ISO 9001:2015 Certified
Live Customer Support
4.5/5 on Trustpilot
100% Quality Guarantee

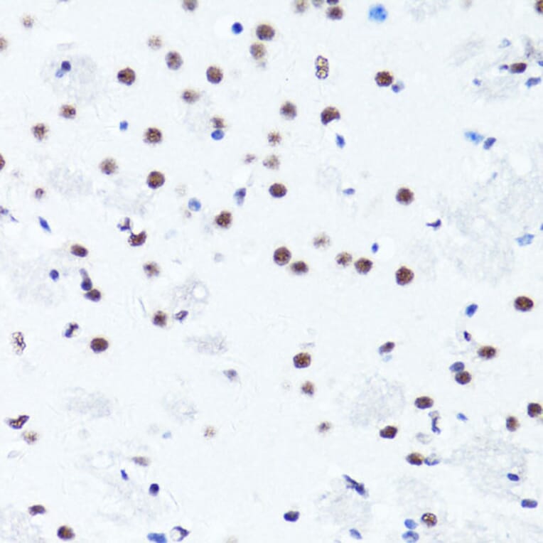
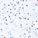
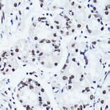
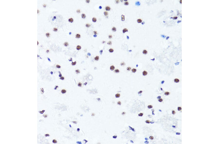
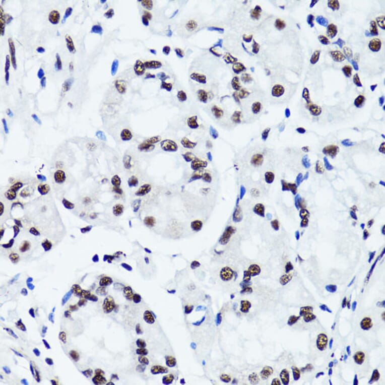
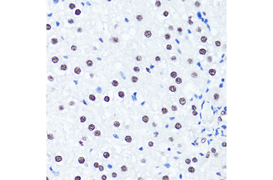
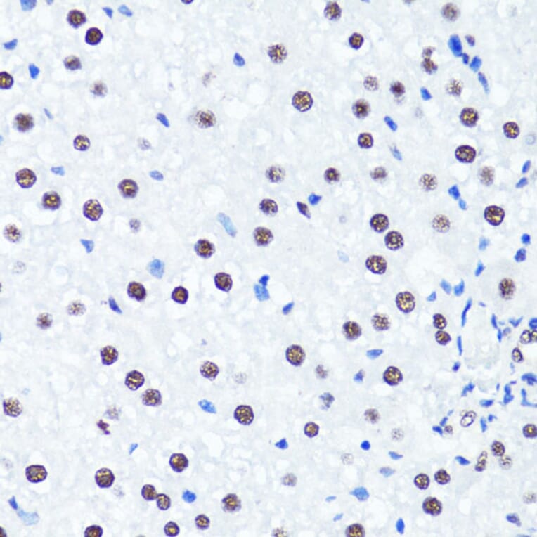
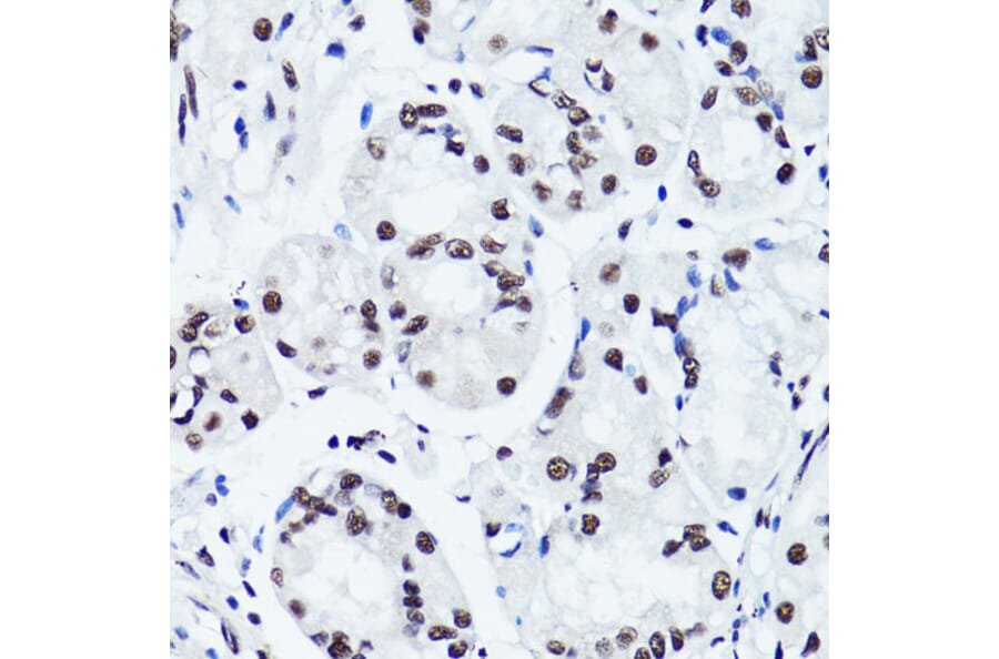
Anti-Histone H3 (di methyl Arg2) Antibody (A16721)

Rabbit polyclonal antibody to Histone H3 (di methyl Arg2) for WB, IHC, ICC/IF, IP, ChIP and ChIP-seq.

Shipping Information

$40
Dispatched from St. Louis, MO.
Lead Time: 7-10 business days.
Name
Anti-Histone H3 (di methyl Arg2) Antibody
Description
Rabbit polyclonal antibody to Histone H3 (di methyl Arg2).
Applications
WB, IHC, ICC/IF, IP, ChIP, ChIP-seq
Dilutions
WB: 1:500-1:1,000, IHC: 1:50-1:200, ICC/IF: 1:50-1:200, IP: 1:50-1:200, ChIP: 1:20-1:100, ChIP-seq: 1:20-1:100
Reactivity
Human, Mouse, Rat
Immunogen
A synthetic symmetric dimethylated peptide around R2 of human histone H3 (NP_003520.1).
Sequence
MARTK
Host
Rabbit
Clonality
Polyclonal
Isotype
IgG
Conjugate

Unconjugated

Purification
Affinity purification.
Concentration
Lot Specific
Molecular Weight
17 kDa
Product Form
Liquid
Formulation
Supplied in Phosphate Buffered Saline, pH 7.3, with 50% Glycerol and 0.01% Thiomersal.
Storage
Shipped at 4°C. Upon delivery aliquot and store at -20°C. Avoid freeze/thaw cycles.
Synonyms
H3-3A, H3-5, H3-clustered histone 13, H3-clustered histone 14, H3-clustered histone 15, H3.3A, H3C1, H3C15, H3F3, H3F3A, H3F3C, H3FA, HIST1H3A, HIST2H3A, Histone H3.1, Histone H3.2, Histone H3.3, Histone H3.3C, Histone H3.5, Histone H3/a, Histone H3/b, Histone H3/c, Histone H3/d, Histone H3/f, Histone H3/m, Histone H3/o
Disclaimer
This product is for research use only. It is not intended for diagnostic or therapeutic use.
Publishing research using Anti-Histone H3 (di methyl Arg2) Antibody (A16721)? Please let us know so that we can list the citation on this page.

Most popular Anti-Histone H3 Antibodies

Alternative products to Anti-Histone H3 (di methyl Arg2) Antibody (A16721)