ISO 9001:2015 Certified
Live Customer Support
4.5/5 on Trustpilot
100% Quality Guarantee

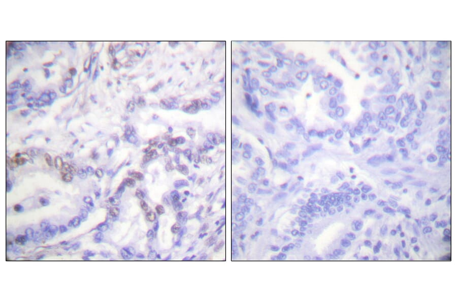
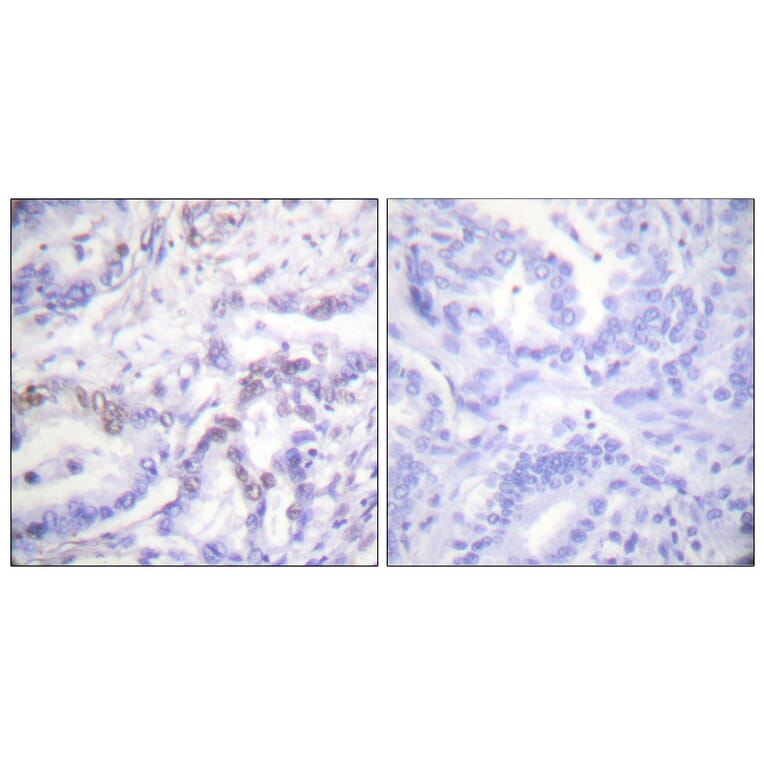
Anti-Histone H3 (phospho Thr3) Antibody (A93630)

Rabbit polyclonal antibody to Histone H3 (phospho Thr3) for WB, IHC, IF and ELISA.

Shipping Information

$40
Dispatched from St. Louis, MO.
Lead Time: 6-8 business days.
Name
Anti-Histone H3 (phospho Thr3) Antibody
Description
Rabbit polyclonal antibody to Histone H3 (phospho Thr3).
Specificity
This antibody detects endogenous levels of Histone H3 only when phosphorylated at Thr3.
Applications
WB, IHC, IF, ELISA
Dilutions
IHC: 1:50~1:100, IF: 1:100~1:500, ELISA: 1:5000
Reactivity
Human, Mouse, Rat
Cross Reactivity
No reported cross-reactivity.
Immunogen
Synthetic peptide derived from human Histone H3 around the phosphorylation site of Thr3 (amino acids 1-50).
Host
Rabbit
Clonality
Polyclonal
Isotype
IgG
Conjugate

Unconjugated

Purification
Purified from rabbit serum by antigen affinity chromatography using the immunizing acetylated peptide.
Molecular Weight
15kDa
Product Form
Liquid
Formulation
Supplied in Phosphate Buffered Saline (without Mg2+ and Ca2+), pH 7.4, with 150mM NaCl, 0.02% Sodium Azide, and 50% Glycerol.
Storage
Shipped at 4°C. Upon delivery aliquot and store at -20°C. Avoid freeze / thaw cycles.
Synonyms
H3-3A, H3-5, H3-clustered histone 13, H3-clustered histone 14, H3-clustered histone 15, H3.3A, H3C1, H3C15, H3F3, H3F3A, H3F3C, H3FA, HIST1H3A, HIST2H3A, Histone H3.1, Histone H3.2, Histone H3.3, Histone H3.3C, Histone H3.5, Histone H3/a, Histone H3/b, Histone H3/c, Histone H3/d, Histone H3/f, Histone H3/m, Histone H3/o
Disclaimer
This product is for research use only. It is not intended for diagnostic or therapeutic use.
Publishing research using Anti-Histone H3 (phospho Thr3) Antibody (A93630)? Please let us know so that we can list the citation on this page.

Most popular Anti-Histone H3 Antibodies

Alternative products to Anti-Histone H3 (phospho Thr3) Antibody (A93630)