Primary Antibodies
Secondary Antibodies
Proteins & Peptides
ELISA Kits
About Us
Contact Us
Sign In/Register
0
ISO 9001:2015 Certified
Live Customer Support
4.5/5 on Trustpilot
100% Quality Guarantee
Home
Primary Antibodies
HACE1 Antibodies
Anti-HACE1 Antibody (A46228)
Anti-HACE1 Antibody (A46228)
Overview
Specifications
Images
Enlarge Image
Enlarge Image
$430
Product Datasheet
Rabbit polyclonal antibody to HACE1 for IHC.
100% Guarantee
Price Match Guarantee
Product Size:
100µl
Quantity:
1
2
3
4
5
6
7
8
9
10
Add To Cart
Request a Quotation
Custom or Bulk Request
Shipping Information
Freight/Packing Charges:
$40
Dispatched from St. Louis, MO.
Lead Time: 6-9 business days.
Specifications
Name
Anti-HACE1 Antibody
Description
Rabbit polyclonal antibody to HACE1
Specificity
The antibody detects endogenous levels of total HACE1 protein.
Applications
IHC
Reactivity
Human, Mouse, Rat
Immunogen
Synthetic peptide corresponding to residues near the C terminal of human HECT domain and ankyrin repeat containing E3 ubiquitin protein ligase 1
Host
Rabbit
Clonality
Polyclonal
Conjugate
Unconjugated
Purification
Antigen affinity purification.
Concentration
2.9 mg/mL
Formulation
Supplied in PBS, pH 7.3, containing 0.05% sodium azide and 50% glycerol.
Storage
Shipped at 4°C. Upon delivery aliquot and store at -20°C. Avoid freeze/thaw cycles.
Synonyms
E3 ubiquitin-protein ligase HACE1, HECT domain and ankyrin repeat-containing E3 ubiquitin-protein ligase 1, HECT-type E3 ubiquitin transferase HACE1, KIAA1320
Suitable Secondaries
Goat Anti-Rabbit IgG H&L Antibody (AP) (A294874)
Goat Anti-Rabbit IgG H&L Antibody (Biotin) (A294795)
Goat Anti-Rabbit IgG H&L Antibody (FITC) (A294887)
Goat Anti-Rabbit IgG H&L Antibody (HRP) (A294888)
See all Anti-Rabbit IgG Secondaries →
Disclaimer
This product is for research use only. It is not intended for diagnostic or therapeutic use.
Scientific Validation Data
Validation Data
(2)
Enlarge Image
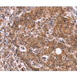
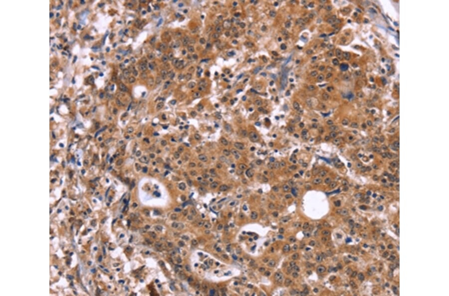
Immunohistochemistry - Anti-HACE1 Antibody (A46228)
Immunohistochemical analysis of paraffin-embedded Human thyroid cancer tissue using #37612 at dilution 1/40.
Enlarge Image
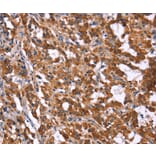
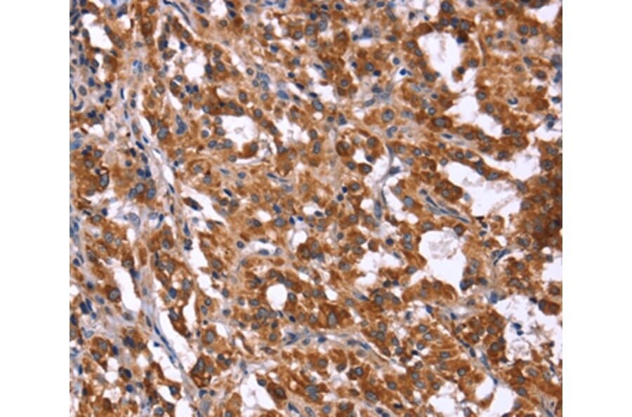
Immunohistochemistry - Anti-HACE1 Antibody (A46228)
Immunohistochemical analysis of paraffin-embedded Human gastric cancer tissue using #37612 at dilution 1/40.
Publishing research using Anti-HACE1 Antibody (A46228)? Please
let us know
so that we can list the citation on this page.
Alternative products to Anti-HACE1 Antibody (A46228)
(3)
A87736
Anti-HACE1 Antibody
Rabbit polyclonal antibody to HACE1 for WB and IHC.
(3)
A87736
Anti-HACE1 Antibody
Rabbit polyclonal antibody to HACE1 for WB and IHC.
Proteins predicted to interact with HACE1
Predicted protein interactions based upon String database. Revelancy score correlates with probability of interaction.
UBE2L3 Antibodies
93.5% Relevancy Score
RAC1 Antibodies
86.6% Relevancy Score
PrP Antibodies
60.7% Relevancy Score
TRRAP Antibodies
57.5% Relevancy Score
RAB4 Antibodies
55.9% Relevancy Score
Optineurin Antibodies
52.3% Relevancy Score
Aly Antibodies
51.9% Relevancy Score
Huntingtin Antibodies
47.8% Relevancy Score
TAG1 Antibodies
45.7% Relevancy Score
Top