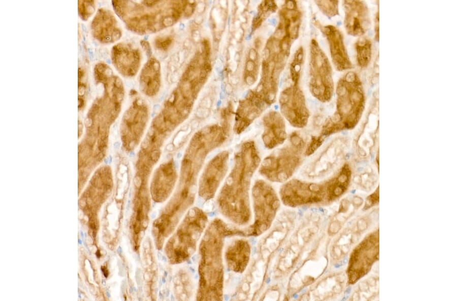
Immunohistochemistry analysis of paraffin-embedded mouse kidney using Anti-HGF Antibody (A13366) at a dilution of 1:50 (40x lens). Perform high pressure antigen retrieval with 10 mM citrate buffer pH 6.0 before commencing with IHC staining protocol.
Publishing research using Anti-HGF Antibody (A13366)? Please let us know so that we can list the citation on this page.
Alternative products to Anti-HGF Antibody (A13366)
Recombinant human monoclonal antibody to HGF for use as a research grade Rilotumumab biosimilar for ELISA, Flow Cytometry, Functional Studies and in vivo Research.
Recombinant humanized monoclonal antibody to HGF for use as a research grade Umikibart biosimilar for ELISA, Flow Cytometry, Functional Studies and in vivo Research.
Recombinant humanized monoclonal antibody to HGF for use as a research grade Ficlatuzumab biosimilar for ELISA, Flow Cytometry, Functional Studies and in vivo Research.
Recombinant human monoclonal antibody to HGF for use as a research grade ABX101 biosimilar for ELISA, Flow Cytometry, Functional Studies and in vivo Research.
Recombinant human monoclonal antibody to HGF for use as a research grade TAK-701 biosimilar for ELISA, Flow Cytometry, Functional Studies and in vivo Research.
Recombinant human monoclonal antibody to HGF for use as a research grade YYB101 biosimilar for ELISA, Flow Cytometry, Functional Studies and in vivo Research.
Recombinant human monoclonal antibody to HGF for use as a research grade Rilotumumab biosimilar for ELISA, Flow Cytometry, Functional Studies and in vivo Research.
Recombinant humanized monoclonal antibody to HGF for use as a research grade Umikibart biosimilar for ELISA, Flow Cytometry, Functional Studies and in vivo Research.
Recombinant humanized monoclonal antibody to HGF for use as a research grade Ficlatuzumab biosimilar for ELISA, Flow Cytometry, Functional Studies and in vivo Research.
Recombinant human monoclonal antibody to HGF for use as a research grade ABX101 biosimilar for ELISA, Flow Cytometry, Functional Studies and in vivo Research.
Recombinant human monoclonal antibody to HGF for use as a research grade TAK-701 biosimilar for ELISA, Flow Cytometry, Functional Studies and in vivo Research.
Recombinant human monoclonal antibody to HGF for use as a research grade YYB101 biosimilar for ELISA, Flow Cytometry, Functional Studies and in vivo Research.