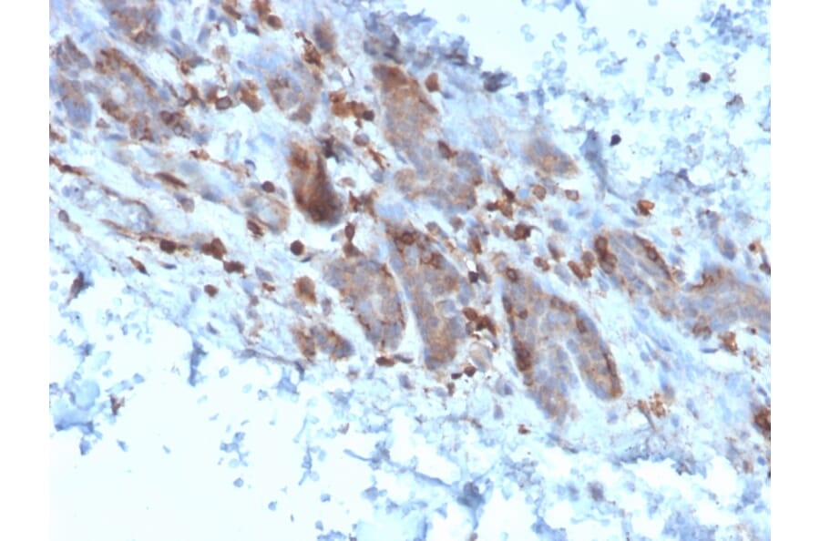
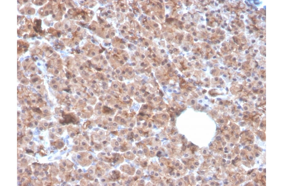
Anti-IL-1 alpha Antibody [IL1A/3982] - BSA and Azide free
Description
Mouse monoclonal [IL1A/3982] antibody to IL-1 alpha.
Specificity
Two forms of interleukin-1, designated IL-1. IL-1 has also been implicated in several pathological conditions including rheumatoid arthritis, inflammatory bowel disease and atherosclerosis.
Applications
IHC-P
Dilutions
IHC-P: 1-2 µg/ml
Reactivity
Human
Immunogen
Recombinant fragment, around amino acids 113-271, of human IL1A protein. The exact sequence is proprietary.
Host
Mouse
Clonality
Monoclonal
Clone ID
IL1A/3982
Isotype
IgG2b
Light Chains
kappa
Conjugate
Unconjugated
Purification
Protein A/G chromatography.
Concentration
1 mg/ml
Molecular Weight
33 kDa (proprotein) / 17 kDa (mature)
Product Form
Liquid
Formulation
Supplied in 10mM Phosphate Buffered Saline; without Sodium Azide and carrier free.
Storage
Shipped at 4°C. Upon delivery aliquot and store at -20°C. Avoid freeze / thaw cycles.
Anti-IL-1 alpha Antibody [IL1A/3982] - BSA and Azide free (A252193)
Analysis of protein array containing more than 19,000 full-length human proteins using Anti-IL-1 alpha Antibody [IL1A/3982]. Z-Score and S- Score: The Z-score represents the strength of a signal that a monoclonal antibody (MAb) (in combination with a fluorescently-tagged anti-IgG secondary antibody) produces when binding to a particular protein on the HuProtTM array. Z-scores are described in units of standard deviations (SD's) above the mean value of all signals generated on that array. If targets on HuProtTM are arranged in descending order of the Z-score, the S-score is the difference (also in units of SD's) between the Z-score. S-score therefore represents the relative target specificity of a MAb to its intended target; a MAb is considered to be specific to its intended target, if the MAb has an S-score of at least 2.5. For example, if a MAb binds to protein X with a Z-score of 43 and to protein Y with a Z-score of 14, then the S-score for the binding of that MAb to protein X is equal to 29.
Publishing research using Anti-IL-1 alpha Antibody [IL1A/3982] - BSA and Azide free (A252193)? Please let us know so that we can list the citation on this page.
Alternative products to Anti-IL-1 alpha Antibody [IL1A/3982] - BSA and Azide free (A252193)
Recombinant humanized monoclonal antibody to IL-1 alpha for use as a research grade Bermekimab biosi for ELISA, Flow Cytometry, Functional Studies and in vivo Research.
Recombinant human monoclonal antibody to IL-1 alpha for use as a research grade Vilamakitug biosimil for ELISA, Flow Cytometry, Functional Studies and in vivo Research.
Recombinant human monoclonal antibody to IL-1 alpha for use as a research grade lunlekitug biosimila for ELISA, Flow Cytometry, Functional Studies and in vivo Research.
Recombinant human monoclonal antibody to IL-1 alpha for use as a research grade XB2001 biosimilar for ELISA, Flow Cytometry, Functional Studies and in vivo Research.
Recombinant humanized monoclonal antibody to IL-1 alpha for use as a research grade Bermekimab biosi for ELISA, Flow Cytometry, Functional Studies and in vivo Research.
Recombinant human monoclonal antibody to IL-1 alpha for use as a research grade Vilamakitug biosimil for ELISA, Flow Cytometry, Functional Studies and in vivo Research.
Recombinant human monoclonal antibody to IL-1 alpha for use as a research grade lunlekitug biosimila for ELISA, Flow Cytometry, Functional Studies and in vivo Research.
Recombinant human monoclonal antibody to IL-1 alpha for use as a research grade XB2001 biosimilar for ELISA, Flow Cytometry, Functional Studies and in vivo Research.