ISO 9001:2015 Certified
Live Customer Support
4.5/5 on Trustpilot
100% Quality Guarantee

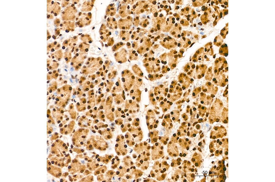
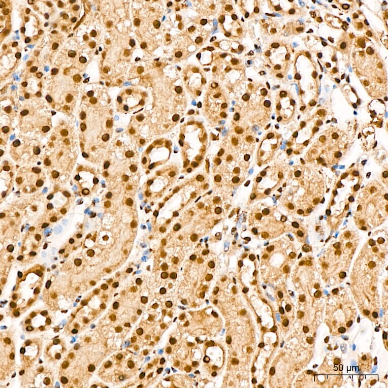
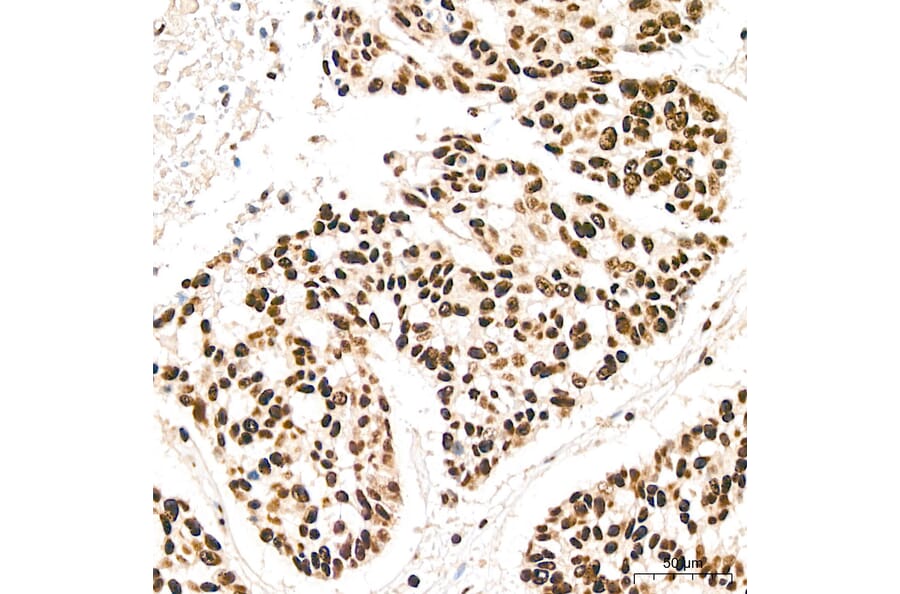
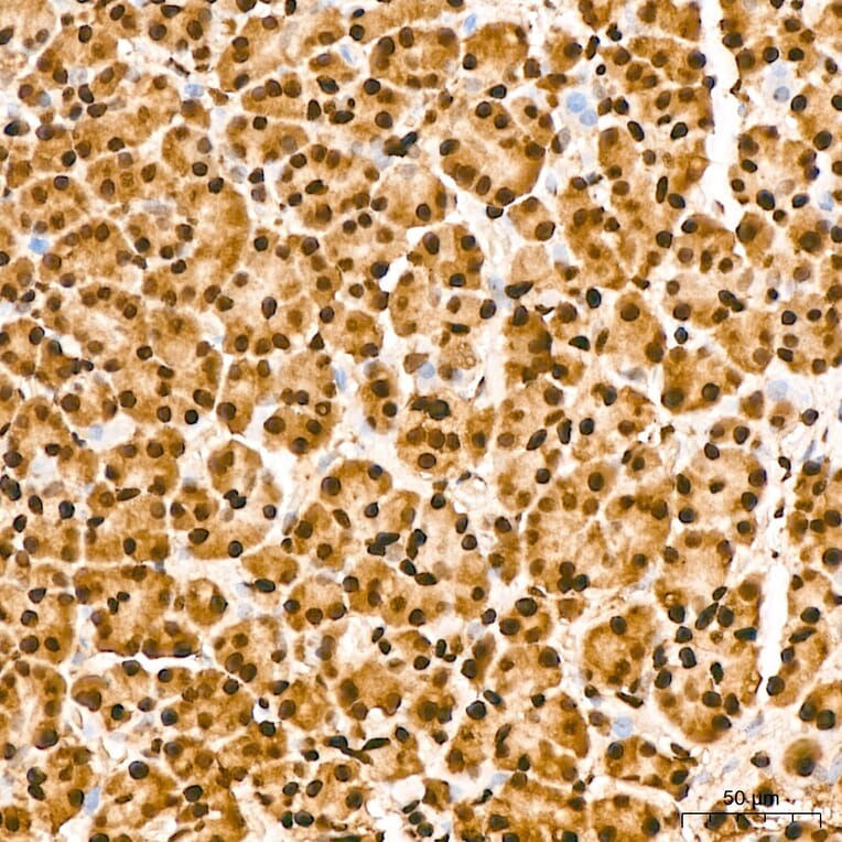
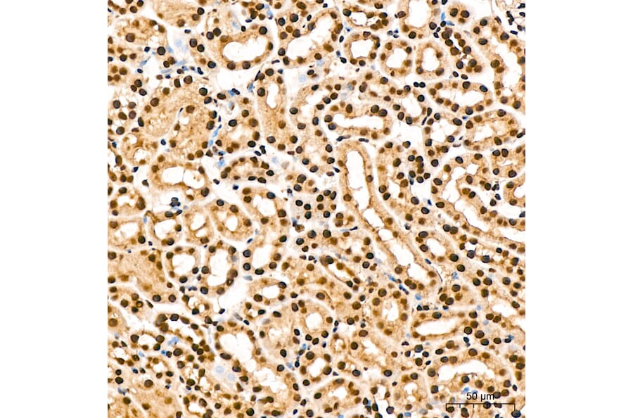
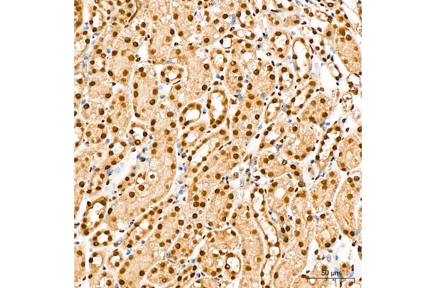
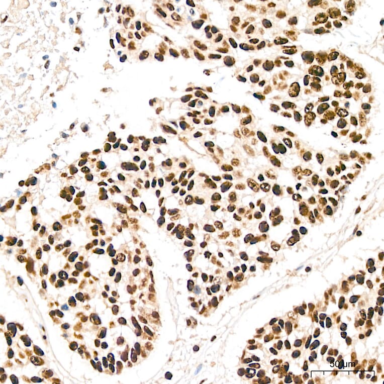
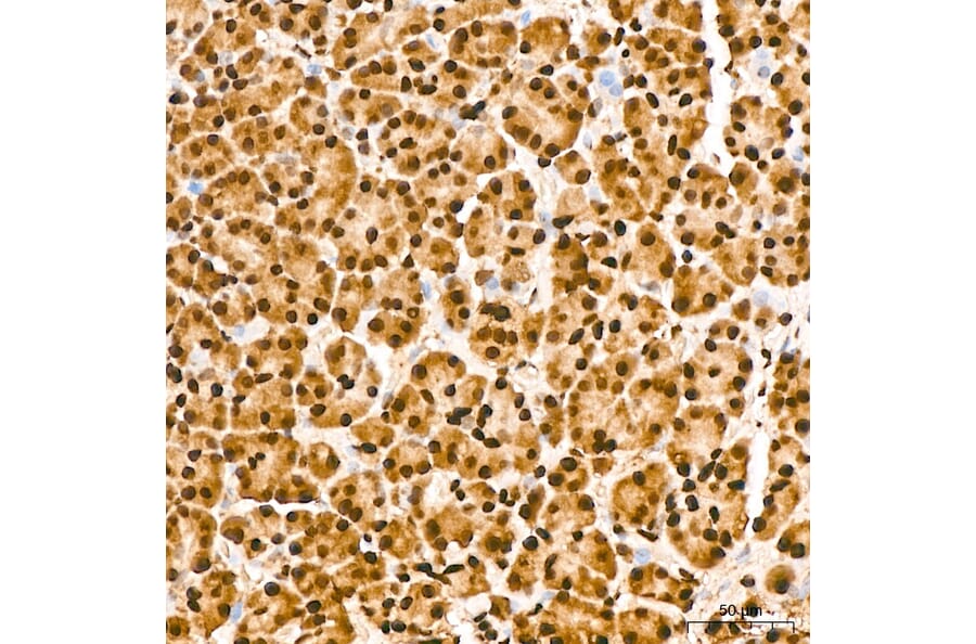
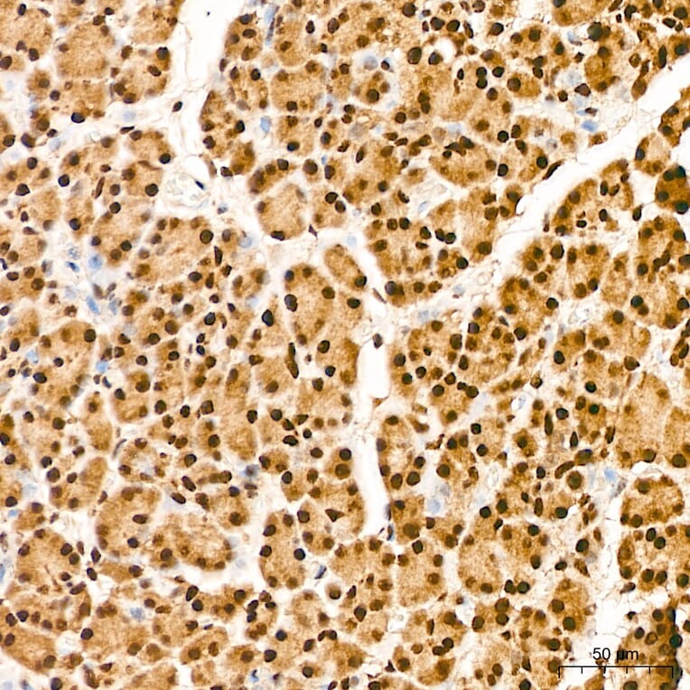
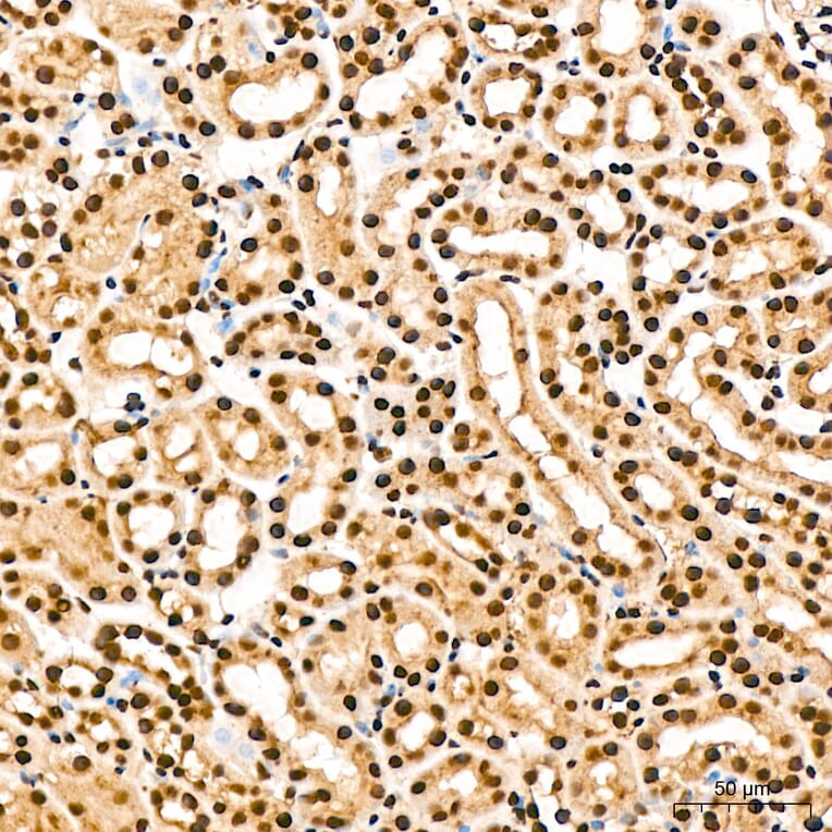
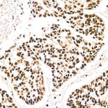
Anti-IKK alpha (phospho Ser176/180) Antibody (A11024)

This product is discontinued

Anti-IKK alpha (phospho Ser176/180) Antibody (A11024) has been discontinued and is no longer available.

View all IKK alpha Antibodies.

Name
Anti-IKK alpha (phospho Ser176/180) Antibody
Description
Rabbit polyclonal antibody to IKK alpha (phospho Ser176/180).
Applications
WB, IHC-P, ELISA
Positive Control
HeLa treated by TNF-a.
Dilutions
WB: 1:500-1:1,000, IHC-P: 1:100-1:500
Reactivity
Human, Mouse, Rat
Immunogen
A synthetic peptide phosphorylated at S176 & S180 of human IKK alpha.
Host
Rabbit
Clonality
Polyclonal
Isotype
IgG
Conjugate

Unconjugated

Purification
Affinity purification.
Concentration
Lot Specific
Molecular Weight
85 kDa
Predicted MW
84 kDa, 29 kDa, 79 kDa, 85 kDa, 86 kDa
Product Form
Liquid
Formulation
Supplied in Phosphate Buffered Saline, pH 7.3, with 50% Glycerol and 0.02% Sodium Azide.
Storage
Shipped at 4°C. Upon delivery aliquot and store at -20°C. Avoid freeze/thaw cycles.
Synonyms
CHUK, Conserved helix-loop-helix ubiquitous kinase, I-kappa-B kinase 1, I-kappa-B kinase alpha, IkappaB kinase, IkBKA, IKK-1, IKK-A, IKK-alpha, IKK1, IKKA, Inhibitor of nuclear factor kappa-B kinase subunit alpha, NFKBIKA, Nuclear factor NF-kappa-B inhibitor kinase alpha, TCF-16, TCF16, Transcription factor 16
Disclaimer
This product is for research use only. It is not intended for diagnostic or therapeutic use.

Alternative products to Anti-IKK alpha (phospho Ser176/180) Antibody (A11024)

Proteins predicted to interact with IKK alpha

Predicted protein interactions based upon String database. Revelancy score correlates with probability of interaction.
99.9% Relevancy Score
99.9% Relevancy Score
99.9% Relevancy Score
99.9% Relevancy Score
99.9% Relevancy Score
99.9% Relevancy Score
99.9% Relevancy Score
99.9% Relevancy Score
99.9% Relevancy Score