ISO 9001:2015 Certified
Live Customer Support
4.5/5 on Trustpilot
100% Quality Guarantee

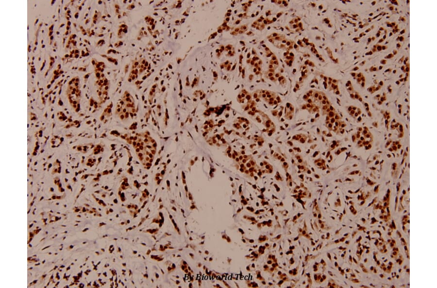
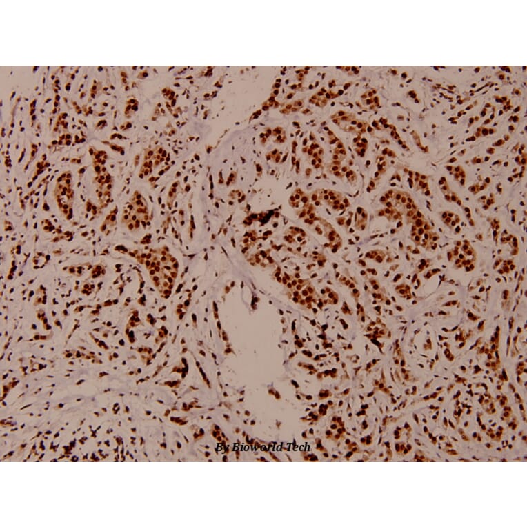
Anti-Histone H3 (T22) Antibody (A25430)

This product is discontinued

Anti-Histone H3 (T22) Antibody (A25430) has been discontinued and is no longer available.

View all Histone H3 Antibodies.

Name
Anti-Histone H3 (T22) Antibody
Description
Rabbit polyclonal antibody to Histone H3 (T22)
Specificity
Histone H3 (T22) pAb detects endogenous levels of Histone H3 protein.
Applications
WB, IHC
Reactivity
Human, Mouse, Rat
Immunogen
Synthetic peptide, corresponding to the N-terminal of Human Histone H3.
Host
Rabbit
Clonality
Polyclonal
Conjugate

Unconjugated

Molecular Weight
~ 17 kDa
Purity
The antibody was affinity-purified from rabbit antiserum by affinity-chromatography using epitope-specific immunogen and the purity is > 95% (by SDS-PAGE).
Product Form
1 mg/ml in Phosphate buffered saline (PBS) with 0.05% sodium azide, approx. pH 7.2.
Synonyms
H3-3A, H3-5, H3-clustered histone 13, H3-clustered histone 14, H3-clustered histone 15, H3.3A, H3C1, H3C15, H3F3, H3F3A, H3F3C, H3FA, HIST1H3A, HIST2H3A, Histone H3.1, Histone H3.2, Histone H3.3, Histone H3.3C, Histone H3.5, Histone H3/a, Histone H3/b, Histone H3/c, Histone H3/d, Histone H3/f, Histone H3/m, Histone H3/o
Disclaimer
This product is for research use only. It is not intended for diagnostic or therapeutic use.

Most popular Anti-Histone H3 Antibodies

Alternative products to Anti-Histone H3 (T22) Antibody (A25430)