ISO 9001:2015 Certified
Live Customer Support
4.5/5 on Trustpilot
100% Quality Guarantee

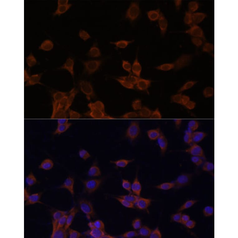
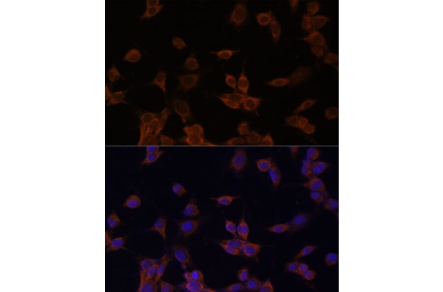
Anti-HMGCR Antibody (A92614)

This product is discontinued

Anti-HMGCR Antibody (A92614) has been discontinued and is no longer available.

View all HMGCR Antibodies.

Name
Anti-HMGCR Antibody
Description
Rabbit polyclonal antibody to HMGCR.
Applications
WB, ICC/IF
Dilutions
WB: 1:500-1:2,000, ICC/IF: 1:50-1:200
Reactivity
Human, Mouse, Rat
Immunogen
Recombinant fusion protein containing a sequence corresponding to amino acids 351-440 of HMGCR (NP_000850.1).
Sequence
KNPITSPVVTQKKVPDNCCRREPMLVRNNQKCDSVEEETGINRERKVEVIKPLVAETDTPNRATFVVGNSSLLDTSSVLVTQEPEIELPR
Host
Rabbit
Clonality
Polyclonal
Isotype
IgG
Conjugate

Unconjugated

Purification
Affinity purification.
Molecular Weight
110 kDa
Product Form
Liquid
Formulation
Supplied in Phosphate Buffered Saline, pH 7.3, with 50% Glycerol and 0.01% Thiomersal.
Storage
Shipped at 4°C. Upon delivery aliquot and store at -20°C. Avoid freeze / thaw cycles.
Synonyms
3-hydroxy-3-methylglutaryl-coenzyme A reductase, HMG-CoA reductase
Disclaimer
This product is for research use only. It is not intended for diagnostic or therapeutic use.

Alternative products to Anti-HMGCR Antibody (A92614)

Proteins predicted to interact with HMGCR

Predicted protein interactions based upon String database. Revelancy score correlates with probability of interaction.
99.9% Relevancy Score
99.9% Relevancy Score
99.9% Relevancy Score
99% Relevancy Score
98.5% Relevancy Score
97.3% Relevancy Score
96.7% Relevancy Score
95.6% Relevancy Score
95.4% Relevancy Score