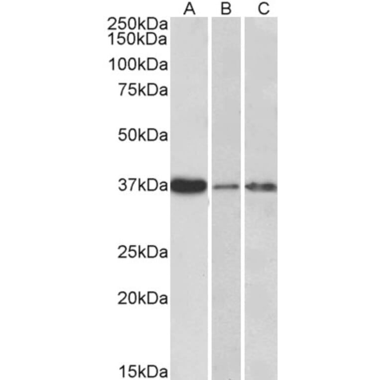
IL-12B expression in Human Liver (A), Skin (B) and Tonsil (C) lysates analyzed by western blot. Cells were lysed in RIPA buffer and 35µg protein was run per lane. Primary antibody incubation was performed with Anti-IL-12B Antibody (A84359) at 0.3µg/ml and detected by chemiluminescence.
Publishing research using Anti-IL-12B Antibody (A84359)? Please let us know so that we can list the citation on this page.
Alternative products to Anti-IL-12B Antibody (A84359)
Recombinant human monoclonal antibody to IL12B for use as a research grade Ustekinumab biosimilar for ELISA, Flow Cytometry, Functional Studies and in vivo Research.
Recombinant humanized monoclonal antibody to IL12B for use as a research grade Ebdarokimab biosimila for ELISA, Flow Cytometry, Functional Studies and in vivo Research.
Recombinant human monoclonal antibody to IL12B for use as a research grade Briakinumab biosimilar for ELISA, Flow Cytometry, Functional Studies and in vivo Research.
Recombinant human monoclonal antibody to IL12B for use as a research grade ABT-147 biosimilar for ELISA, Flow Cytometry, Functional Studies and in vivo Research.
Recombinant human monoclonal antibody to IL12B for use as a research grade DF 6002 biosimilar for ELISA, Flow Cytometry, Functional Studies and in vivo Research.
Recombinant human monoclonal antibody to IL12B for use as a research grade FM202 biosimilar for ELISA, Flow Cytometry, Functional Studies and in vivo Research.
Recombinant human monoclonal antibody to IL12B for use as a research grade HAIL-12 biosimilar for ELISA, Flow Cytometry, Functional Studies and in vivo Research.
Recombinant human monoclonal antibody to IL12B for use as a research grade XmAb 662 biosimilar for ELISA, Flow Cytometry, Functional Studies and in vivo Research.
Recombinant human monoclonal antibody to IL12B for use as a research grade CEP-37248 biosimilar for ELISA, Flow Cytometry, Functional Studies and in vivo Research.
Recombinant human monoclonal antibody to IL12B for use as a research grade Cephalon 6F6 biosimilar for ELISA, Flow Cytometry, Functional Studies and in vivo Research.
Recombinant human monoclonal antibody to IL12B for use as a research grade Ustekinumab biosimilar for ELISA, Flow Cytometry, Functional Studies and in vivo Research.
Recombinant humanized monoclonal antibody to IL12B for use as a research grade Ebdarokimab biosimila for ELISA, Flow Cytometry, Functional Studies and in vivo Research.
Recombinant human monoclonal antibody to IL12B for use as a research grade Briakinumab biosimilar for ELISA, Flow Cytometry, Functional Studies and in vivo Research.
Recombinant human monoclonal antibody to IL12B for use as a research grade ABT-147 biosimilar for ELISA, Flow Cytometry, Functional Studies and in vivo Research.
Recombinant human monoclonal antibody to IL12B for use as a research grade DF 6002 biosimilar for ELISA, Flow Cytometry, Functional Studies and in vivo Research.
Recombinant human monoclonal antibody to IL12B for use as a research grade FM202 biosimilar for ELISA, Flow Cytometry, Functional Studies and in vivo Research.
Recombinant human monoclonal antibody to IL12B for use as a research grade HAIL-12 biosimilar for ELISA, Flow Cytometry, Functional Studies and in vivo Research.
Recombinant human monoclonal antibody to IL12B for use as a research grade XmAb 662 biosimilar for ELISA, Flow Cytometry, Functional Studies and in vivo Research.
Recombinant human monoclonal antibody to IL12B for use as a research grade CEP-37248 biosimilar for ELISA, Flow Cytometry, Functional Studies and in vivo Research.
Recombinant human monoclonal antibody to IL12B for use as a research grade Cephalon 6F6 biosimilar for ELISA, Flow Cytometry, Functional Studies and in vivo Research.