ISO 9001:2015 Certified
Live Customer Support
4.5/5 on Trustpilot
100% Quality Guarantee

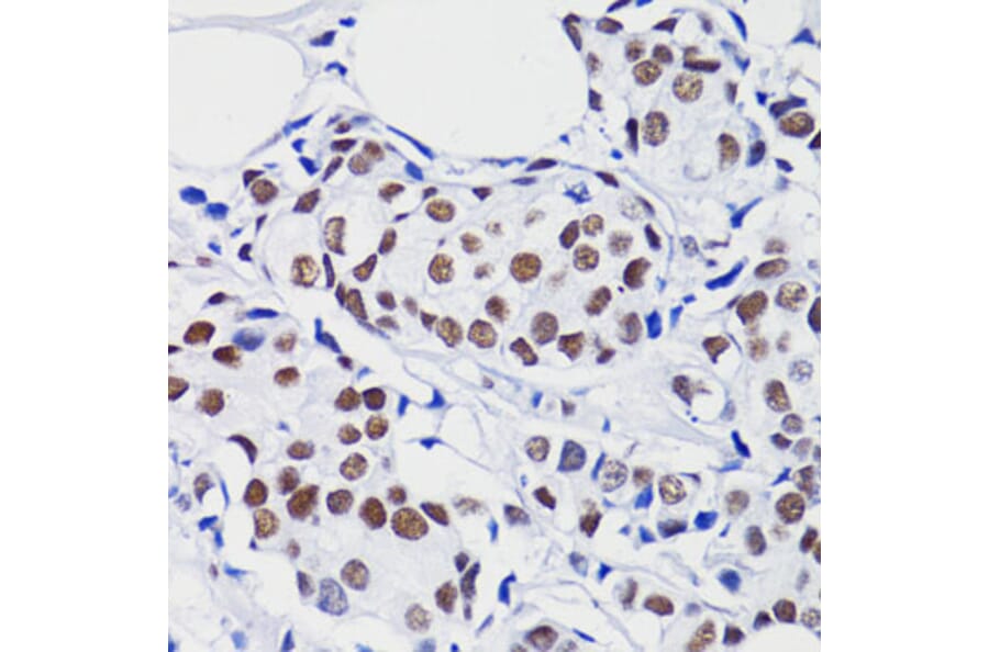
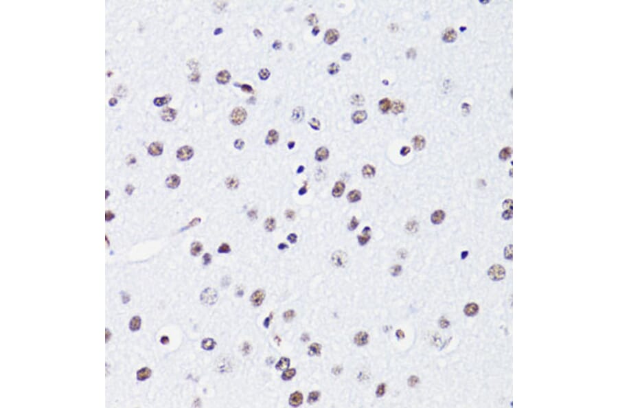
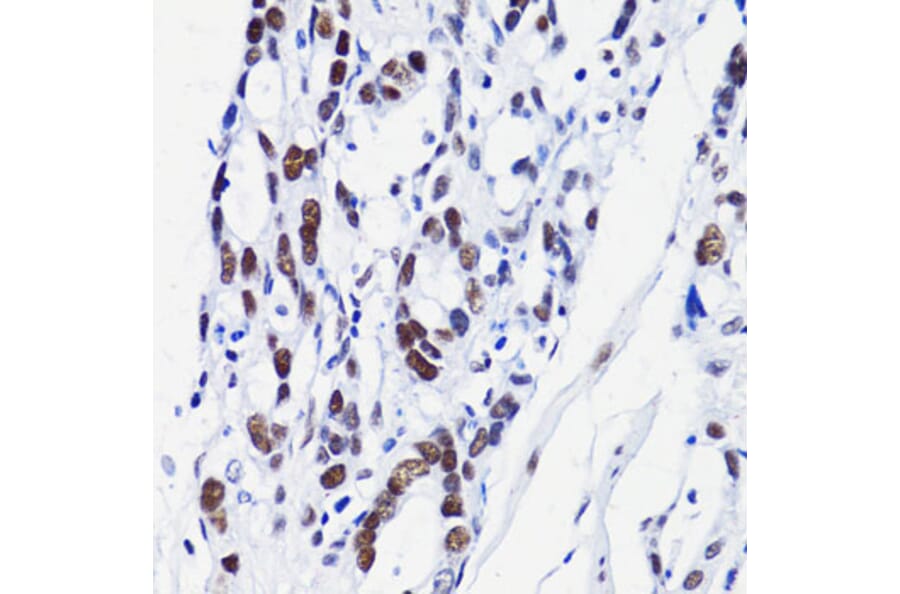
Anti-Histone H2B (acetyl Lys15) Antibody (A91809)

Rabbit polyclonal antibody to Histone H2B (acetyl Lys15) for WB, IHC, ICC/IF and IP.

Shipping Information

$40
Dispatched from St. Louis, MO.
Lead Time: 7-10 business days.
Name
Anti-Histone H2B (acetyl Lys15) Antibody
Description
Rabbit polyclonal antibody to Histone H2B (acetyl Lys15).
Applications
WB, IHC, ICC/IF, IP
Dilutions
WB: 1:500-1:2,000, IHC: 1:50-1:200, ICC/IF: 1:50-1:100, IP: 1:50-1:200
Reactivity
Human, Mouse, Rat
Immunogen
A synthetic acetylated peptide around K15 of human Histone H2B (NP_003519.1).
Sequence
AQKKD
Host
Rabbit
Clonality
Polyclonal
Isotype
IgG
Conjugate

Unconjugated

Purification
Affinity purification.
Concentration
Lot Specific
Molecular Weight
15 kDa
Product Form
Liquid
Formulation
Supplied in Phosphate Buffered Saline, pH 7.3, with 50% Glycerol and 0.02% Sodium Azide.
Storage
Shipped at 4°C. Upon delivery aliquot and store at -20°C. Avoid freeze/thaw cycles.
Synonyms
H2B K, H2B type 12, H2B-clustered histone 12 like, H2B-clustered histone 17, H2B-clustered histone 18, H2B-clustered histone 21, H2B-clustered histone 26, H2B-clustered histone 3, H2B-clustered histone 5, H2B-clustered histone 9, H2B.S histone 1, H2B.U histone 1, H2B/a, H2B/b, H2B/c, H2B/d, H2B/e, H2B/f, H2B/g, H2B/h, H2B/j, H2B/k, H2B/l, H2B/n, H2B/q, H2B/s, H2BC12, H2BC12L, H2BC13, H2BC14, H2BC15, H2BC17, H2BC18, H2BC21, H2BC26, H2BC3, H2BC4, H2BC5, H2BC9, H2BFB, H2BFC, H2BFD, H2BFE, H2BFF, H2BFH, H2BFJ, H2BFL, H2BFN, H2BFQ, H2BFS, H2BFT, H2BS1, H2BU1, HIRA-interacting protein 1, HIRA-interacting protein 2, HIRIP1, HIRIP2, HIST1H2BB, HIST1H2BC, HIST1H2BD, HIST1H2BH, HIST1H2BK, HIST1H2BL, HIST1H2BM, HIST1H2BN, HIST1H2BO, HIST2H2BE, HIST2H2BF, HIST3H2BB, Histone H2B type 1-B, Histone H2B type 1-C/E/F/G/I, Histone H2B type 1-D, Histone H2B type 1-H, Histone H2B type 1-K, Histone H2B type 1-L, Histone H2B type 1-M, Histone H2B type 1-N, Histone H2B type 1-O, Histone H2B type 2-E, Histone H2B type 2-F, Histone H2B type 3-B, Histone H2B type F-S, Histone H2B-GL105, Histone H2B.1, Histone H2B.1 A, Histone H2B.1 B, Histone H2B.2, Histone H2B.a, Histone H2B.b, Histone H2B.c, Histone H2B.d, Histone H2B.e, Histone H2B.f, Histone H2B.g, Histone H2B.h, Histone H2B.j, Histone H2B.k, Histone H2B.l, Histone H2B.n, Histone H2B.q, Histone H2B.s
Disclaimer
This product is for research use only. It is not intended for diagnostic or therapeutic use.
Publishing research using Anti-Histone H2B (acetyl Lys15) Antibody (A91809)? Please let us know so that we can list the citation on this page.

Alternative products to Anti-Histone H2B (acetyl Lys15) Antibody (A91809)

Proteins predicted to interact with Histone H2B

Predicted protein interactions based upon String database. Revelancy score correlates with probability of interaction.
97.6% Relevancy Score
97.4% Relevancy Score
97.3% Relevancy Score
96.5% Relevancy Score
96.4% Relevancy Score
96.3% Relevancy Score
96% Relevancy Score
96% Relevancy Score
95.9% Relevancy Score