Unconjugated
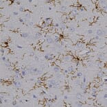
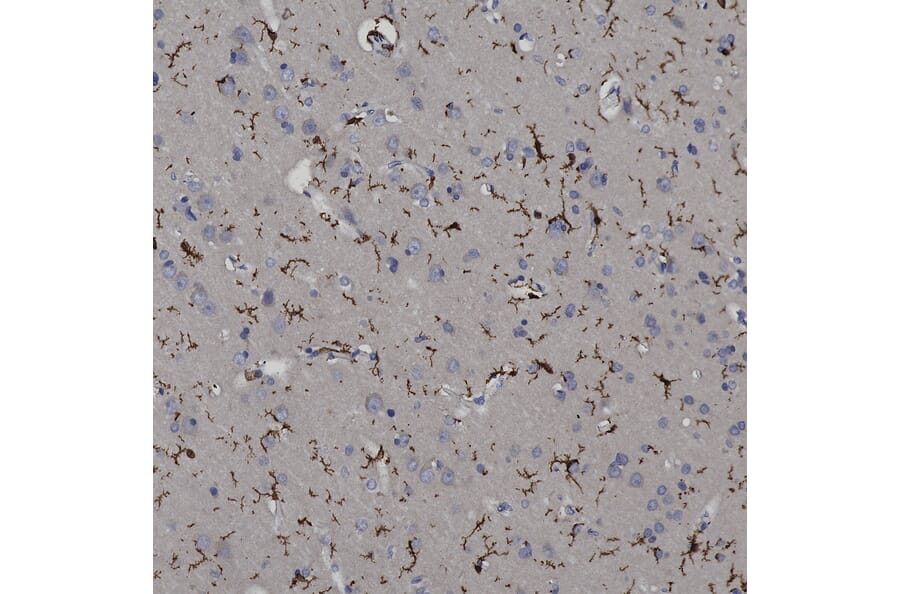
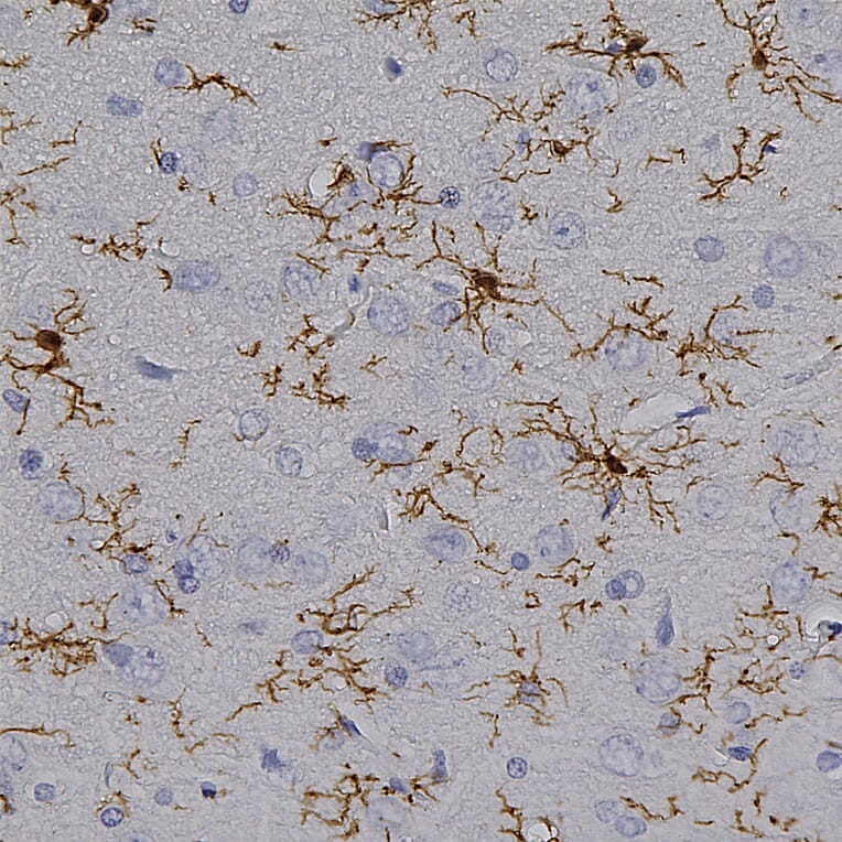
Epilepsy is a chronic neurological disorder characterized by a propensity for seizures due to an imbalance between excitatory and inhibitory brain activity. This condition also induces neuroinflammation, which contributes to disease progression. Given that hemichannels (HCs) permeabilize the cell membrane of glia playing a critical role in neuroinflammation, we investigated the antiepileptic potential of Boldo (Peumus boldus M.), an endemic Chilean tree containing several bioactive molecules including boldine, a HC inhibitor. Mice were treated with pulverized Boldo leaves, the antiseizure medication valproate, or a combination of both for 5 days. Seizure severity was assessed in a pentylenetetrazole-induced kindling mouse model. Using the dye uptake technique, we evaluated the membrane permeability in hippocampal astrocytes, microglia, and neurons. Additionally, we analyzed astroglial and microglial reactivity and measured levels of pro-inflammatory cytokines (IL-1ß, IL6, and TNF-a). Both Boldo and valproate significantly reduced seizure severity. However, distinct mechanisms were observed. Valproate administration increased dye uptake in control animals and enhanced glial reactivity, corroborating its established ability to stimulate hemichannel activity. Conversely, Boldo treatment, either alone or in conjunction with valproate, reduced these parameters, consistent with its HC-blocking properties. Importantly, Boldo was more effective than valproate in reducing plasmatic levels of inflammatory and oxidative stress markers. These findings indicate that Boldo, by inhibiting these HCs, could provide a valuable therapeutic strategy to mitigate neuroinflammation in epilepsy, highlighting the clinical potential of this readily available medicinal herb.
A 21-nucleotide duplication in one allele of SNCA was identified in a previously described disease with abundant a-synuclein inclusions that we now call juvenile-onset synucleinopathy (JOS). This mutation translates into the insertion of MAAAEKT after residue 22 of a-synuclein, resulting in a protein of 147 amino acids. Both wild-type and mutant proteins were present in sarkosyl-insoluble material that was extracted from frontal cortex of the individual with JOS and examined by electron cryo-microscopy. The structures of JOS filaments, comprising either a single protofilament, or a pair of protofilaments, revealed a new a-synuclein fold that differs from the folds of Lewy body diseases and multiple system atrophy (MSA). The JOS fold consists of a compact core, the sequence of which (residues 36-100 of wild-type a-synuclein) is unaffected by the mutation, and two disconnected density islands (A and B) of mixed sequences. There is a non-proteinaceous cofactor bound between the core and island A. The JOS fold resembles the common substructure of MSA Type I and Type II dimeric filaments, with its core segment approximating the C-terminal body of MSA protofilaments B and its islands mimicking the N-terminal arm of MSA protofilaments A. The partial similarity of JOS and MSA folds extends to the locations of their cofactor-binding sites. In vitro assembly of recombinant wild-type a-synuclein, its insertion mutant and their mixture yielded structures that were distinct from those of JOS filaments. Our findings provide insight into a possible mechanism of JOS fibrillation in which mutant a-synuclein of 147 amino acids forms a nucleus with the JOS fold, around which wild-type and mutant proteins assemble during elongation.