Primary Antibodies
Secondary Antibodies
Proteins & Peptides
ELISA Kits
About Us
Contact Us
Sign In/Register
0
ISO 9001:2015 Certified
Live Customer Support
4.5/5 on Trustpilot
100% Quality Guarantee
Home
Primary Antibodies
HOMER1 Antibodies
Anti-HOMER1 Antibody (A37225)
Anti-HOMER1 Antibody (A37225)
Overview
Specifications
Images
Enlarge Image
Enlarge Image
$430
Product Datasheet
Rabbit polyclonal antibody to HOMER1 for WB and IHC.
100% Guarantee
Price Match Guarantee
Product Size:
100µl
Quantity:
1
2
3
4
5
6
7
8
9
10
Add To Cart
Request a Quotation
Custom or Bulk Request
Shipping Information
Freight/Packing Charges:
$40
Dispatched from St. Louis, MO.
Lead Time: 6-9 business days.
Tags:
Synaptic Marker
Specifications
Name
Anti-HOMER1 Antibody
Description
Rabbit polyclonal antibody to HOMER1
Specificity
The antibody detects endogenous levels of total HOMER1 protein.
Applications
WB
,
IHC
Reactivity
Human, Mouse
Immunogen
Fusion protein corresponding to residues near the C terminal of human homer homolog 1
Host
Rabbit
Clonality
Polyclonal
Conjugate
Unconjugated
Purification
Antigen affinity purification.
Concentration
2.4 mg/mL
Formulation
Supplied in PBS, pH 7.3, containing 0.05% sodium azide and 50% glycerol.
Storage
Shipped at 4°C. Upon delivery aliquot and store at -20°C. Avoid freeze/thaw cycles.
Synonyms
Homer protein homolog 1, Homer-1, SYN47
Suitable Secondaries
Goat Anti-Rabbit IgG H&L Antibody (AP) (A294874)
Goat Anti-Rabbit IgG H&L Antibody (Biotin) (A294795)
Goat Anti-Rabbit IgG H&L Antibody (FITC) (A294887)
Goat Anti-Rabbit IgG H&L Antibody (HRP) (A294888)
See all Anti-Rabbit IgG Secondaries →
Disclaimer
This product is for research use only. It is not intended for diagnostic or therapeutic use.
Scientific Validation Data
Validation Data
(2)
Enlarge Image
Anti-HOMER1 Antibody (A37225)
Gel: 10% SDS-PAGE Lysates (from left to right): Mouse brain tissue Amount of lysate: 40ug per lane Primary antibody: 1/400 dilution Secondary antibody dilution: 1/8000 Exposure time: 10 seconds
Enlarge Image
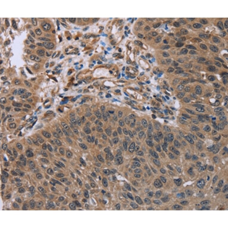
Immunohistochemistry - Anti-HOMER1 Antibody (A37225)
Immunohistochemical analysis of paraffin-embedded Human lung cancer tissue using #36523 at dilution 1/50.
Publishing research using Anti-HOMER1 Antibody (A37225)? Please
let us know
so that we can list the citation on this page.
Alternative products to Anti-HOMER1 Antibody (A37225)
(3)
A9430
Anti-HOMER1 Antibody
Rabbit polyclonal antibody to HOMER1 for WB, ICC/IF and ELISA.
(2)
A329442
Anti-HOMER1 Antibody
Rabbit polyclonal antibody to HOMER1 for WB, ICC/IF and ELISA.
A346539
Anti-HOMER1 Antibody [24GB6005]
Recombinant rabbit monoclonal [24GB6005] antibody to HOMER1 for WB, Flow Cytometry and ICC/IF.
A346538
Anti-HOMER1 Antibody [23GB6590]
Recombinant rabbit monoclonal [23GB6590] antibody to HOMER1 for WB, Flow Cytometry and ICC/IF.
A309385
Anti-Homer1 Antibody [ARC3008]
Rabbit monoclonal [ARC3008] antibody to Homer1 for WB.
A58211
Anti-Homer1 Antibody [PAT1F3AT]
Mouse monoclonal [PAT1F3AT] antibody to Homer1 for ELISA and WB.
A44883
Anti-Homer protein homolog 1 Antibody
Rabbit polyclonal antibody to Homer protein homolog 1 for IHC.
(3)
A9430
Anti-HOMER1 Antibody
Rabbit polyclonal antibody to HOMER1 for WB, ICC/IF and ELISA.
(2)
A329442
Anti-HOMER1 Antibody
Rabbit polyclonal antibody to HOMER1 for WB, ICC/IF and ELISA.
A346539
Anti-HOMER1 Antibody [24GB6005]
Recombinant rabbit monoclonal [24GB6005] antibody to HOMER1 for WB, Flow Cytometry and ICC/IF.
A346538
Anti-HOMER1 Antibody [23GB6590]
Recombinant rabbit monoclonal [23GB6590] antibody to HOMER1 for WB, Flow Cytometry and ICC/IF.
A309385
Anti-Homer1 Antibody [ARC3008]
Rabbit monoclonal [ARC3008] antibody to Homer1 for WB.
A58211
Anti-Homer1 Antibody [PAT1F3AT]
Mouse monoclonal [PAT1F3AT] antibody to Homer1 for ELISA and WB.
A44883
Anti-Homer protein homolog 1 Antibody
Rabbit polyclonal antibody to Homer protein homolog 1 for IHC.
See all HOMER1 Antibodies
Proteins predicted to interact with HOMER1
Predicted protein interactions based upon String database. Revelancy score correlates with probability of interaction.
mGluR5 Antibodies
99.9% Relevancy Score
mGluR1 Antibodies
99.8% Relevancy Score
HOMER3 Antibodies
99.3% Relevancy Score
HOMER2 Antibodies
99.1% Relevancy Score
PSD95 Antibodies
98.8% Relevancy Score
DLGAP1 Antibodies
98.6% Relevancy Score
SHANK1 Antibodies
98.4% Relevancy Score
SHANK3 Antibodies
95.7% Relevancy Score
IP3 Receptor Antibodies
95% Relevancy Score
Top