Confocal immunofluorescent analysis of HeLa cells stained with Anti-Heat Shock Protein 60 Antibody, at a dilution of 1:1,000, in red, and Anti-Vimentin Antibody (A85421 | 1:1,000, in green. The blue is DAPI staining of nuclear DNA. The Anti-Heat Shock Protein 60 Antibody gives strong and specific staining of mitochondria while the Anti-Vimentin Antibody reveals cytoplasmic intermediate filaments.
HeLa cells were stained with Anti-Heat Shock Protein 60 Antibody (green). Blue is DAPI staining of DNA. The Anti-Heat Shock Protein 60 Antibody reveals strong staining in mitochondria.
Western blot analysis of different tissue or cell lysates using Anti-Heat Shock Protein 60 Antibody, at a dilution of 1:5,000, in red,: [Lane 1] protein standard, [Lane 2] rat brain, [Lane 3] mouse brain, [Lane 4] NIH-3T3, [Lane 5] HEK293, [Lane 6] HeLa, [Lane 7] SH-SY5Y cells. The strong 60kDa band present in all preparations corresponds to the HSP60 protein. The blot was simultaneously probed with Anti-Heat Shock Protein 27 Antibody (A85358 | 1:10,000, in green. Strong single band at ~27kDa corresponds to the HSP27 protein, detected only in human cell lines since this particular antibody does not recognize rodent HSP27.
Immunofluorescent analysis of transfected HEK293 cells with the SARS-CoV2-bd-construct under high magnification stained with mouse mAb to Anti-SARS-CoV-2 Spike Glycoprotein RBD Antibody [2G1] (A270550) at a dilution of 1:1,000 (green). Cells were costained with Anti-HSP60 Antibody (A85437) at a dilution of 1:2,000 (red). Nuclei were stained with Hoechst (blue). Anti-SARS-CoV-2 Spike Glycoprotein RBD Antibody [2G1] (A270550) reveals overexpression of SARS-CoV2-bd protein presumanbly in lysosomes only in transfected cells, while the HSP60 antibody labels mitochondria in all cells.
Western blot analysis of Anti-Heat Shock Protein 60 Antibody. Blot of HeLa cells lysates (Lane 1) and rat brain extracts (Lane 2) was probed with Anti-Heat Shock Protein 60 Antibody. This antibody recognizes cleanly and strongly the Hsp60 protein band at 60 kDa.
Immunofluorescent analysis of HEK293 cells transfected with a SARS-CoV-2 Spike Glycoprotein RBD for ACE2 construct under high magnification, stained with Anti-SARS-CoV-2 Spike Glycoprotein RBD Antibody [2G1] (A270550), at a dilution of 1:1,000, in green, and co-stained with Anti-HSP60 Antibody (A85437), at a dilution of 1:2,000, in red. The nuclear DNA is visualised in blue using Hoechst staining. Anti-SARS-CoV-2 Spike Glycoprotein RBD Antibody [2G1] (A270550) reveals overexpression of SARS-CoV-2 Spike Glycoprotein RBD presumably in lysosomes only in transfected cells, while the Anti-HSP60 Antibody (A85437) labels mitochondria in all cells.
Western blot analysis of different cell lysates using Anti-Annexin VI Antibody [4G3] (A270554), at a dilution of 1:2,000, in green. The lanes contain: [Lane 1] protein standards (red), [Lane 2] mouse NIH-3T3 cells, [Lane 3] rat C6 cells, [Lane 4] human HeLa cells, [Lane 5] human HEK293 cells, [Lane 6] canine A72 cells, [Lane 7] equine NBL6 cells, and [Lane 8] African green monkey COS1 cells. Anti-Annexin VI Antibody [4G3] (A270554) detects Annexin VI protein with apparent molecular weight of ~68 kDa in all cell preparations. The blot was simultaneously probed with Anti-HSP60 Antibody (A85437), at a dilution of 1:5,000, in red. The band at 60kDa corresponds to HSP60 protein, which is labeled in all preparations and acts as a positive loading control.
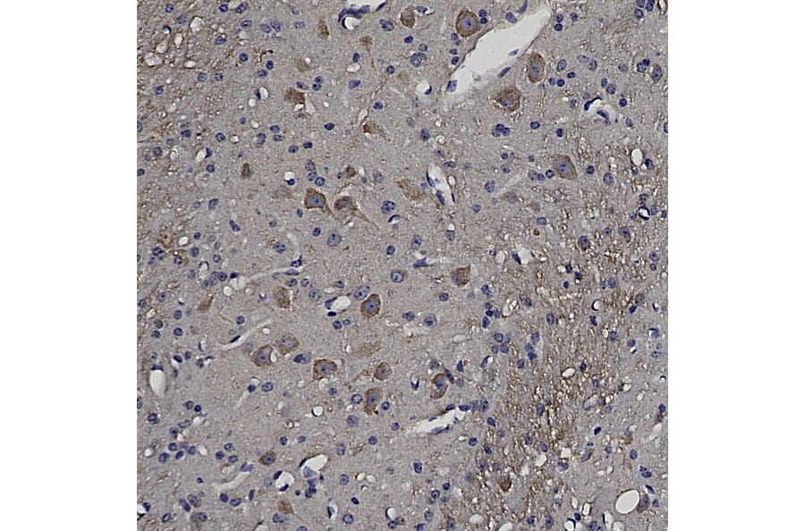
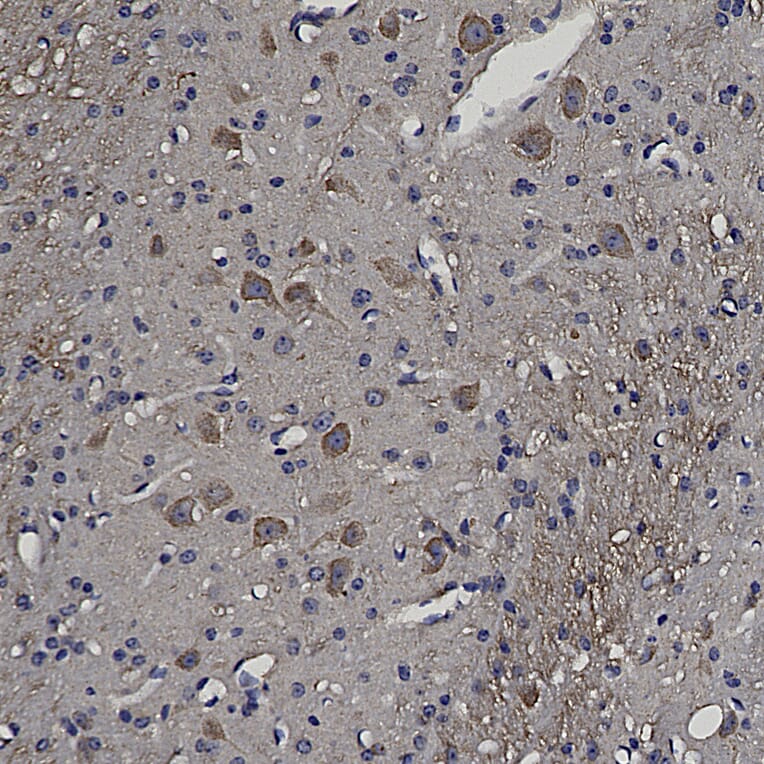
Immunohistochemistry analysis of a formalin fixed paraffin embedded mouse pons section with Anti-HSP60 Antibody (A85437) at a dilution of 1:1,000 detected with DAB (brown) using the Vector Labs ImmPRESS method and reagents with citra buffer retrieval. Counterstained with Hematoxylin (blue). Anti-HSP60 Antibody (A85437) specifically detects mitochondria and produces a granular cytoplasmic staining pattern in most cells types.
(Left) Western blot analysis of HEK293 cell lysates using Anti-SARS-CoV-2 Spike Glycoprotein RBD Antibody [5G8] (A270557) at a dilution of 1:3,000 (green). The lanes contain: [Lane 1] protein standard, [Lane 2] non-transfected cells, [Lane 3] cells transfected with pCI-Neo-Mod containing the SARS-CoV2-bd cDNA, and [Lane 4] cells transfected with pCI-Neo-GFP vector expression construct containing containing the SARS-CoV2-bd cDNA. The band at 25kDa mark in the transfected cells demonstrates expression of SARS-CoV-bd protein, and the band at about 50kDa corresponds to a GFP-SARS-CoV2-bd fusion protein. The same blot was simultaneously probed with Anti-HSP60 Antibody (A85437) at a dilution of 1:5,000 (red) revealing a single band at 60kDa in both transfected and non-transfected cells. (Right) Western Blot of full length recombinant SARS-CoV2 S-protein expressed in HEK293 cells using product 10561-CV from R&D Systems. Lane 6 shows a loading of 1µg and lane 7 is 100ng. On longer exposure of the blot the antibody could readily detect 10ng of the S-protein. Lanes 1 and 5 are molecular weight standards of indicated size.