Western Blot - Anti-Heme Oxygenase 1 Antibody [ARC53508] (A307278)
Western blot analysis of extracts of various cell lines, using Anti-Heme Oxygenase 1 Antibody [ARC53508] (A307278) at 1:500 dilution. The secondary antibody was Goat Anti-Rabbit IgG H&L Antibody (HRP) at 1:10,000 dilution. Lysates/proteins were present at 25µg per lane. The blocking buffer used was 3% non-fat dry milk in TBST. Detection was with a ECL Basic Kit. Exposure time: 10s.
Western Blot - Anti-Heme Oxygenase 1 Antibody [ARC53508] (A307278)
Western blot analysis of extracts of Raw264. 7 cells, using Anti-Heme Oxygenase 1 Antibody [ARC53508] (A307278) at 1:10,000 dilution. The secondary antibody was Goat Anti-Rabbit IgG H&L Antibody (HRP) at 1:10,000 dilution. Lysates/proteins were present at 25µg per lane. The blocking buffer used was 3% non-fat dry milk in TBST. Detection was with a ECL Basic Kit. Exposure time: 3s.
Western Blot - Anti-Heme Oxygenase 1 Antibody [ARC53508] (A307278)
Western blot analysis of extracts of HepG2 cells, using Anti-Heme Oxygenase 1 Antibody [ARC53508] (A307278) at 1:10,000 dilution. The secondary antibody was Goat Anti-Rabbit IgG H&L Antibody (HRP) at 1:10,000 dilution. Lysates/proteins were present at 25µg per lane. The blocking buffer used was 3% non-fat dry milk in TBST. Detection was with a ECL Basic Kit. Exposure time: 180s.
Western Blot - Anti-Heme Oxygenase 1 Antibody [ARC53508] (A307278)
Western blot analysis of extracts from wild type(WT) and Heme Oxygenase 1 (HO-1/HMOX1) knockout (KO) HeLa cells, using Anti-Heme Oxygenase 1 Antibody [ARC53508] (A307278) at 1:10,000 dilution. The secondary antibody was Goat Anti-Rabbit IgG H&L Antibody (HRP) at 1:10,000 dilution. Lysates/proteins were present at 25µg per lane. The blocking buffer used was 3% non-fat dry milk in TBST. Detection was with a ECL Basic Kit. Exposure time: 180s.
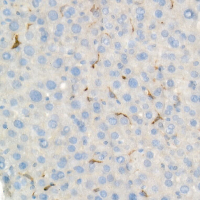
Immunohistochemistry analysis of paraffin-embedded human liver using Anti-Heme Oxygenase 1 Antibody [ARC53508] (A307278) at a dilution of 1:200 (40x lens). Perform high pressure antigen retrieval with 10 mM citrate buffer pH 6.0 before commencing with IHC staining protocol.
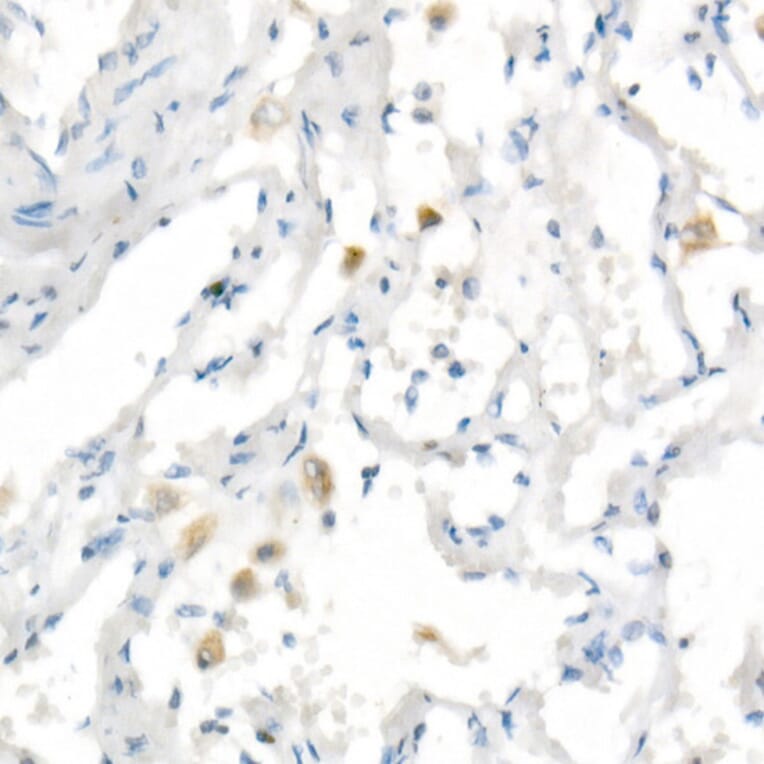
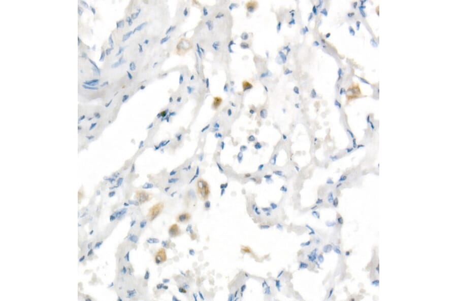
Immunohistochemistry analysis of paraffin-embedded human lung using Anti-Heme Oxygenase 1 Antibody [ARC53508] (A307278) at a dilution of 1:200 (40x lens). Perform high pressure antigen retrieval with 10 mM citrate buffer pH 6.0 before commencing with IHC staining protocol.
Immunohistochemistry analysis of paraffin-embedded human tonsil using Anti-Heme Oxygenase 1 Antibody [ARC53508] (A307278) at a dilution of 1:200 (40x lens). Perform high pressure antigen retrieval with 10 mM citrate buffer pH 6.0 before commencing with IHC staining protocol.
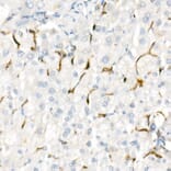
Immunohistochemistry analysis of paraffin-embedded mouse liver using Anti-Heme Oxygenase 1 Antibody [ARC53508] (A307278) at a dilution of 1:200 (40x lens). Perform high pressure antigen retrieval with 10 mM citrate buffer pH 6.0 before commencing with IHC staining protocol.
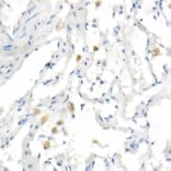
Immunohistochemistry analysis of paraffin-embedded rat lung using Anti-Heme Oxygenase 1 Antibody [ARC53508] (A307278) at a dilution of 1:200 (40x lens). Perform high pressure antigen retrieval with 10 mM citrate buffer pH 6.0 before commencing with IHC staining protocol.
Western Blot - Anti-Heme Oxygenase 1 Antibody [ARC53508] (A307278)
Immunoprecipitation analysis of 300µg extracts of HepG2 cells using 3µg of Anti-Heme Oxygenase 1 Antibody [ARC53508] (A307278). This Western blot was performed on the immunoprecipitate using Anti-Heme Oxygenase 1 Antibody [ARC53508] (A307278) at a dilution of 1:1000.