ISO 9001:2015 Certified
Live Customer Support
4.5/5 on Trustpilot
100% Quality Guarantee

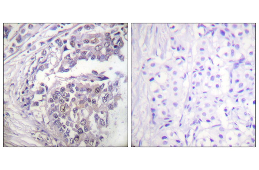
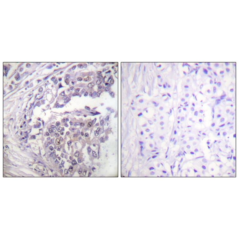
Anti-Histone H2B (acetyl Lys5) Antibody (A94607)

Rabbit polyclonal antibody to Histone H2B (acetyl Lys5) for WB, IHC, IF and ELISA.

Shipping Information

$40
Dispatched from St. Louis, MO.
Lead Time: 6-8 business days.
Name
Anti-Histone H2B (acetyl Lys5) Antibody
Description
Rabbit polyclonal antibody to Histone H2B (acetyl Lys5).
Specificity
This antibody detects endogenous levels of total Histone H2B protein only when acetylated at Lys5.
Applications
WB, IHC, IF, ELISA
Dilutions
WB: 1:500~1:1000, IHC: 1:50~1:100, IF: 1:100~1:500, ELISA: 1:5000
Reactivity
Human, Mouse
Cross Reactivity
No reported cross-reactivity.
Immunogen
Synthetic peptide derived from human Histone H2B around the acetylated site of Lys5 (amino acids 1-50).
Host
Rabbit
Clonality
Polyclonal
Isotype
IgG
Conjugate

Unconjugated

Purification
Purified from rabbit serum by antigen affinity chromatography using the immunizing acetylated peptide.
Molecular Weight
13kDa
Product Form
Liquid
Formulation
Supplied in Phosphate Buffered Saline (without Mg2+ and Ca2+), pH 7.4, with 150mM NaCl, 0.02% Sodium Azide, and 50% Glycerol.
Storage
Shipped at 4°C. Upon delivery aliquot and store at -20°C. Avoid freeze / thaw cycles.
Synonyms
H2B K, H2B type 12, H2B-clustered histone 12 like, H2B-clustered histone 17, H2B-clustered histone 18, H2B-clustered histone 21, H2B-clustered histone 26, H2B-clustered histone 3, H2B-clustered histone 5, H2B-clustered histone 9, H2B.S histone 1, H2B.U histone 1, H2B/a, H2B/b, H2B/c, H2B/d, H2B/e, H2B/f, H2B/g, H2B/h, H2B/j, H2B/k, H2B/l, H2B/n, H2B/q, H2B/s, H2BC12, H2BC12L, H2BC13, H2BC14, H2BC15, H2BC17, H2BC18, H2BC21, H2BC26, H2BC3, H2BC4, H2BC5, H2BC9, H2BFB, H2BFC, H2BFD, H2BFE, H2BFF, H2BFH, H2BFJ, H2BFL, H2BFN, H2BFQ, H2BFS, H2BFT, H2BS1, H2BU1, HIRA-interacting protein 1, HIRA-interacting protein 2, HIRIP1, HIRIP2, HIST1H2BB, HIST1H2BC, HIST1H2BD, HIST1H2BH, HIST1H2BK, HIST1H2BL, HIST1H2BM, HIST1H2BN, HIST1H2BO, HIST2H2BE, HIST2H2BF, HIST3H2BB, Histone H2B type 1-B, Histone H2B type 1-C/E/F/G/I, Histone H2B type 1-D, Histone H2B type 1-H, Histone H2B type 1-K, Histone H2B type 1-L, Histone H2B type 1-M, Histone H2B type 1-N, Histone H2B type 1-O, Histone H2B type 2-E, Histone H2B type 2-F, Histone H2B type 3-B, Histone H2B type F-S, Histone H2B-GL105, Histone H2B.1, Histone H2B.1 A, Histone H2B.1 B, Histone H2B.2, Histone H2B.a, Histone H2B.b, Histone H2B.c, Histone H2B.d, Histone H2B.e, Histone H2B.f, Histone H2B.g, Histone H2B.h, Histone H2B.j, Histone H2B.k, Histone H2B.l, Histone H2B.n, Histone H2B.q, Histone H2B.s
Disclaimer
This product is for research use only. It is not intended for diagnostic or therapeutic use.
Publishing research using Anti-Histone H2B (acetyl Lys5) Antibody (A94607)? Please let us know so that we can list the citation on this page.

Alternative products to Anti-Histone H2B (acetyl Lys5) Antibody (A94607)

Proteins predicted to interact with Histone H2B

Predicted protein interactions based upon String database. Revelancy score correlates with probability of interaction.
97.6% Relevancy Score
97.4% Relevancy Score
97.3% Relevancy Score
96.5% Relevancy Score
96.4% Relevancy Score
96.3% Relevancy Score
96% Relevancy Score
96% Relevancy Score
95.9% Relevancy Score