ISO 9001:2015 Certified
Live Customer Support
4.5/5 on Trustpilot
100% Quality Guarantee

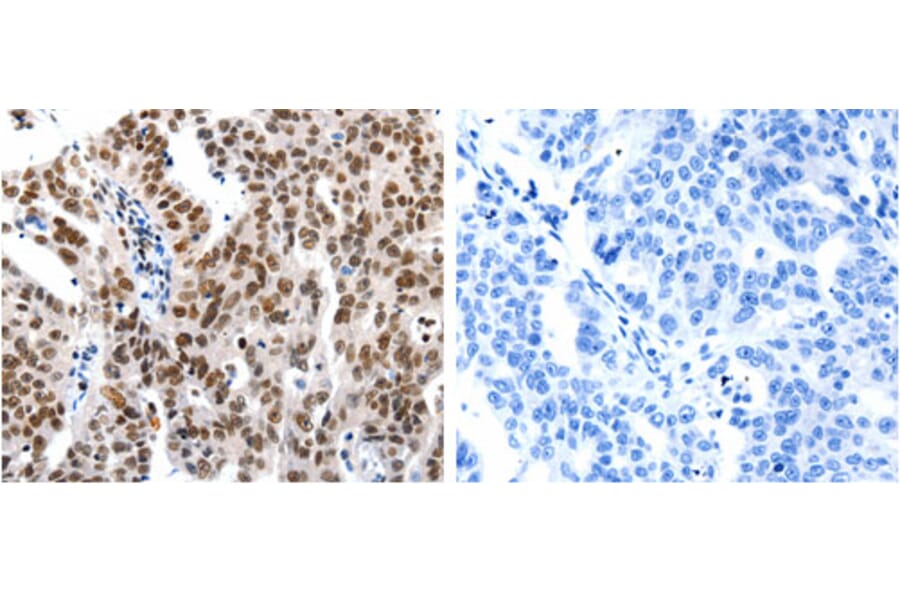
Anti-HDAC1 Antibody (A48138)

Rabbit polyclonal antibody to HDAC1 for ELISA, WB and IHC.

Shipping Information

$40
Dispatched from St. Louis, MO.
Lead Time: 6-9 business days.
Name
Anti-HDAC1 Antibody
Description
Rabbit polyclonal antibody to HDAC1
Specificity
The antibody detects endogenous level of total HDAC1 protein.
Applications
ELISA, WB, IHC
Reactivity
Human, Mouse
Immunogen
Synthetic peptide corresponding to a region derived from 469-482 amino acids of Human histone deacetylase 1
Host
Rabbit
Clonality
Polyclonal
Conjugate

Unconjugated

Formulation
Supplied in phosphate-buffered saline (without Mg²? and Ca²?), pH 7.3, containing 150 mM NaCl, 0.05% sodium azide, and 50% glycerol.
Storage
Shipped at 4°C. Upon delivery aliquot and store at -20°C. Avoid freeze/thaw cycles.
Synonyms
HD1, Histone deacetylase 1, Protein deacetylase HDAC1, Protein decrotonylase HDAC1, RPD3L1
Disclaimer
This product is for research use only. It is not intended for diagnostic or therapeutic use.
Publishing research using Anti-HDAC1 Antibody (A48138)? Please let us know so that we can list the citation on this page.

Alternative products to Anti-HDAC1 Antibody (A48138)

Proteins predicted to interact with HDAC1

Predicted protein interactions based upon String database. Revelancy score correlates with probability of interaction.
99.9% Relevancy Score
99.9% Relevancy Score
99.9% Relevancy Score
99.9% Relevancy Score
99.9% Relevancy Score
99.9% Relevancy Score
99.9% Relevancy Score
99.9% Relevancy Score
99.9% Relevancy Score