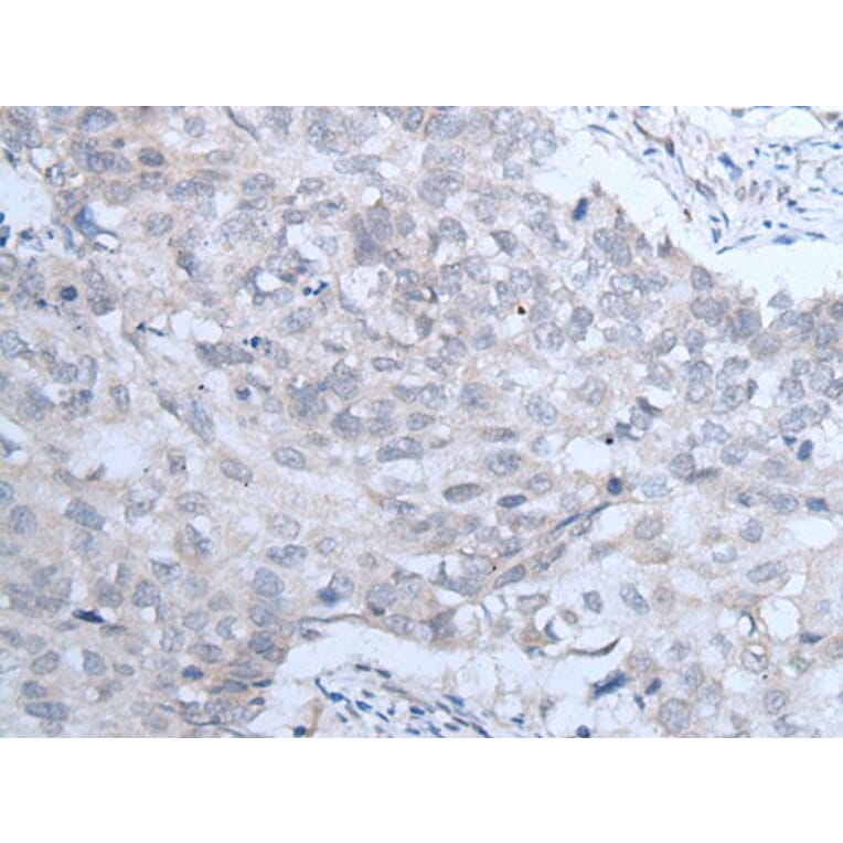
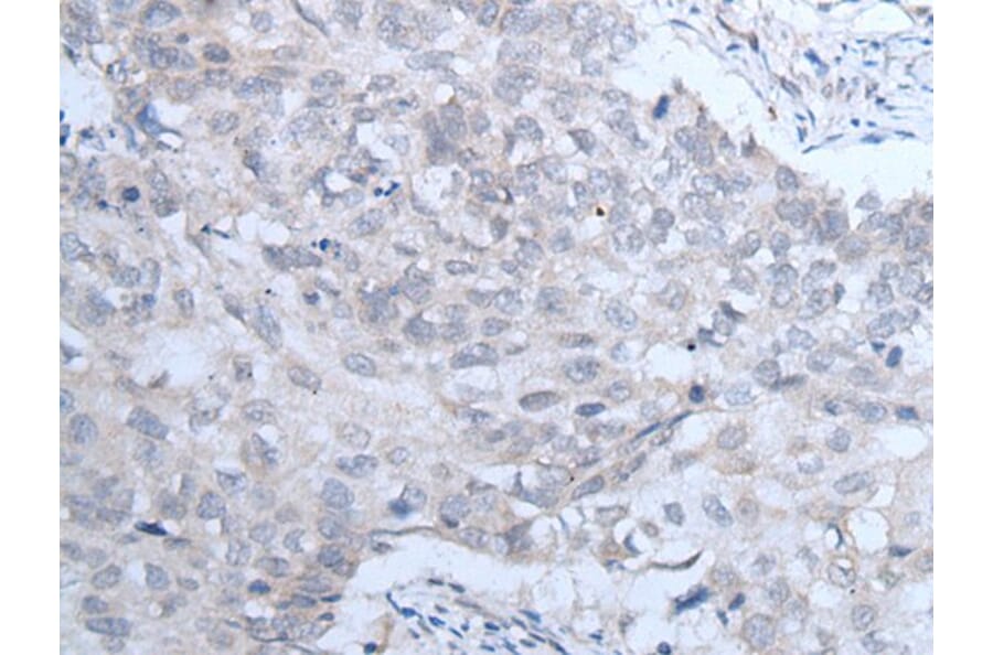
The image on the left is immunohistochemistry of paraffin-embedded Human lung cancer tissue using IGF1R Antibody at dilution 1/30, on the right is treated with synthetic peptide. (Original magnification: x200)
Publishing research using Anti-IGF1R Antibody (A46579)? Please let us know so that we can list the citation on this page.
Alternative products to Anti-IGF1R Antibody (A46579)
Recombinant human monoclonal antibody to IGF1R for use as a research grade Ganitumab biosimilar for ELISA, Flow Cytometry, Functional Studies and in vivo Research.
Recombinant human monoclonal antibody to IGF1R for use as a research grade Teprotumumab biosimilar for ELISA, Flow Cytometry, Functional Studies and in vivo Research.
Recombinant human monoclonal antibody to IGF1R for use as a research grade Cixutumumab biosimilar for ELISA, Flow Cytometry, Functional Studies and in vivo Research.
Recombinant human monoclonal antibody to IGF1R for use as a research grade Veligrotug biosimilar for ELISA, Flow Cytometry, Functional Studies and in vivo Research.
Recombinant human monoclonal antibody to IGF1R for use as a research grade AVE1642 biosimilar for ELISA, Flow Cytometry, Functional Studies and in vivo Research.
Recombinant human monoclonal antibody to IGF1R for use as a research grade Figitumumab biosimilar for ELISA, Flow Cytometry, Functional Studies and in vivo Research.
Recombinant humanized monoclonal antibody to IGF1R for use as a research grade Dalotuzumab biosimila for ELISA, Flow Cytometry, Functional Studies and in vivo Research.
Recombinant human monoclonal antibody to IGF1R for use as a research grade VRDN-002 biosimilar for ELISA, Flow Cytometry, Functional Studies and in vivo Research.
Recombinant human monoclonal antibody to IGF1R for use as a research grade Ganitumab biosimilar for ELISA, Flow Cytometry, Functional Studies and in vivo Research.
Recombinant human monoclonal antibody to IGF1R for use as a research grade Teprotumumab biosimilar for ELISA, Flow Cytometry, Functional Studies and in vivo Research.
Recombinant human monoclonal antibody to IGF1R for use as a research grade Cixutumumab biosimilar for ELISA, Flow Cytometry, Functional Studies and in vivo Research.
Recombinant human monoclonal antibody to IGF1R for use as a research grade Veligrotug biosimilar for ELISA, Flow Cytometry, Functional Studies and in vivo Research.
Recombinant human monoclonal antibody to IGF1R for use as a research grade AVE1642 biosimilar for ELISA, Flow Cytometry, Functional Studies and in vivo Research.
Recombinant human monoclonal antibody to IGF1R for use as a research grade Figitumumab biosimilar for ELISA, Flow Cytometry, Functional Studies and in vivo Research.
Recombinant humanized monoclonal antibody to IGF1R for use as a research grade Dalotuzumab biosimila for ELISA, Flow Cytometry, Functional Studies and in vivo Research.
Recombinant human monoclonal antibody to IGF1R for use as a research grade VRDN-002 biosimilar for ELISA, Flow Cytometry, Functional Studies and in vivo Research.