glycerol.
Storage
Shipped at 4°C. Upon delivery aliquot and store at -20°C. Avoid freeze/thaw cycles.
Synonyms
EC:2.7.11.1, Glycogen synthase kinase-3 alpha, GSK-3 alpha, Serine/threonine-protein kinase GSK3A
Disclaimer
This product is for research use only. It is not intended for diagnostic or therapeutic use.
Publishing research using Anti-GSK3a / ß (Phospho-Tyr279 / 216) Antibody (A50143)? Please let us know so that we can list the citation on this page.

Alternative products to Anti-GSK3a / ß (Phospho-Tyr279 / 216) Antibody (A50143)

Proteins predicted to interact with GSK3 alpha

Predicted protein interactions based upon String database. Revelancy score correlates with probability of interaction.
99.9% Relevancy Score
99.7% Relevancy Score
99.6% Relevancy Score
99.3% Relevancy Score
98% Relevancy Score
96.2% Relevancy Score
93.7% Relevancy Score
93.7% Relevancy Score