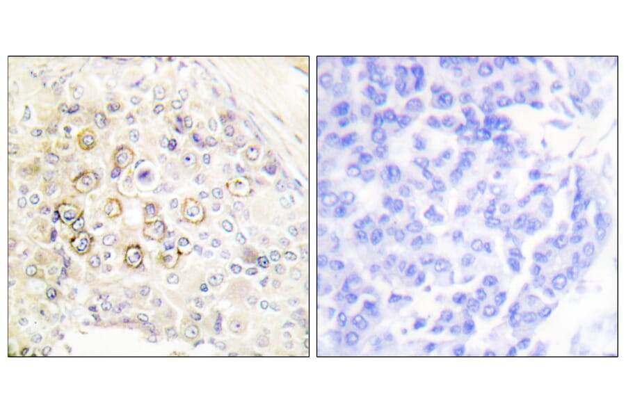
Immunohistochemical analysis of paraffin-embedded human breast carcinoma tissue using Anti-HER3 Antibody. The right hand panel represents a negative control, where the antibody was pre-incubated with the immunising peptide.
Western blot analysis of lysates from COLO205 cells using Anti-HER3 Antibody. The right hand lane represents a negative control, where the antibody is blocked by the immunising peptide.
Publishing research using Anti-HER3 Antibody (A99888)? Please let us know so that we can list the citation on this page.
Alternative products to Anti-HER3 Antibody (A99888)
Recombinant humanized monoclonal antibody to ErbB3 for use as a research grade Lumretuzumab biosimil for ELISA, Flow Cytometry, Functional Studies and in vivo Research.
Recombinant human monoclonal antibody to ErbB3 for use as a research grade MP-RM-1 biosimilar for ELISA, Flow Cytometry, Functional Studies and in vivo Research.
Recombinant human monoclonal antibody to ErbB3 for use as a research grade Nezutatug biosimilar for ELISA, Flow Cytometry, Functional Studies and in vivo Research.
Recombinant humanized monoclonal antibody to ErbB3 for use as a research grade Duligotuzumab biosimi for ELISA, Flow Cytometry, Functional Studies and in vivo Research.
Recombinant human monoclonal antibody to ErbB3 for use as a research grade Patritumab biosimilar for ELISA, Flow Cytometry, Functional Studies and in vivo Research.
Recombinant human monoclonal antibody to ErbB3 for use as a research grade Seribantumab biosimilar for ELISA, Flow Cytometry, Functional Studies and in vivo Research.
Recombinant humanized monoclonal antibody to ErbB3 for use as a research grade Lumretuzumab biosimil for ELISA, Flow Cytometry, Functional Studies and in vivo Research.
Recombinant human monoclonal antibody to ErbB3 for use as a research grade MP-RM-1 biosimilar for ELISA, Flow Cytometry, Functional Studies and in vivo Research.
Recombinant human monoclonal antibody to ErbB3 for use as a research grade Nezutatug biosimilar for ELISA, Flow Cytometry, Functional Studies and in vivo Research.
Recombinant humanized monoclonal antibody to ErbB3 for use as a research grade Duligotuzumab biosimi for ELISA, Flow Cytometry, Functional Studies and in vivo Research.
Recombinant human monoclonal antibody to ErbB3 for use as a research grade Patritumab biosimilar for ELISA, Flow Cytometry, Functional Studies and in vivo Research.
Recombinant human monoclonal antibody to ErbB3 for use as a research grade Seribantumab biosimilar for ELISA, Flow Cytometry, Functional Studies and in vivo Research.