ISO 9001:2015 Certified
Live Customer Support
4.5/5 on Trustpilot
100% Quality Guarantee

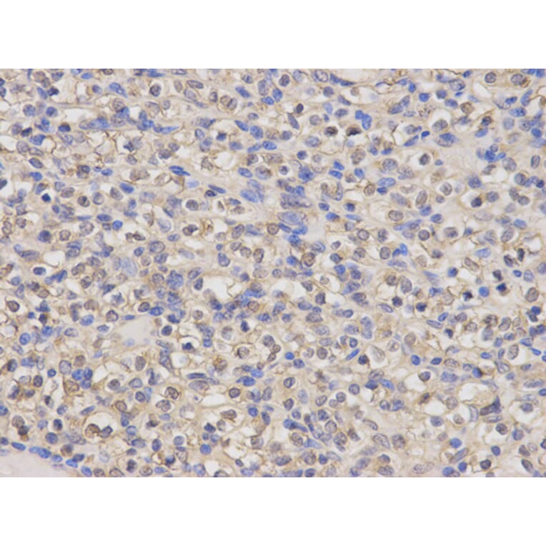
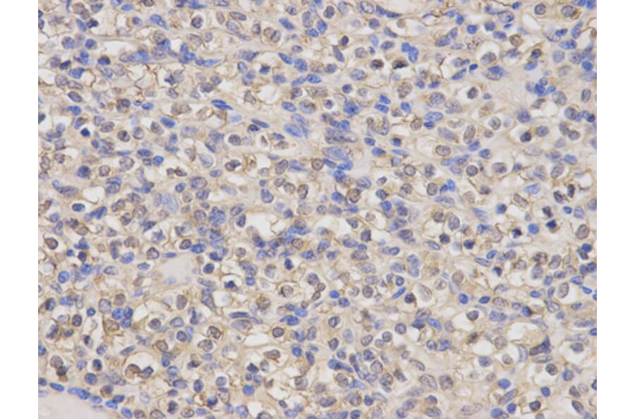
Anti-HO-1 Antibody (A29880)

$435

Rabbit polyclonal antibody to HO-1 for WB, IHC, ICC and IP.

Shipping Information

$40
Dispatched from St. Louis, MO.
Lead Time: 7-10 business days.
Name
Anti-HO-1 Antibody
Description
Rabbit polyclonal antibody to HO-1
Specificity
HO-1 pAb detects endogenous levels of HO-1 protein.
Applications
WB, IHC, ICC, IP
Reactivity
Human, Mouse, Rat
Immunogen
Recombinant full length Human HO-1.
Host
Rabbit
Clonality
Polyclonal
Conjugate

Unconjugated

Molecular Weight
~ 34 kDa
Purity
The antibody was affinity-purified from rabbit antiserum by affinity-chromatography using epitope-specific immunogen and the purity is > 95% (by SDS-PAGE).
Product Form
1mg/ml in PBS with 0.1% Sodium Azide, 50% Glycerol.
Synonyms
Heme oxygenase 1, HMOX1, HO, HO1
Disclaimer
This product is for research use only. It is not intended for diagnostic or therapeutic use.
Publishing research using Anti-HO-1 Antibody (A29880)? Please let us know so that we can list the citation on this page.

Alternative products to Anti-HO-1 Antibody (A29880)

Proteins predicted to interact with HO-1

Predicted protein interactions based upon String database. Revelancy score correlates with probability of interaction.
99.5% Relevancy Score
98.9% Relevancy Score
96.3% Relevancy Score
95.2% Relevancy Score
94.2% Relevancy Score
93.9% Relevancy Score
93.4% Relevancy Score
91.6% Relevancy Score