Primary Antibodies
Secondary Antibodies
Proteins & Peptides
ELISA Kits
About Us
Contact Us
Sign In/Register
0
ISO 9001:2015 Certified
Live Customer Support
4.5/5 on Trustpilot
100% Quality Guarantee
Home
Primary Antibodies
HNRNPM Antibodies
Anti-HNRNPM Antibody (A44759)
Anti-HNRNPM Antibody (A44759)
Overview
Specifications
Images
Enlarge Image
Enlarge Image
$430
Product Datasheet
Rabbit polyclonal antibody to HNRNPM for IHC.
100% Guarantee
Price Match Guarantee
Product Size:
100µl
Quantity:
1
2
3
4
5
6
7
8
9
10
Add To Cart
Request a Quotation
Custom or Bulk Request
Shipping Information
Freight/Packing Charges:
$40
Dispatched from St. Louis, MO.
Lead Time: 6-9 business days.
Specifications
Name
Anti-HNRNPM Antibody
Description
Rabbit polyclonal antibody to HNRNPM
Specificity
The antibody detects endogenous level of total HNRNPM polyclonal antibody.
Applications
IHC
Reactivity
Human
Immunogen
Recombinant human Heterogeneous nuclear ribonucleoprotein M protein (491-730aa)
Host
Rabbit
Clonality
Polyclonal
Conjugate
Unconjugated
Purification
Antigen Affinity Purified
Concentration
1.0 mg/mL
Formulation
Supplied in phosphate-buffered saline, pH 7.3, containing 0.02% sodium azide and 50% glycerol.
Storage
Shipped at 4°C. Upon delivery aliquot and store at -20°C. Avoid freeze/thaw cycles.
Synonyms
Heterogeneous nuclear ribonucleoprotein M, hnRNP M, HNRPM, NAGR1
Suitable Secondaries
Goat Anti-Rabbit IgG H&L Antibody (AP) (A294874)
Goat Anti-Rabbit IgG H&L Antibody (Biotin) (A294795)
Goat Anti-Rabbit IgG H&L Antibody (FITC) (A294887)
Goat Anti-Rabbit IgG H&L Antibody (HRP) (A294888)
See all Anti-Rabbit IgG Secondaries →
Disclaimer
This product is for research use only. It is not intended for diagnostic or therapeutic use.
Scientific Validation Data
Validation Data
(2)
Enlarge Image
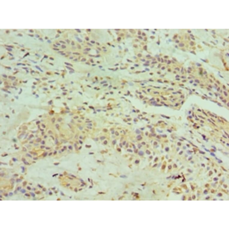
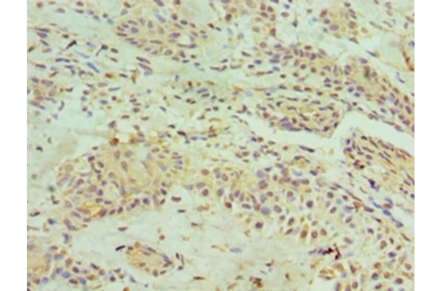
Immunohistochemistry - Anti-HNRNPM Antibody (A44759)
Immunohistochemical analysis of paraffin-embedded human breast cancer using #42209 at dilution of 1: 100.
Enlarge Image
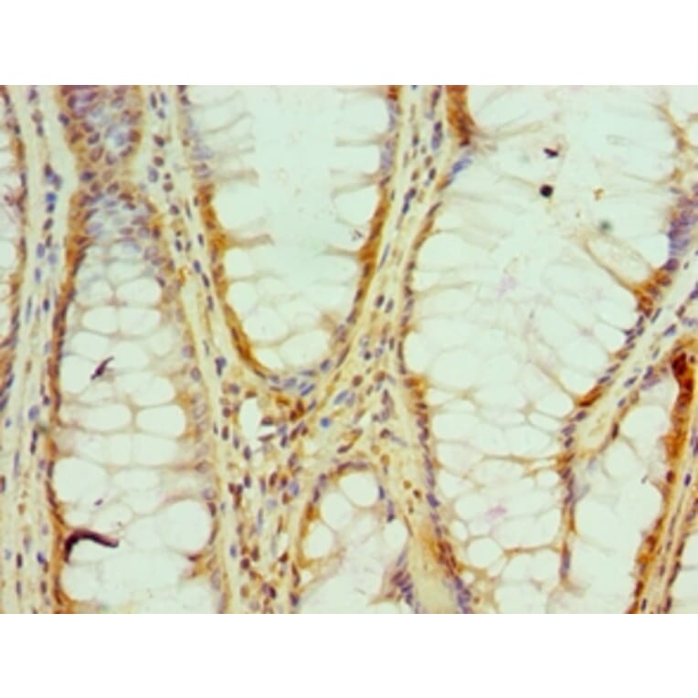
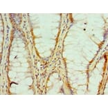
Immunohistochemistry - Anti-HNRNPM Antibody (A44759)
Immunohistochemical analysis of paraffin-embedded human colon cancer using #42209 at dilution of 1: 100.
Publishing research using Anti-HNRNPM Antibody (A44759)? Please
let us know
so that we can list the citation on this page.
Alternative products to Anti-HNRNPM Antibody (A44759)
(9)
A15437
Anti-Heterogeneous nuclear ribonucleoprotein M Antibody
Rabbit polyclonal antibody to Heterogeneous nuclear ribonucleoprotein M for WB, IHC and ICC/IF.
(3)
A94970
Anti-hnRNP M Antibody
Rabbit polyclonal antibody to hnRNP M for WB, IHC, IF and ELISA.
A26484
Anti-hnRNP M (P43) Antibody
Rabbit polyclonal antibody to hnRNP M (P43) for WB, IHC and IF.
A49300
Anti-HNRNPM Antibody
Rabbit polyclonal antibody to HNRNPM for ELISA and WB.
(3)
A37402
Anti-HNRNPM Antibody
Rabbit polyclonal antibody to HNRNPM for WB and IHC.
A346792
Anti-HNRNPM Antibody [23GB4895]
Recombinant rabbit monoclonal [23GB4895] antibody to HNRNPM for WB, Flow Cytometry and ICC/IF.
A346791
Anti-HNRNPM Antibody [24GB11090]
Recombinant rabbit monoclonal [24GB11090] antibody to HNRNPM for WB, Flow Cytometry and ICC/IF.
A31761
Anti-hnRNP M Antibody
Rabbit polyclonal antibody to hnRNP M for WB and IHC.
(9)
A15437
Anti-Heterogeneous nuclear ribonucleoprotein M Antibody
Rabbit polyclonal antibody to Heterogeneous nuclear ribonucleoprotein M for WB, IHC and ICC/IF.
(3)
A94970
Anti-hnRNP M Antibody
Rabbit polyclonal antibody to hnRNP M for WB, IHC, IF and ELISA.
A26484
Anti-hnRNP M (P43) Antibody
Rabbit polyclonal antibody to hnRNP M (P43) for WB, IHC and IF.
A49300
Anti-HNRNPM Antibody
Rabbit polyclonal antibody to HNRNPM for ELISA and WB.
(3)
A37402
Anti-HNRNPM Antibody
Rabbit polyclonal antibody to HNRNPM for WB and IHC.
A346792
Anti-HNRNPM Antibody [23GB4895]
Recombinant rabbit monoclonal [23GB4895] antibody to HNRNPM for WB, Flow Cytometry and ICC/IF.
A346791
Anti-HNRNPM Antibody [24GB11090]
Recombinant rabbit monoclonal [24GB11090] antibody to HNRNPM for WB, Flow Cytometry and ICC/IF.
A31761
Anti-hnRNP M Antibody
Rabbit polyclonal antibody to hnRNP M for WB and IHC.
See all HNRNPM Antibodies
Proteins predicted to interact with HNRNPM
Predicted protein interactions based upon String database. Revelancy score correlates with probability of interaction.
ZNF207 Antibodies
99.5% Relevancy Score
hnRNP H Antibodies
99.3% Relevancy Score
hnRNP A1 Antibodies
99.3% Relevancy Score
HNRNPC Antibodies
99% Relevancy Score
HNRNPA2B1 Antibodies
98.7% Relevancy Score
hnRNP U Antibodies
98.5% Relevancy Score
hnRNP F Antibodies
98.1% Relevancy Score
PTBP1 Antibodies
98.1% Relevancy Score
hnRNP K Antibodies
98.1% Relevancy Score
Top