Western Blot - Anti-Heterogeneous nuclear ribonucleoprotein M Antibody (A15437)
Western blot analysis of extracts of various cell lines, using Anti-Heterogeneous nuclear ribonucleoprotein M Antibody (A15437) at 1:1,000 dilution. The secondary antibody was Goat Anti-Rabbit IgG H&L Antibody (HRP) at 1:10,000 dilution. Lysates/proteins were present at 25µg per lane. The blocking buffer used was 3% non-fat dry milk in TBST. Detection was with a ECL Basic Kit. Exposure time: 60s.
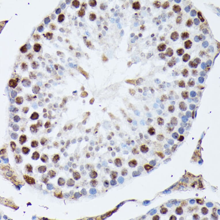
Immunohistochemistry - Anti-Heterogeneous nuclear ribonucleoprotein M Antibody (A15437)
Immunohistochemistry analysis of paraffin-embedded mouse testis using Anti-Heterogeneous nuclear ribonucleoprotein M Antibody (A15437) at a dilution of 1:100 (40x lens). Perform microwave antigen retrieval with 10 mM PBS buffer pH 7.2 before commencing with IHC staining protocol.
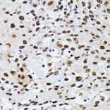
Immunohistochemistry - Anti-Heterogeneous nuclear ribonucleoprotein M Antibody (A15437)
Immunohistochemistry analysis of paraffin-embedded human appendix tissue using Anti-Heterogeneous nuclear ribonucleoprotein M Antibody (A15437) at a dilution of 1:100 (40x lens). Perform microwave antigen retrieval with 10 mM PBS buffer pH 7.2 before commencing with IHC staining protocol.
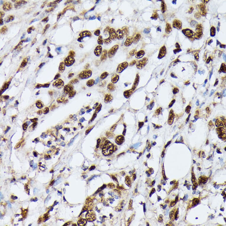
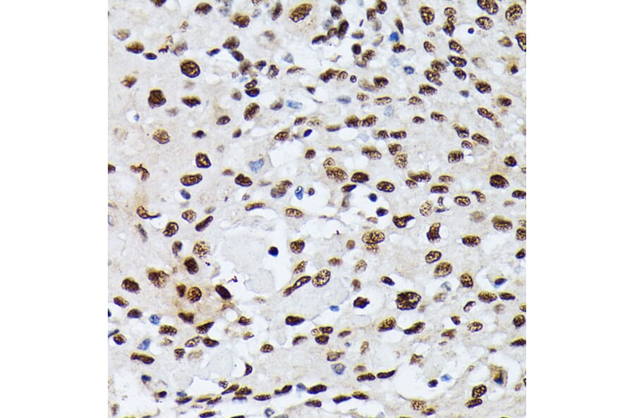
Immunohistochemistry - Anti-Heterogeneous nuclear ribonucleoprotein M Antibody (A15437)
Immunohistochemistry analysis of paraffin-embedded human esophageal cancer using Anti-Heterogeneous nuclear ribonucleoprotein M Antibody (A15437) at a dilution of 1:100 (40x lens). Perform microwave antigen retrieval with 10 mM PBS buffer pH 7.2 before commencing with IHC staining protocol.
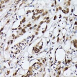
Immunohistochemistry - Anti-Heterogeneous nuclear ribonucleoprotein M Antibody (A15437)
Immunohistochemistry analysis of paraffin-embedded rat brain using Anti-Heterogeneous nuclear ribonucleoprotein M Antibody (A15437) at a dilution of 1:100 (40x lens). Perform microwave antigen retrieval with 10 mM PBS buffer pH 7.2 before commencing with IHC staining protocol.
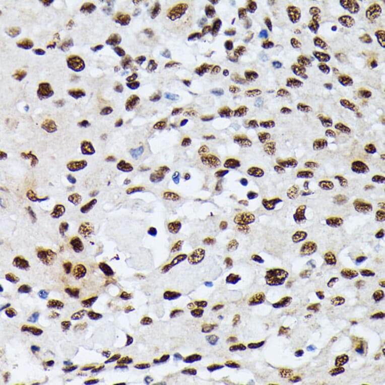
Immunohistochemistry - Anti-Heterogeneous nuclear ribonucleoprotein M Antibody (A15437)
Immunohistochemistry analysis of paraffin-embedded human colon carcinoma tissue using Anti-Heterogeneous nuclear ribonucleoprotein M Antibody (A15437) at a dilution of 1:100 (40x lens). Perform microwave antigen retrieval with 10 mM PBS buffer pH 7.2 before commencing with IHC staining protocol.
Immunofluorescence - Anti-Heterogeneous nuclear ribonucleoprotein M Antibody (A15437)
Immunofluorescence analysis of C6 cells using Anti-Heterogeneous nuclear ribonucleoprotein M Antibody (A15437) at a dilution of 1:100. DAPI was used to stain the cell nuclei (blue).
Immunofluorescence - Anti-Heterogeneous nuclear ribonucleoprotein M Antibody (A15437)
Immunofluorescence analysis of L929 cells using Anti-Heterogeneous nuclear ribonucleoprotein M Antibody (A15437) at a dilution of 1:100. DAPI was used to stain the cell nuclei (blue).
Immunofluorescence - Anti-Heterogeneous nuclear ribonucleoprotein M Antibody (A15437)
Immunofluorescence analysis of U-2 OS cells using Anti-Heterogeneous nuclear ribonucleoprotein M Antibody (A15437) at a dilution of 1:100. DAPI was used to stain the cell nuclei (blue).
Publishing research using Anti-Heterogeneous nuclear ribonucleoprotein M Antibody (A15437)? Please let us know so that we can list the citation on this page.
Alternative products to Anti-Heterogeneous nuclear ribonucleoprotein M Antibody (A15437)