ISO 9001:2015 Certified
Live Customer Support
4.5/5 on Trustpilot
100% Quality Guarantee

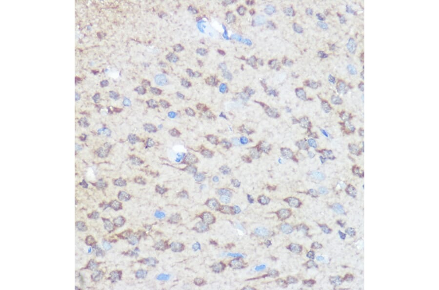
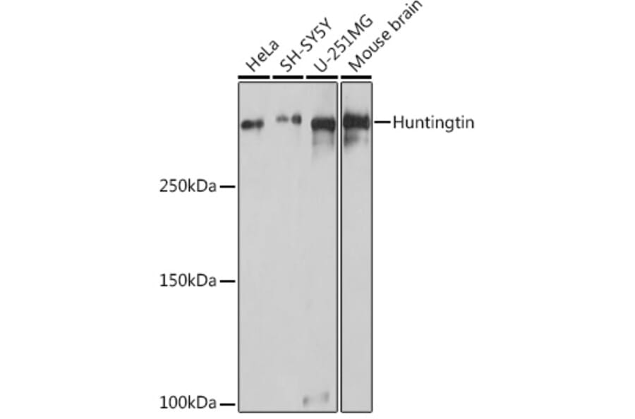
Anti-Huntingtin Antibody (A308268)

Rabbit polyclonal antibody to Huntingtin for WB, IHC and ICC/IF.

Shipping Information

$40
Dispatched from St. Louis, MO.
Lead Time: 7-10 business days.
Name
Anti-Huntingtin Antibody
Description
Rabbit polyclonal antibody to Huntingtin.
Applications
WB, IHC, ICC/IF
Dilutions
WB: 1:500-1:2,000, IHC: 1:50-1:200, ICC/IF: 1:50-1:200
Reactivity
Human, Mouse, Rat
Immunogen
Recombinant fusion protein containing a sequence corresponding to amino acids 435-635 of human Huntingtin (NP_002102.4).
Sequence
PVLSRKQKGKVLLGEEEALEDDSESRSDVSSSALTASVKDEISGELAASSGVSTPGSAGHDIITEQPRSQHTLQADSVDLASCDLTSSATDGDEEDILSHSSSQVSAVPSDPAMDLNDGTQASSPISDSSQTTTEGPDSAVTPSDSSEIVLDGTDNQYLGLQIGQPQDEDEEATGILPDEASEAFRNSSMALQQAHLLKNM
Host
Rabbit
Clonality
Polyclonal
Isotype
IgG
Conjugate

Unconjugated

Purification
Affinity purification.
Concentration
Lot Specific
Molecular Weight
347 kDa
Product Form
Liquid
Formulation
Supplied in Phosphate Buffered Saline, pH 7.3, with 50% Glycerol and 0.01% Thiomersal.
Storage
Shipped at 4°C. Upon delivery aliquot and store at -20°C. Avoid freeze/thaw cycles.
Synonyms
HD, HD protein, HTT, Huntington disease protein, IT15
Disclaimer
This product is for research use only. It is not intended for diagnostic or therapeutic use.
Publishing research using Anti-Huntingtin Antibody (A308268)? Please let us know so that we can list the citation on this page.

Alternative products to Anti-Huntingtin Antibody (A308268)

Proteins predicted to interact with Huntingtin

Predicted protein interactions based upon String database. Revelancy score correlates with probability of interaction.
99.8% Relevancy Score
99.7% Relevancy Score
99.7% Relevancy Score
99.5% Relevancy Score
99.5% Relevancy Score
99.3% Relevancy Score
99.1% Relevancy Score
98.9% Relevancy Score