ISO 9001:2015 Certified
Live Customer Support
4.5/5 on Trustpilot
100% Quality Guarantee

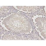
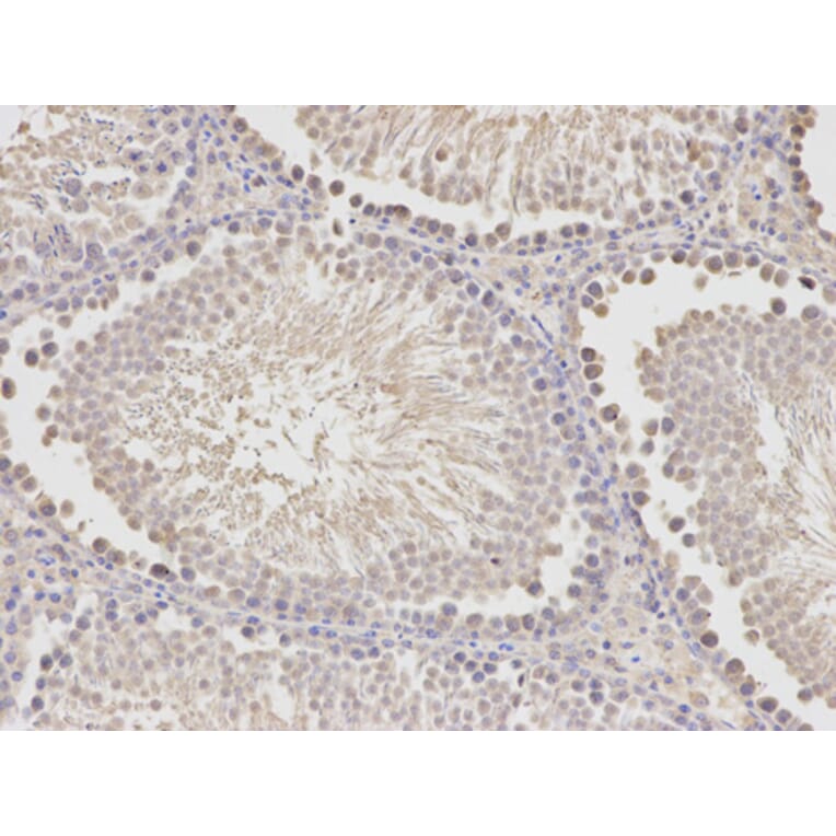
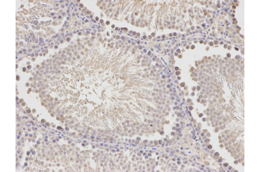
Anti-HADH Antibody (A29220)

Rabbit polyclonal antibody to HADH for WB and IHC.

Shipping Information

$40
Dispatched from St. Louis, MO.
Lead Time: 7-10 business days.
Name
Anti-HADH Antibody
Description
Rabbit polyclonal antibody to HADH
Specificity
HADH pAb detects endogenous levels of HADH protein.
Applications
WB, IHC
Reactivity
Human, Mouse, Rat
Immunogen
Recombinant full length Human HADH.
Host
Rabbit
Clonality
Polyclonal
Conjugate

Unconjugated

Molecular Weight
~ 34 kDa
Purity
The antibody was affinity-purified from rabbit antiserum by affinity-chromatography using epitope-specific immunogen and the purity is > 95% (by SDS-PAGE).
Product Form
1mg/ml in PBS with 0.1% Sodium Azide, 50% Glycerol.
Synonyms
HAD, HAD1, HADHSC, HCDH, Hydroxyacyl-coenzyme A dehydrogenase, mitochondrial, Medium and short-chain L-3-hydroxyacyl-coenzyme A dehydrogenase, SCHAD, Short-chain 3-hydroxyacyl-CoA dehydrogenase
Disclaimer
This product is for research use only. It is not intended for diagnostic or therapeutic use.
Publishing research using Anti-HADH Antibody (A29220)? Please let us know so that we can list the citation on this page.

Alternative products to Anti-HADH Antibody (A29220)

Proteins predicted to interact with HADH

Predicted protein interactions based upon String database. Revelancy score correlates with probability of interaction.
99.9% Relevancy Score
99.4% Relevancy Score
96.8% Relevancy Score
96.5% Relevancy Score
95.8% Relevancy Score
95.5% Relevancy Score
93.5% Relevancy Score
91.7% Relevancy Score
91.1% Relevancy Score