ISO 9001:2015 Certified
Live Customer Support
4.5/5 on Trustpilot
100% Quality Guarantee

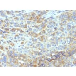
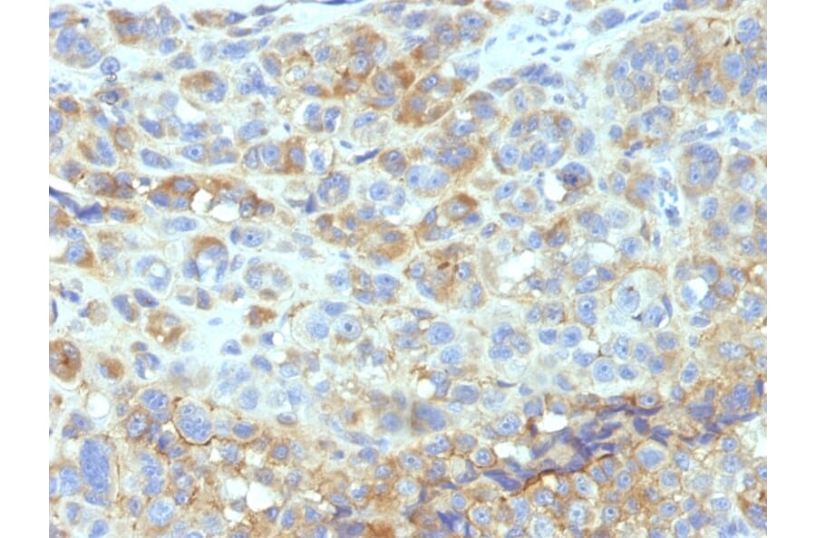
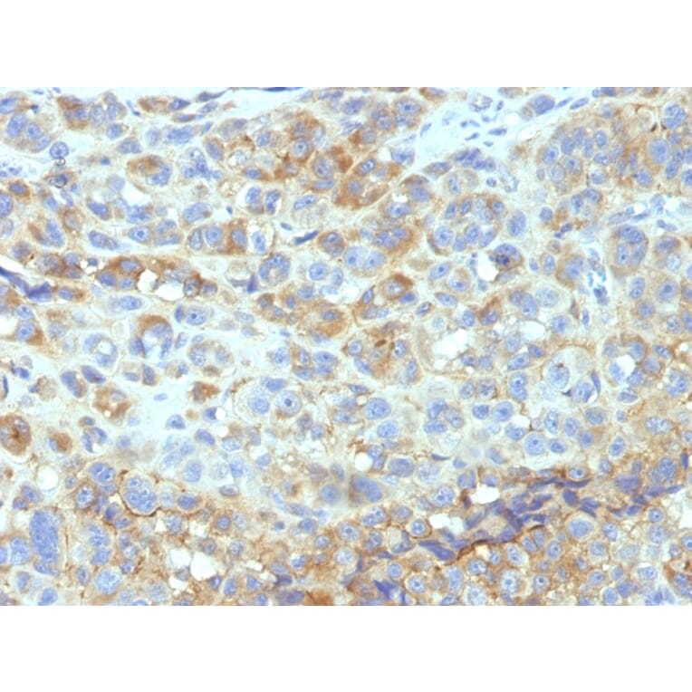
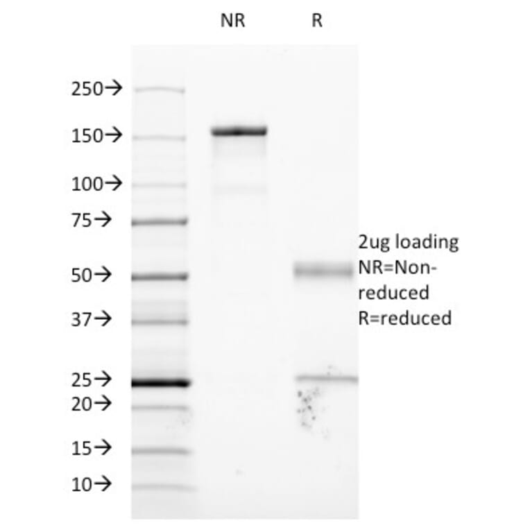
Anti-ICAM1 Antibody [W-CAM-1] - BSA and Azide free (A252082)

Mouse monoclonal [W-CAM-1] antibody to ICAM1 for Functional Studies, Flow Cytometry and IHC-P.

Alternative Formats and ConjugatesAlternative Formats

Shipping Information

$40
Dispatched from St. Louis, MO.
Lead Time: 5-8 business days.
Name
Anti-ICAM1 Antibody [W-CAM-1] - BSA and Azide free
Description
Mouse monoclonal [W-CAM-1] antibody to ICAM1.
Specificity
This antibody recognizes an 85-115kDa protein (variation with cell type), identified as intercellular adhesion molecule (ICAM-1) (Workshop IV). It has 7 potential N-linked glycosylation sites. ICAM-1 is a single chain glycoprotein of Ig supergene family, present on unstimulated endothelial cells (EC) and on a variety of other cell types including activated fibroblasts, EC, macrophages, and lymphocytes. ICAM-1 mediates cell adhesion by binding to integrins CD11a/CD18 (leukocyte adhesion molecule, LFA-1) and to CD11b/CD18 (Mac-1). This interaction enhances antigen-specific T-cell activation. ICAM-1 also binds to CD43 and to Plasmodium falciparum infected RBCs. W-CAM-1 MAb blocks aggregation of cell lines mediated by the ICAM-1 and blocks homotypic binding of Purified populations of activated T- and B-lymphocytes and also aggregation of mixed T- and B-cell blasts. It inhibits T-cell adhesion to normal human endothelial cells. Activation induced by cell-cell contact (mixed lymphocyte reaction, T-cell mediated B-cell activation) is significantly inhibited. This MAb blocks elements of both effector arms of immune system (cytotoxic cell function and Ig production).
Applications
Functional Studies, Flow Cytometry, IHC-P
Dilutions
Flow Cytometry: 1-2 µg/million cells, IHC-P: 1-2 µg/ml, IF: 1-2 µg/ml
Reactivity
Human
Immunogen
Raji Burkitt lymphoma cells.
Host
Mouse
Clonality
Monoclonal
Clone ID
W-CAM-1
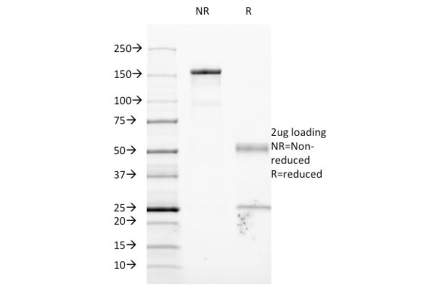
Isotype
IgG2b
Light Chains
kappa
Conjugate

Unconjugated

Purification
Protein A/G chromatography.
Concentration
1 mg/ml
Molecular Weight
85-115 kDa
Product Form
Liquid
Formulation
Supplied in 10mM Phosphate Buffered Saline; without Sodium Azide and carrier free.
Storage
Shipped at 4°C. Upon delivery aliquot and store at -20°C. Avoid freeze / thaw cycles.
General Notes

This antibody is also known as Clone Wehi-CAM-1 and Clone 1H4.

This monoclonal antibody is also available in a different formulation with BSA and Sodium Azide - Anti-ICAM1 Antibody [W-CAM-1] (A248902).

Synonyms
ICAM-1, Intercellular adhesion molecule 1, Major group rhinovirus receptor
Disclaimer
This product is for research use only. It is not intended for diagnostic or therapeutic use.
Publishing research using Anti-ICAM1 Antibody [W-CAM-1] - BSA and Azide free (A252082)? Please let us know so that we can list the citation on this page.

Alternative products to Anti-ICAM1 Antibody [W-CAM-1] - BSA and Azide free (A252082)

Proteins predicted to interact with CD54

Predicted protein interactions based upon String database. Revelancy score correlates with probability of interaction.
99.9% Relevancy Score
99.9% Relevancy Score
99.9% Relevancy Score
99.9% Relevancy Score
99.8% Relevancy Score
99.8% Relevancy Score
99.6% Relevancy Score
99.5% Relevancy Score
99.3% Relevancy Score