Western blot analysis of human Breast adenocarcinoma cell line (MCF7) showing detection of ~65 kDa HSF1 protein using Anti-HSF1 Antibody [4B4] (A305103) at 1:1,000 for 2 hours at room temperature. Lane 1: MW ladder. Lane 2: HSF1 null lysate prepared from mouse embryonic fibroblasts. Lane 3: MCF7 lysate (5 µg). Lane 4: MCF7 lysate (10 µg). Lane 5: MCF7 lysate (20 µg). Block: 1.5% BSA for 30 minutes at room temperature. The secondary antibody used was Goat Anti-Rat IgG: HRP for 1 hour at room temperature. Predicted/Observed Size: ~65 kDa.
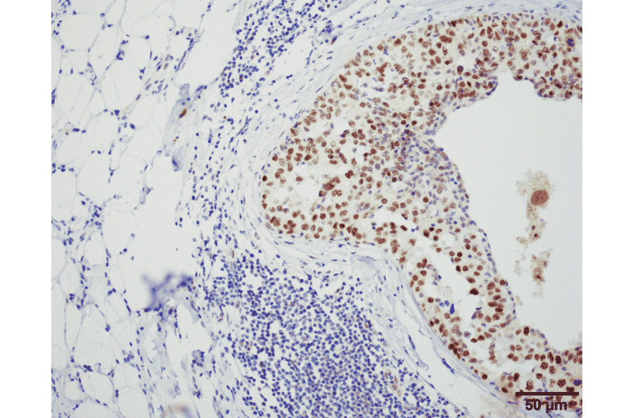
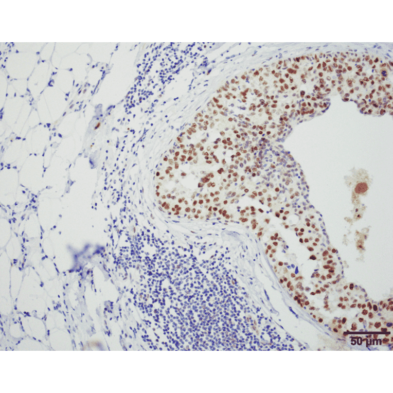
Immunohistochemistry analysis of human breast carcinoma, fixed in 10% formalin solution for 20 hours at room temperature. The Primary Antibody used was Anti-HSF1 Antibody [4B4] (A305103) at 1:2000 for 40 min. The secondary antibody used was Dako labeled Polymer HRP Anti-rat IgG, DAB Chromogen (brown) (Dako Envision+ System) for 30 minutes at room temperature. Counterstain: Mayer's Hematoxylin (purple/blue) nuclear stain for 1 minute at room temperature. Localization: Nuclear. Magnification: 100X.
Immunocytochemistry/Immunofluorescence analysis of human heat shocked cervical cancer cell line (HeLa), fixed in 2% formaldehyde for 20 minutes at room temperature, using Anti-HSF1 Antibody [4B4] (A305103), at 1:100 for 12 hours at 4°C. The secondary antibody used was APC Goat Anti-Rat (red) at 1:200 for 2 hours at room temperature. Counterstain: DAPI (blue) nuclear stain at 1:40000 for 2 hours at room temperature. Localization: Cytoplasm. Localizes to the nucleus upon activation. Magnification: 20x.(A) DAPI (blue) nuclear stain. (B) Anti-HSF1 Antibody. (C) Composite. Heat Shocked at 42°C for 1h.
Immunocytochemistry/Immunofluorescence analysis of human heat shocked cervical cancer cell line (HeLa), fixed in 2% formaldehyde for 20 minutes at room temperature, using Anti-HSF1 Antibody [4B4] (A305103), at 1:100 for 12 hours at 4°C. The secondary antibody used was R-PE Goat Anti-Rat (yellow) at 1:200 for 2 hours at room temperature. Counterstain: DAPI (blue) nuclear stain at 1:40000 for 2 hours at room temperature. Localization: Cytoplasm. Localizes to the nucleus upon activation. Magnification: 100x.(A) DAPI (blue) nuclear stain. (B) Anti-HSF1 Antibody. (C) Composite. Heat Shocked at 42°C for 1h.
Publishing research using Anti-HSF1 Antibody [4B4] (A305103)? Please let us know so that we can list the citation on this page.
Alternative products to Anti-HSF1 Antibody [4B4] (A305103)