Western blot analysis of extracts of Rat lung, using Anti-IL-1 alpha Antibody (A89441) at 1:1,000 dilution. The secondary antibody was Goat Anti-Rabbit IgG H&L Antibody (HRP) at 1:10,000 dilution. Lysates/proteins were present at 25µg per lane. The blocking buffer used was 3% non-fat dry milk in TBST. Detection was with a ECL Basic Kit. Exposure time: 180s.
Western blot analysis of extracts of Recombinant Human IL-1 alpha/IL-1 alpha/IL1F1 Protein, using Anti-IL-1 alpha Antibody (A89441) at 1:1,000 dilution. The secondary antibody was Goat Anti-Rabbit IgG H&L Antibody (HRP) at 1:10,000 dilution. Lysates/proteins were present at 25µg per lane. The blocking buffer used was 3% non-fat dry milk in TBST. Detection was with a ECL Basic Kit. Exposure time: 180s.
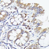
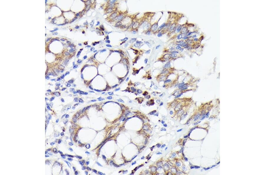
Immunohistochemistry analysis of paraffin-embedded human colon carcinoma tissue using Anti-IL-1 alpha Antibody (A89441) at a dilution of 1:100 (40x lens). Perform high pressure antigen retrieval with 10 mM citrate buffer pH 6.0 before commencing with IHC staining protocol.
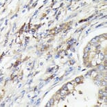
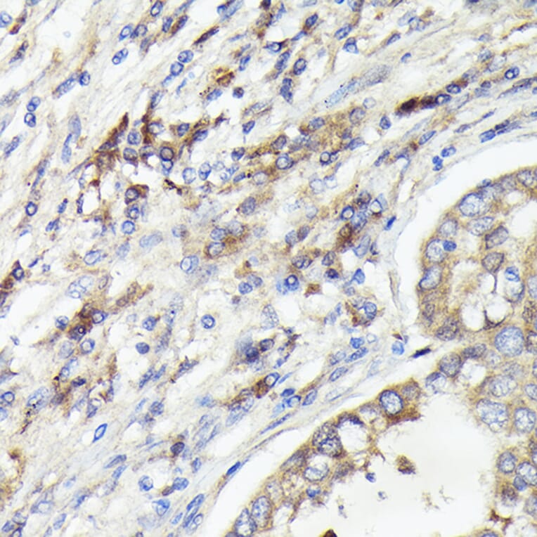
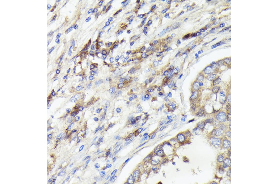
Immunohistochemistry analysis of paraffin-embedded human lung cancer using Anti-IL-1 alpha Antibody (A89441) at a dilution of 1:100 (40x lens). Perform high pressure antigen retrieval with 10 mM citrate buffer pH 6.0 before commencing with IHC staining protocol.
Publishing research using Anti-IL-1 alpha Antibody (A89441)? Please let us know so that we can list the citation on this page.
Alternative products to Anti-IL-1 alpha Antibody (A89441)
Recombinant humanized monoclonal antibody to IL-1 alpha for use as a research grade Bermekimab biosi for ELISA, Flow Cytometry, Functional Studies and in vivo Research.
Recombinant human monoclonal antibody to IL-1 alpha for use as a research grade Vilamakitug biosimil for ELISA, Flow Cytometry, Functional Studies and in vivo Research.
Recombinant human monoclonal antibody to IL-1 alpha for use as a research grade lunlekitug biosimila for ELISA, Flow Cytometry, Functional Studies and in vivo Research.
Recombinant human monoclonal antibody to IL-1 alpha for use as a research grade XB2001 biosimilar for ELISA, Flow Cytometry, Functional Studies and in vivo Research.
Recombinant humanized monoclonal antibody to IL-1 alpha for use as a research grade Bermekimab biosi for ELISA, Flow Cytometry, Functional Studies and in vivo Research.
Recombinant human monoclonal antibody to IL-1 alpha for use as a research grade Vilamakitug biosimil for ELISA, Flow Cytometry, Functional Studies and in vivo Research.
Recombinant human monoclonal antibody to IL-1 alpha for use as a research grade lunlekitug biosimila for ELISA, Flow Cytometry, Functional Studies and in vivo Research.
Recombinant human monoclonal antibody to IL-1 alpha for use as a research grade XB2001 biosimilar for ELISA, Flow Cytometry, Functional Studies and in vivo Research.