ISO 9001:2015 Certified
Live Customer Support
4.5/5 on Trustpilot
100% Quality Guarantee

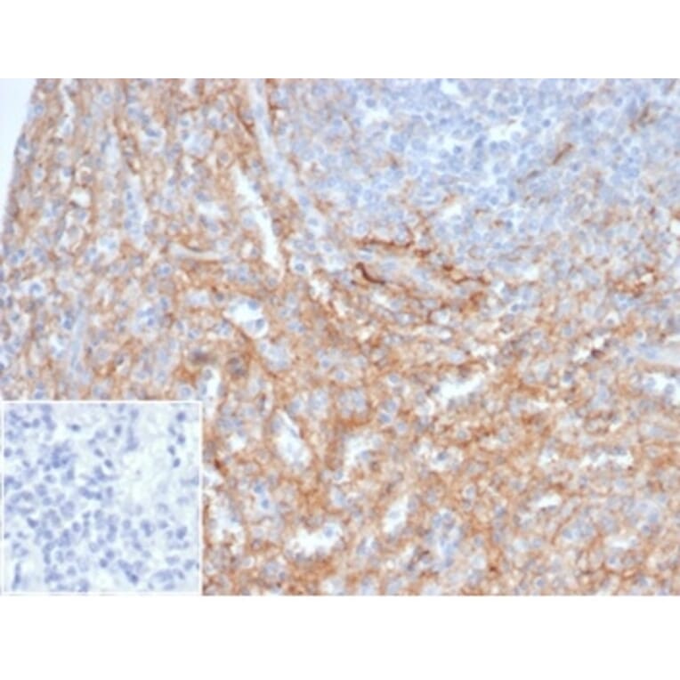
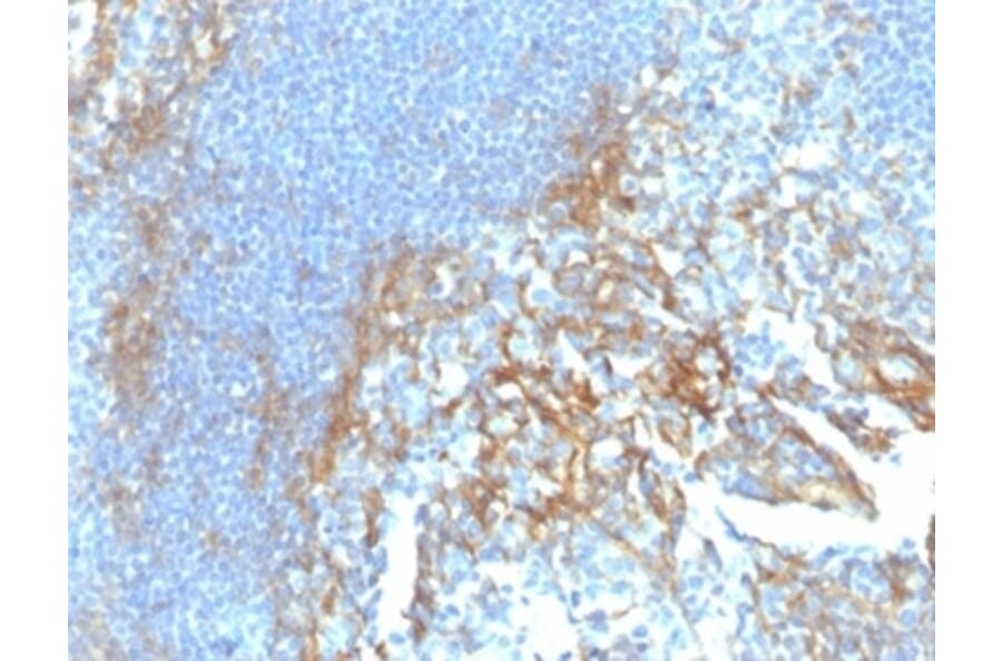
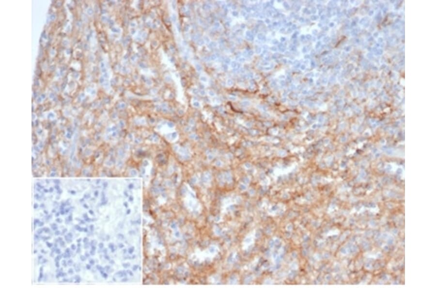
Anti-ICAM1 Antibody [ICAM1/6917] (A277651)

Mouse monoclonal [ICAM1/6917] antibody to ICAM1 for IHC-P.

Alternative Formats and ConjugatesAlternative Formats

Shipping Information

$40
Dispatched from St. Louis, MO.
Lead Time: 5-8 business days.
Name
Anti-ICAM1 Antibody [ICAM1/6917]
Description
Mouse monoclonal [ICAM1/6917] antibody to ICAM1.
Specificity
This antibody recognizes an 85-115kDa protein (variation with cell type), identified as intercellular adhesion molecule (ICAM-1). It has 7 potential N-linked glycosylation sites. ICAM-1 is a single chain glycoprotein of Ig supergene family, present on unstimulated endothelial cells (EC) and on a variety of other cell types including activated fibroblasts, EC, macrophages, and lymphocytes. ICAM-1 mediates cell adhesion by binding to integrins CD11a/CD18 (leukocyte adhesion molecule, LFA-1) and to CD11b/CD18 (Mac-1). This interaction enhances antigen-specific T-cell activation. ICAM-1 also binds to CD43 and to Plasmodium falciparum infected RBCs. ICAM-1 may also be related to progression and metastasis of tumors.
Applications
IHC-P
Dilutions
IHC-P: 1-2 µg/ml
Reactivity
Human
Immunogen
Recombinant fragment corresponding to human ICAM1 protein. The exact sequence is proprietary.
Host
Mouse
Clonality
Monoclonal
Clone ID
ICAM1/6917
Isotype
IgG
Conjugate

Unconjugated

Purification
Protein A/G chromatography.
Concentration
200 µg/ml
Molecular Weight
85-115 kDa
Product Form
Liquid
Formulation
Supplied in 10mM Phosphate Buffered Saline with 0.05% BSA and 0.05% Sodium Azide.
Storage
Shipped at 4°C. Upon delivery aliquot and store at -20°C. Avoid freeze / thaw cycles.
General Notes
This monoclonal antibody is also available in a different formulation without BSA and Sodium Azide - Anti-ICAM1 Antibody [ICAM1/6917] - BSA and Azide free (A278239).
Synonyms
ICAM-1, Intercellular adhesion molecule 1, Major group rhinovirus receptor
Isotype Controls
Disclaimer
This product is for research use only. It is not intended for diagnostic or therapeutic use.
Publishing research using Anti-ICAM1 Antibody [ICAM1/6917] (A277651)? Please let us know so that we can list the citation on this page.

Alternative products to Anti-ICAM1 Antibody [ICAM1/6917] (A277651)

Proteins predicted to interact with CD54

Predicted protein interactions based upon String database. Revelancy score correlates with probability of interaction.
99.9% Relevancy Score
99.9% Relevancy Score
99.9% Relevancy Score
99.9% Relevancy Score
99.8% Relevancy Score
99.8% Relevancy Score
99.6% Relevancy Score
99.5% Relevancy Score
99.3% Relevancy Score