ISO 9001:2015 Certified
Live Customer Support
4.5/5 on Trustpilot
100% Quality Guarantee

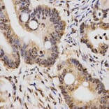
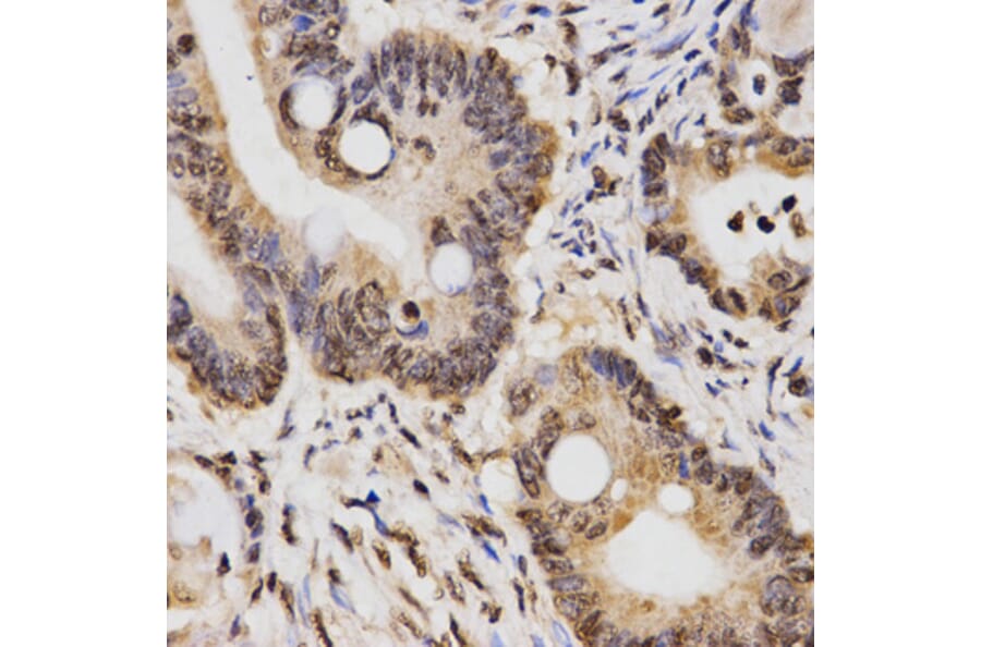
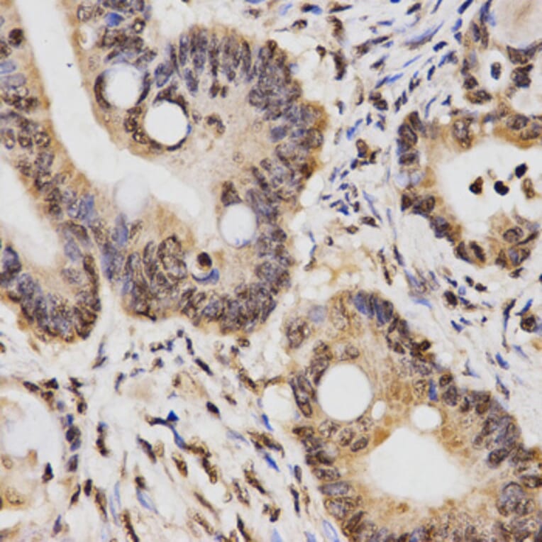
Anti-Histone H3 (Di-Methyl K14) Antibody (A30723)

This product is discontinued

Anti-Histone H3 (Di-Methyl K14) Antibody (A30723) has been discontinued and is no longer available.

View all Histone H3 Antibodies.

Name
Anti-Histone H3 (Di-Methyl K14) Antibody
Description
Rabbit polyclonal antibody to Histone H3 (Di-Methyl K14)
Specificity
Histone H3 (Di-Methyl K14) pAb detects endogenous levels of histone H3 only when Di-methylated at Lys14.
Applications
WB, IHC, IF, IP, CHIP, CHIPseq
Reactivity
Human, Mouse, Rat
Immunogen
Synthetic peptide conjugated to KLH derived from within residues 1-100 of Human Histone H3, di methylated at K14.
Host
Rabbit
Clonality
Polyclonal
Conjugate

Unconjugated

Molecular Weight
~15 kDa
Purity
The antibody was affinity-purified from rabbit antiserum by affinity-chromatography using epitope-specific immunogen and the purity is > 95% (by SDS-PAGE).
Product Form
1mg/ml in PBSwith0.1%SodiumAzide,50%Glycerol.
Synonyms
H3-3A, H3-5, H3-clustered histone 13, H3-clustered histone 14, H3-clustered histone 15, H3.3A, H3C1, H3C15, H3F3, H3F3A, H3F3C, H3FA, HIST1H3A, HIST2H3A, Histone H3.1, Histone H3.2, Histone H3.3, Histone H3.3C, Histone H3.5, Histone H3/a, Histone H3/b, Histone H3/c, Histone H3/d, Histone H3/f, Histone H3/m, Histone H3/o
Disclaimer
This product is for research use only. It is not intended for diagnostic or therapeutic use.

Most popular Anti-Histone H3 Antibodies

Alternative products to Anti-Histone H3 (Di-Methyl K14) Antibody (A30723)