Rabbit polyclonal antibody to IGF1R (Phospho-Tyr1346)
Specificity
The antibody detects endogenous levels of IGF1R only when phosphorylated at tyrosine 1346.
Applications
IHC
Dilutions
Immunohistochemistry: 1:50~1:100
Reactivity
Human
Immunogen
Peptide sequence around phosphorylation site of tyrosine 1346(Q-P-Y(p)-A-H) derived from Human IGF1R .
Host
Rabbit
Clonality
Polyclonal
Conjugate
Unconjugated
Purification
Antibodies were produced by immunizing rabbits with synthetic phosphopeptide and KLH conjugates. Antibodies were purified by affinity-chromatography using epitope-specific phosphopeptide. Non-phospho specific antibodies were removed by chromatogramphy using non-phosphopeptide.
Concentration
1.0 mg/mL
Formulation
Supplied in phosphate-buffered saline (without Mg²? and Ca²?), pH 7.4, containing 150 mM NaCl, 0.02% sodium azide, and 50% glycerol.
Storage
Shipped at 4°C. Upon delivery aliquot and store at -20°C. Avoid freeze/thaw cycles.
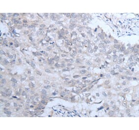
Immunohistochemical analysis of paraffin-embedded human brain tissue using IGF1R (Phospho-Tyr1346) antibody #11716 (left)or the same antibody preincubated with blocking peptide (right).
Publishing research using Anti-IGF1R (Phospho-Tyr1346) Antibody (A51432)? Please let us know so that we can list the citation on this page.
Alternative products to Anti-IGF1R (Phospho-Tyr1346) Antibody (A51432)
Recombinant human monoclonal antibody to IGF1R for use as a research grade Ganitumab biosimilar for ELISA, Flow Cytometry, Functional Studies and in vivo Research.
Recombinant human monoclonal antibody to IGF1R for use as a research grade Teprotumumab biosimilar for ELISA, Flow Cytometry, Functional Studies and in vivo Research.
Recombinant human monoclonal antibody to IGF1R for use as a research grade Cixutumumab biosimilar for ELISA, Flow Cytometry, Functional Studies and in vivo Research.
Recombinant humanized monoclonal antibody to IGF1R for use as a research grade Dalotuzumab biosimila for ELISA, Flow Cytometry, Functional Studies and in vivo Research.
Recombinant human monoclonal antibody to IGF1R for use as a research grade Veligrotug biosimilar for ELISA, Flow Cytometry, Functional Studies and in vivo Research.
Recombinant human monoclonal antibody to IGF1R for use as a research grade AVE1642 biosimilar for ELISA, Flow Cytometry, Functional Studies and in vivo Research.
Recombinant human monoclonal antibody to IGF1R for use as a research grade Figitumumab biosimilar for ELISA, Flow Cytometry, Functional Studies and in vivo Research.
Recombinant human monoclonal antibody to IGF1R for use as a research grade Robatumumab biosimilar for ELISA, Flow Cytometry, Functional Studies and in vivo Research.
Recombinant human monoclonal antibody to IGF1R for use as a research grade Ganitumab biosimilar for ELISA, Flow Cytometry, Functional Studies and in vivo Research.
Recombinant human monoclonal antibody to IGF1R for use as a research grade Teprotumumab biosimilar for ELISA, Flow Cytometry, Functional Studies and in vivo Research.
Recombinant human monoclonal antibody to IGF1R for use as a research grade Cixutumumab biosimilar for ELISA, Flow Cytometry, Functional Studies and in vivo Research.
Recombinant humanized monoclonal antibody to IGF1R for use as a research grade Dalotuzumab biosimila for ELISA, Flow Cytometry, Functional Studies and in vivo Research.
Recombinant human monoclonal antibody to IGF1R for use as a research grade Veligrotug biosimilar for ELISA, Flow Cytometry, Functional Studies and in vivo Research.
Recombinant human monoclonal antibody to IGF1R for use as a research grade AVE1642 biosimilar for ELISA, Flow Cytometry, Functional Studies and in vivo Research.
Recombinant human monoclonal antibody to IGF1R for use as a research grade Figitumumab biosimilar for ELISA, Flow Cytometry, Functional Studies and in vivo Research.
Recombinant human monoclonal antibody to IGF1R for use as a research grade Robatumumab biosimilar for ELISA, Flow Cytometry, Functional Studies and in vivo Research.