Immunocytochemistry/Immunofluorescence analysis of human skin fibroblasts, fixed in cold 100% methanol for 30 minutes at -20°C , using Anti-HSP60 Antibody [LK1] (A305088), at 1:1,000 for 1 hour at room temperature. The secondary antibody used was DAKO LSAB2 streptavidin-peroxidase system. Counterstain: Mayer Hematoxylin (purple/blue) nuclear stain. Left: control; Right: 24 hours after 7th passage of senescence.
Immunohistochemistry analysis of mouse backskin, fixed in Bouin's fixative solution and paraffin-embedded. The Primary Antibody used was Anti-HSP60 Antibody [LK1] (A305088) at 1:100 for 1 hour at room temperature. The secondary antibody used was FITC Goat Anti-Mouse (green) at 1:50 for 1 hour at room temperature. Localization: Epidermis.
Western Blot - Anti-HSP60 Antibody [LK1] (A305088)
Western blot analysis of human Cell line lysates showing detection of Hsp60 protein using Anti-HSP60 Antibody [LK1] (A305088) at 1:1,000 for 2 hours at room temperature. Load: 15 µg. Block: 1.5% BSA for 30 minutes at room temperature. The secondary antibody used was Sheep Anti-Mouse IgG: HRP for 1 hour at room temperature.
Immunohistochemistry analysis of human colon carcinoma, fixed in formalin. The Primary Antibody used was Anti-HSP60 Antibody [LK1] (A305088) at 1:100,000 for 12 hours at 4°C. The secondary antibody used was Biotin Goat Anti-Mouse at 1:2000 for 1 hour at room temperature. Counterstain: Mayer Hematoxylin (purple/blue) nuclear stain at 200 µl for 2 minutes at room temperature. Localization: Inflammatory cells. Magnification: 40x.
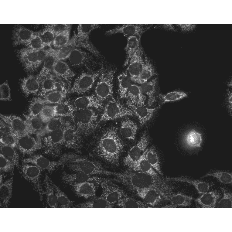
Immunocytochemistry/Immunofluorescence analysis of human HaCaT cells, fixed in cold 100% methanol at -20°C for 10 minutes, using Anti-HSP60 Antibody [LK1] (A305088), at 1:100 for 1 hour at room temperature. The secondary antibody used was FITC Goat Anti-Mouse (green) at 1:50 for 1 hour at room temperature. Localization: Cytoplasmic Staining.