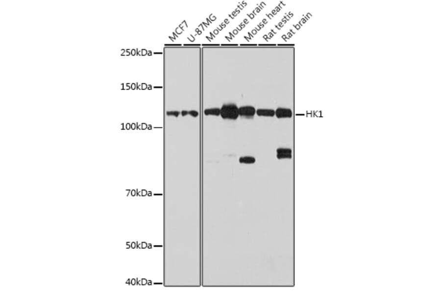
Western Blot - Anti-Hexokinase 1 Antibody (A12985)
Western blot analysis of extracts of various cell lines, using Anti-Hexokinase 1 Antibody (A12985) at 1:1,000 dilution. The secondary antibody was Goat Anti-Rabbit IgG H&L Antibody (HRP) at 1:10,000 dilution. Lysates/proteins were present at 25µg per lane. The blocking buffer used was 3% non-fat dry milk in TBST. Detection was with a ECL Basic Kit. Exposure time: 10s.
Western Blot - Anti-Hexokinase 1 Antibody (A12985)
Western blot analysis of extracts from normal (control) and HK1 knockout (KO) 293T cells, using Anti-Hexokinase 1 Antibody (A12985) at 1:1,000 dilution. The secondary antibody was Goat Anti-Rabbit IgG H&L Antibody (HRP) at 1:10,000 dilution. Lysates/proteins were present at 25µg per lane. The blocking buffer used was 3% non-fat dry milk in TBST. Detection was with a ECL Basic Kit. Exposure time: 10s.
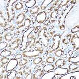
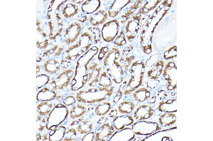
Immunohistochemistry analysis of paraffin-embedded rat kidney using Anti-Hexokinase 1 Antibody (A12985) at a dilution of 1:100 (40x lens). Perform high pressure antigen retrieval with 10 mM citrate buffer pH 6.0 before commencing with IHC staining protocol.
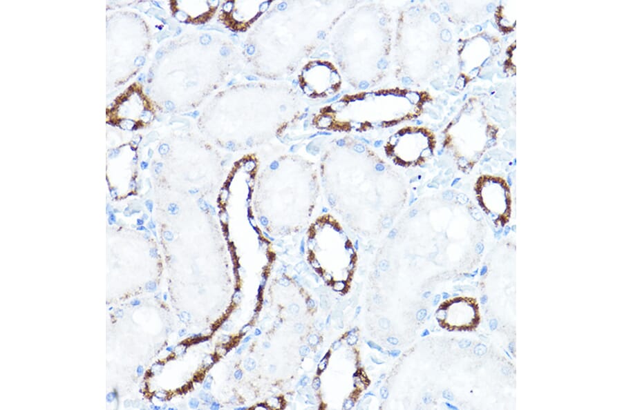
Immunohistochemistry analysis of paraffin-embedded mouse kidney using Anti-Hexokinase 1 Antibody (A12985) at a dilution of 1:100 (40x lens). Perform high pressure antigen retrieval with 10 mM citrate buffer pH 6.0 before commencing with IHC staining protocol.
Immunofluorescence analysis of A-549 cells using Anti-Hexokinase 1 Antibody (A12985) at a dilution of 1:100 (40x lens). DAPI was used to stain the cell nuclei (blue).
Immunofluorescence analysis of NIH/3T3 cells using Anti-Hexokinase 1 Antibody (A12985) at a dilution of 1:100 (40x lens). DAPI was used to stain the cell nuclei (blue).
Western Blot - Anti-Hexokinase 1 Antibody (A12985)
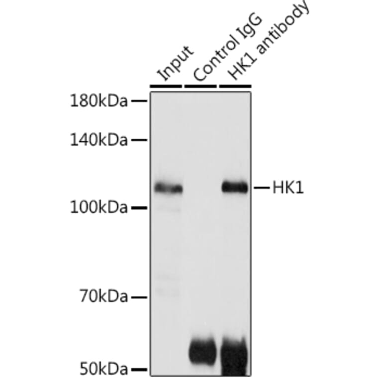
Immunoprecipitation analysis of 300µg extracts of 293T cells using 3µg of Anti-Hexokinase 1 Antibody (A12985). This Western blot was performed on the immunoprecipitate using Anti-Hexokinase 1 Antibody (A12985) at a dilution of 1:500.