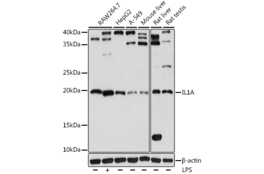
Western blot analysis of extracts of various cell lines, using Anti-IL-1 alpha Antibody (A9003) at 1:1,000 dilution. Raw264. 7 cells were treated by LPS (1 µg/ml) at 37°C for 8 hours. The secondary antibody was Goat Anti-Rabbit IgG H&L Antibody (HRP) at 1:10,000 dilution. Lysates/proteins were present at 25µg per lane. The blocking buffer used was 3% non-fat dry milk in TBST. Detection was with a ECL Basic Kit. Exposure time: 10s.
Publishing research using Anti-IL-1 alpha Antibody (A9003)? Please let us know so that we can list the citation on this page.
Alternative products to Anti-IL-1 alpha Antibody (A9003)
Recombinant humanized monoclonal antibody to IL-1 alpha for use as a research grade Bermekimab biosi for ELISA, Flow Cytometry, Functional Studies and in vivo Research.
Recombinant human monoclonal antibody to IL-1 alpha for use as a research grade Vilamakitug biosimil for ELISA, Flow Cytometry, Functional Studies and in vivo Research.
Recombinant human monoclonal antibody to IL-1 alpha for use as a research grade lunlekitug biosimila for ELISA, Flow Cytometry, Functional Studies and in vivo Research.
Recombinant human monoclonal antibody to IL-1 alpha for use as a research grade XB2001 biosimilar for ELISA, Flow Cytometry, Functional Studies and in vivo Research.
Recombinant humanized monoclonal antibody to IL-1 alpha for use as a research grade Bermekimab biosi for ELISA, Flow Cytometry, Functional Studies and in vivo Research.
Recombinant human monoclonal antibody to IL-1 alpha for use as a research grade Vilamakitug biosimil for ELISA, Flow Cytometry, Functional Studies and in vivo Research.
Recombinant human monoclonal antibody to IL-1 alpha for use as a research grade lunlekitug biosimila for ELISA, Flow Cytometry, Functional Studies and in vivo Research.
Recombinant human monoclonal antibody to IL-1 alpha for use as a research grade XB2001 biosimilar for ELISA, Flow Cytometry, Functional Studies and in vivo Research.