Western Blot - Anti-HDAC8 Antibody [ARC1331] (A307212)
Western blot analysis of extracts of various cell lines, using Anti-HDAC8 Antibody [ARC1331] (A307212) at 1:1,000 dilution. The secondary antibody was Goat Anti-Rabbit IgG H&L Antibody (HRP) at 1:10,000 dilution. Lysates/proteins were present at 25µg per lane. The blocking buffer used was 3% non-fat dry milk in TBST. Detection was with a ECL Basic Kit. Exposure time: 1s.
Western Blot - Anti-HDAC8 Antibody [ARC1331] (A307212)
Western blot analysis of extracts of various cell lines, using Anti-HDAC8 Antibody [ARC1331] (A307212) at 1:1,000 dilution. The secondary antibody was Goat Anti-Rabbit IgG H&L Antibody (HRP) at 1:10,000 dilution. Lysates/proteins were present at 25µg per lane. The blocking buffer used was 3% non-fat dry milk in TBST. Detection was with a ECL Basic Kit. Exposure time: 3min.
Western Blot - Anti-HDAC8 Antibody [ARC1331] (A307212)
Western blot analysis of extracts from wild type (WT) and HDAC8 knockout (KO) 293T cells, using Anti-HDAC8 Antibody [ARC1331] (A307212) at 1:1,000 dilution. The secondary antibody was Goat Anti-Rabbit IgG H&L Antibody (HRP) at 1:10,000 dilution. Lysates/proteins were present at 25µg per lane. The blocking buffer used was 3% non-fat dry milk in TBST. Detection was with a ECL Basic Kit. Exposure time: 1s.
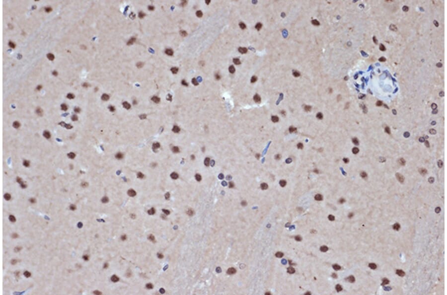
Immunohistochemistry analysis of paraffin-embedded rat brain using Anti-HDAC8 Antibody [ARC1331] (A307212) at a dilution of 1:100 (40x lens). Perform microwave antigen retrieval with 10 mM Tris/EDTA buffer pH 9.0 before commencing with IHC staining protocol.
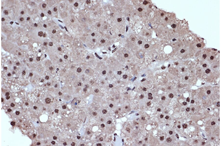
Immunohistochemistry analysis of paraffin-embedded human liver cancer using Anti-HDAC8 Antibody [ARC1331] (A307212) at a dilution of 1:100 (40x lens). Perform microwave antigen retrieval with 10 mM Tris/EDTA buffer pH 9.0 before commencing with IHC staining protocol.
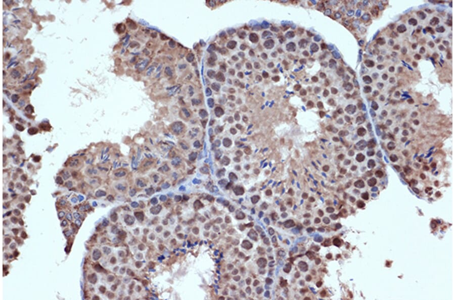
Immunohistochemistry analysis of paraffin-embedded mouse testis using Anti-HDAC8 Antibody [ARC1331] (A307212) at a dilution of 1:100 (40x lens). Perform microwave antigen retrieval with 10 mM Tris/EDTA buffer pH 9.0 before commencing with IHC staining protocol.
Immunofluorescence analysis of NIH-3T3 cells using Anti-HDAC8 Antibody [ARC1331] (A307212) at a dilution of 1:100 (40x lens). DAPI was used to stain the cell nuclei (blue).
Western Blot - Anti-HDAC8 Antibody [ARC1331] (A307212)
Immunoprecipitation analysis of 300µg extracts of HeLa cells using 3µg of Anti-HDAC8 Antibody [ARC1331] (A307212). This Western blot was performed on the immunoprecipitate using Anti-HDAC8 Antibody [ARC1331] (A307212) at a dilution of 1:1000.