Western Blot - Anti-Hexokinase 1 Antibody [ARC0256] (A306070)
Western blot analysis of extracts from wild type (WT) and HK1 knockout (KO) 293T cells, using Anti-Hexokinase 1 Antibody [ARC0256] (A306070) at 1:1,000 dilution. The secondary antibody was Goat Anti-Rabbit IgG H&L Antibody (HRP) at 1:10,000 dilution. Lysates/proteins were present at 25µg per lane. The blocking buffer used was 3% non-fat dry milk in TBST. Detection was with a ECL Basic Kit. Exposure time: 60s.
Western Blot - Anti-Hexokinase 1 Antibody [ARC0256] (A306070)
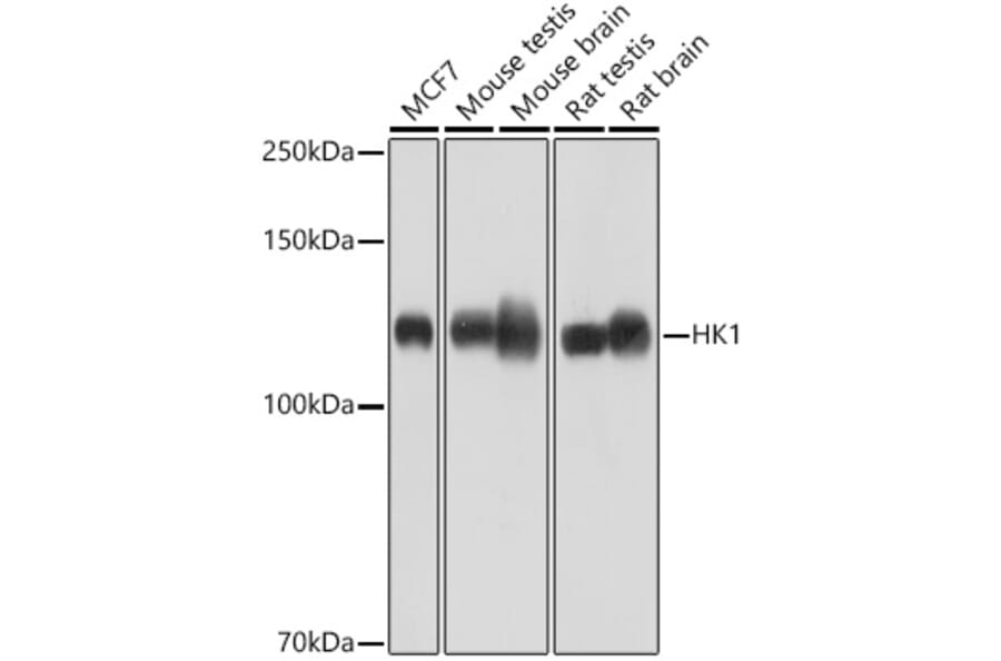
Western blot analysis of extracts of various cell lines, using Anti-Hexokinase 1 Antibody [ARC0256] (A306070) at 1:1,000 dilution. The secondary antibody was Goat Anti-Rabbit IgG H&L Antibody (HRP) at 1:10,000 dilution. Lysates/proteins were present at 25µg per lane. The blocking buffer used was 3% non-fat dry milk in TBST. Detection was with a ECL Basic Kit. Exposure time: 60s.
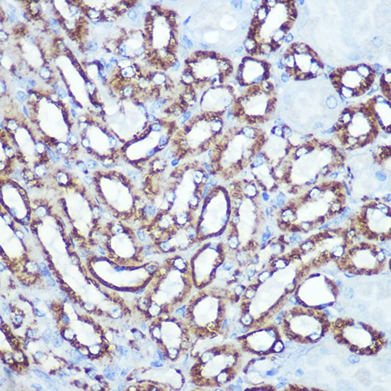
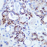
Immunohistochemistry analysis of paraffin-embedded rat kidney using Anti-Hexokinase 1 Antibody [ARC0256] (A306070) at a dilution of 1:100 (40x lens). Perform microwave antigen retrieval with 10 mM PBS buffer pH 7.2 before commencing with IHC staining protocol.
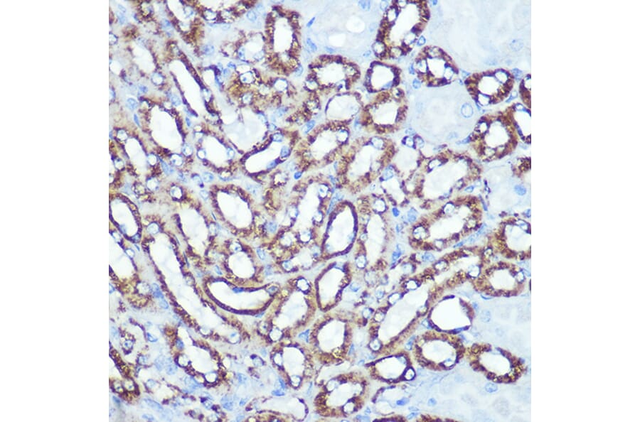
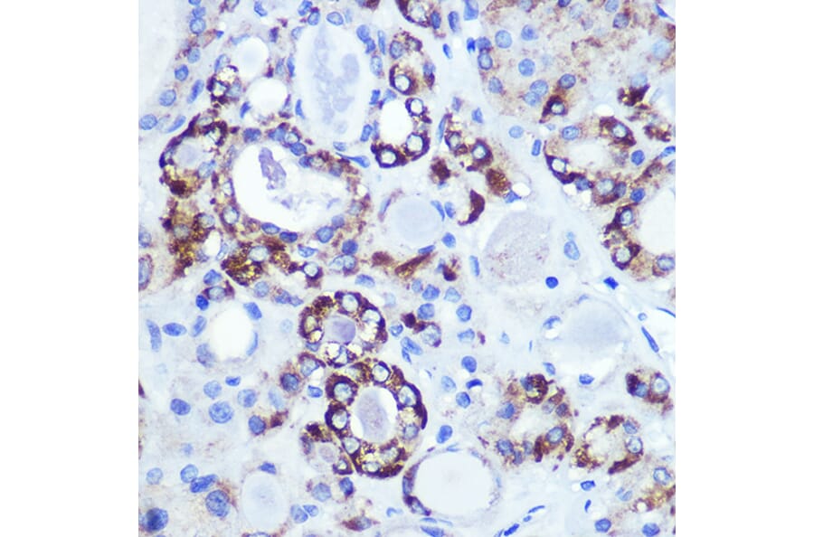
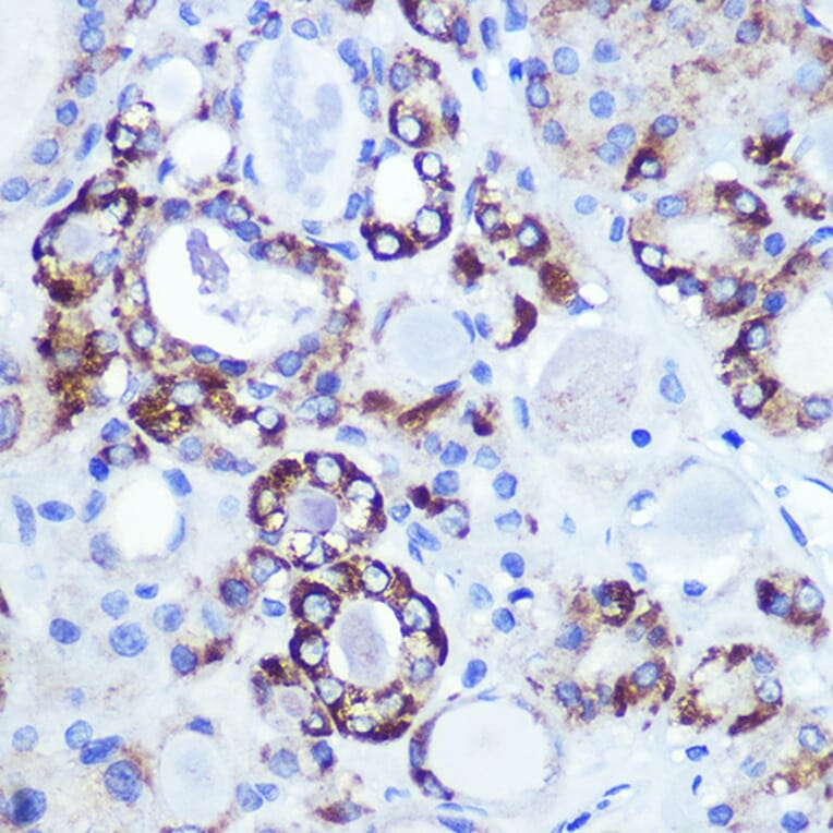
Immunohistochemistry analysis of paraffin-embedded human thyroid cancer using Anti-Hexokinase 1 Antibody [ARC0256] (A306070) at a dilution of 1:100 (40x lens). Perform microwave antigen retrieval with 10 mM PBS buffer pH 7.2 before commencing with IHC staining protocol.
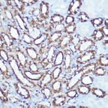
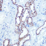
Immunohistochemistry analysis of paraffin-embedded mouse kidney using Anti-Hexokinase 1 Antibody [ARC0256] (A306070) at a dilution of 1:100 (40x lens). Perform microwave antigen retrieval with 10 mM PBS buffer pH 7.2 before commencing with IHC staining protocol.
Confocal imaging of HeLa cells using Anti-Hexokinase 1 Antibody [ARC0256] (A306070), at a dilution of 1:100, (red). The cells were counterstained with Anti-alpha Tubulin Antibody, at a dilution of 1:100, (green). DAPI was used for nuclear staining (Blue). Objective: 60x.
Western Blot - Anti-Hexokinase 1 Antibody [ARC0256] (A306070)
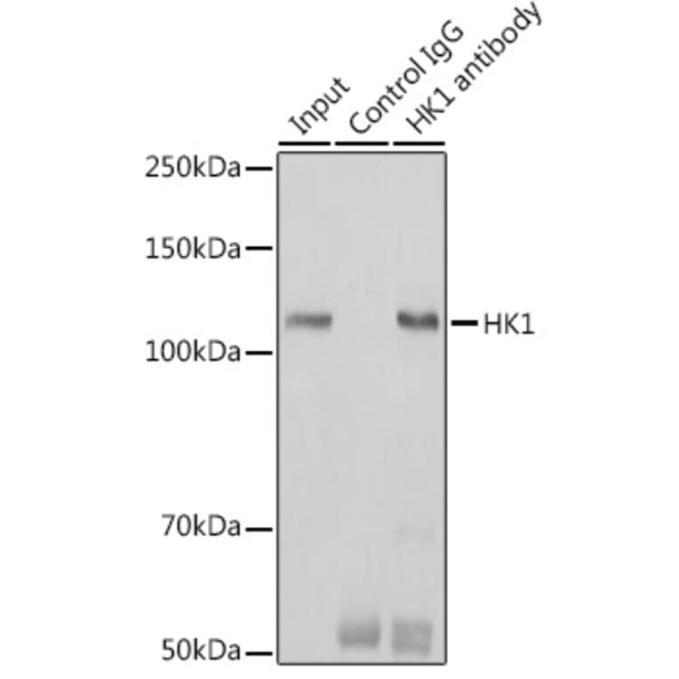
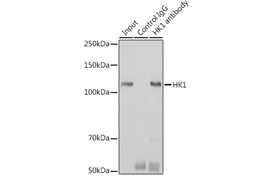
Immunoprecipitation analysis of 600µg extracts of mouse brain cells using 3µg of Anti-Hexokinase 1 Antibody [ARC0256] (A306070). This Western blot was performed on the immunoprecipitate using Anti-Hexokinase 1 Antibody [ARC0256] (A306070) at a dilution of 1:1000.