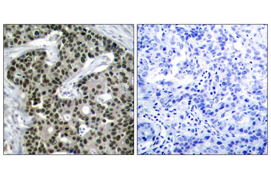
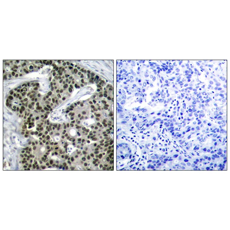
Anti-HSF1 (phospho Ser303) Antibody (A94055) has been discontinued and is no longer available.
View all HSF1 Antibodies.
Unconjugated
The heat shock factor 1 (HSF1) is a transcription factor that itself is a sensor for stress and integrates various intrinsic or environmental stress sensing pathways. Thus HSF1 orchestrates the heat shock response (HSR) by translating these pathways into a distinct transcriptional program that aids the cells to cope with and adapt to proteotoxic stress. Although heavily researched the regulation of HSF1 activation is still not completely understood. A conserved reaction to stress is the hyperphosphorylation of the otherwise confined constitutive phosphorylated HSF1. Therefore, this stress specific phosphorylation is believed to be involved in the regulatory mechanism and hence, was and is focus of many studies, ascribing various effects to single phosphorylation sites. To gain additional insight into effects of phosphorylation, HSF1 carrying amino acid substitutions on up to 18 amino acids were tested for their transactivation potential on an HSR reporter plasmid. A pattern of eleven phosphor-mimicking and diminishing amino acid substitutions on well-known phosphorylation sites of HSF1 were introduced to produce transcriptional active [11 M(+)] or repressed [11 M(-)] phenotypes. It could be confirmed that heat activates HSF1 regardless of phosphorylation. Distinct cellular stress, obtained by chemical HSR inducers or mimicked by a constitutively active HSF1, showed clear differences in the activation potential of HSF1-11 M(+) and 11 M(-). Further refinement to the single amino acid level identified the S303/307 double-phosphorylation motif, wherein phosphorylation of S303 was sole responsible for the repressing effect. The effect could be reproduced in different cell lines and is not entirely based on degradation. A small repression motif could be dissociated from the HSF1 context, which is still capable of repressing the background transcription of a specifically designed reporter plasmid. Taken together these results indicate, that besides already described mechanisms of pS303/307 mediated repression of HSF1 activation, an additional mechanism repressing the transcriptional output of the entire HSE containing promoter is mediated by this small repressive motif.