Primary Antibodies
Secondary Antibodies
Proteins & Peptides
ELISA Kits
About Us
Contact Us
Sign In/Register
0
ISO 9001:2015 Certified
Live Customer Support
4.5/5 on Trustpilot
100% Quality Guarantee
Home
Primary Antibodies
ZNFN1A4 Antibodies
Anti-IKZF4 Antibody (A46484)
Anti-IKZF4 Antibody (A46484)
Overview
Specifications
Images
Enlarge Image
Enlarge Image
$405
Rabbit polyclonal antibody to IKZF4 for IHC.
100% Guarantee
Price Match Guarantee
Product Size:
100µl
Quantity:
1
2
3
4
5
6
7
8
9
10
Add To Cart
Request a Quotation
Custom or Bulk Request
Shipping Information
Freight/Packing Charges:
$40
Dispatched from St. Louis, MO.
Lead Time: 6-9 business days.
Specifications
Name
Anti-IKZF4 Antibody
Description
Rabbit polyclonal antibody to IKZF4
Specificity
The antibody detects endogenous levels of total IKZF4 protein.
Applications
IHC
Reactivity
Human
Immunogen
Synthetic peptide of human IKZF4
Host
Rabbit
Clonality
Polyclonal
Conjugate
Unconjugated
Purification
Antigen affinity purification.
Concentration
1 mg/ml
Formulation
Rabbit IgG in pH7.4 PBS, 0.05% NaN3, 40% Glycerol.
Storage
Store at -20˚C
Synonyms
Ikaros family zinc finger protein 4, KIAA1782, Zinc finger protein Eos
Suitable Secondaries
Goat Anti-Rabbit IgG H&L Antibody (AP) (A294874)
Goat Anti-Rabbit IgG H&L Antibody (Biotin) (A294795)
Goat Anti-Rabbit IgG H&L Antibody (FITC) (A294887)
Goat Anti-Rabbit IgG H&L Antibody (HRP) (A294888)
See all Anti-Rabbit IgG Secondaries →
Disclaimer
This product is for research use only. It is not intended for diagnostic or therapeutic use.
Scientific Validation Data
Validation Data
(2)
Enlarge Image
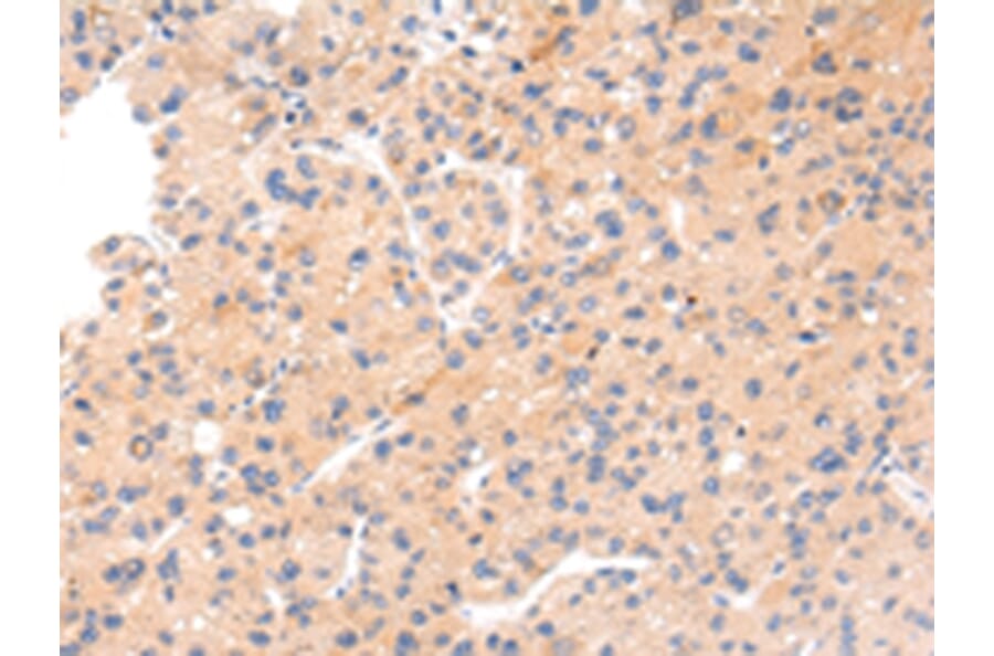
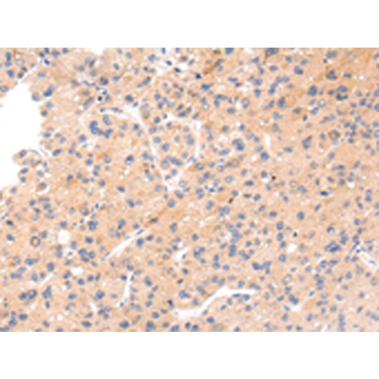
Immunohistochemistry - Anti-IKZF4 Antibody (A46484)
Immunohistochemical analysis of paraffin-embedded Human liver cancer tissue using #43211 at dilution 1/20.
Enlarge Image
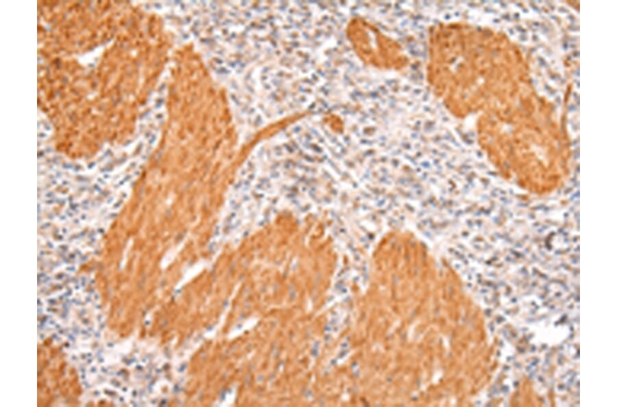
Immunohistochemistry - Anti-IKZF4 Antibody (A46484)
Immunohistochemical analysis of paraffin-embedded Human gastric cancer tissue using #43211 at dilution 1/20.
Publishing research using Anti-IKZF4 Antibody (A46484)? Please
let us know
so that we can list the citation on this page.
Alternative products to Anti-IKZF4 Antibody (A46484)
(5)
A326255
Anti-IKZF4 Antibody
Goat polyclonal antibody to IKZF4 for ELISA, WB, IF and Flow Cytometry.
A97466
Anti-IKZF4 Antibody
Rabbit polyclonal antibody to IKZF4 for WB and ELISA.
A97467
Anti-IKZF4 Antibody
Rabbit polyclonal antibody to IKZF4 for WB and ELISA.
(5)
A326255
Anti-IKZF4 Antibody
Goat polyclonal antibody to IKZF4 for ELISA, WB, IF and Flow Cytometry.
A97466
Anti-IKZF4 Antibody
Rabbit polyclonal antibody to IKZF4 for WB and ELISA.
A97467
Anti-IKZF4 Antibody
Rabbit polyclonal antibody to IKZF4 for WB and ELISA.
Proteins predicted to interact with ZNFN1A4
Predicted protein interactions based upon String database. Revelancy score correlates with probability of interaction.
FOXP3 Antibodies
92.4% Relevancy Score
IKZF3 Antibodies
85.6% Relevancy Score
Ikaros Antibodies
81% Relevancy Score
GATA3 Antibodies
64.2% Relevancy Score
RUNX1 Antibodies
61.8% Relevancy Score
CD25 Antibodies
56.8% Relevancy Score
GITR Antibodies
56.1% Relevancy Score
LRRC32 Antibodies
52.9% Relevancy Score
RPS26 Antibodies
51.5% Relevancy Score
Top