Primary Antibodies
Secondary Antibodies
Proteins & Peptides
ELISA Kits
About Us
Contact Us
Sign In/Register
0
ISO 9001:2015 Certified
Live Customer Support
4.5/5 on Trustpilot
100% Quality Guarantee
Home
Primary Antibodies
IL-12 p40 Antibodies
Anti-Interleukin-12 subunit beta Antibody (A36265)
Anti-Interleukin-12 subunit beta Antibody (A36265)
Overview
Specifications
Images
Enlarge Image
Enlarge Image
Enlarge Image
$430
Rabbit polyclonal antibody to Interleukin-12 subunit beta for WB and IHC.
100% Guarantee
Price Match Guarantee
Product Size:
100µg
Quantity:
1
2
3
4
5
6
7
8
9
10
Add To Cart
Request a Quotation
Custom or Bulk Request
Shipping Information
Freight/Packing Charges:
$40
Dispatched from St. Louis, MO.
Lead Time: 6-9 business days.
Tags:
Dendritic Cell Marker
Mast Cell Marker
Regulatory T Cell Marker
T Helper Cell Marker
Specifications
Name
Anti-Interleukin-12 subunit beta Antibody
Description
Rabbit polyclonal antibody to Interleukin-12 subunit beta
Specificity
The antibody detects endogenous level of total Interleukin-12 subunit beta polyclonal antibody.
Applications
WB
,
IHC
Reactivity
Human
Immunogen
Recombinant human Interleukin-12 subunit beta protein
Host
Rabbit
Clonality
Polyclonal
Conjugate
Unconjugated
Purification
Caprylic Acid Ammonium Sulfate Precipitation purified
Concentration
1.0mg / mL
Formulation
Preservative: 0.03% Proclin 300 Constituents: 50% Glycerol, 0.01M PBS, PH 7.4
Storage
Store at -20˚C
Synonyms
CLMF p40, Cytotoxic lymphocyte maturation factor 40 kDa subunit, IL-12 subunit p40, IL-12B, IL12B, NK cell stimulatory factor chain 2, NKSF2
Suitable Secondaries
Goat Anti-Rabbit IgG H&L Antibody (AP) (A294874)
Goat Anti-Rabbit IgG H&L Antibody (Biotin) (A294795)
Goat Anti-Rabbit IgG H&L Antibody (FITC) (A294887)
Goat Anti-Rabbit IgG H&L Antibody (HRP) (A294888)
See all Anti-Rabbit IgG Secondaries →
Disclaimer
This product is for research use only. It is not intended for diagnostic or therapeutic use.
Scientific Validation Data
Validation Data
(3)
Enlarge Image
Anti-Interleukin-12 subunit beta Antibody (A36265)
All lanes: Interleukin-12 subunit beta antibody at 2ug/ml. Lane 1: EC109 whole cell lysate. Lane 2: 293T whole cell lysate. Secondary Goat polyclonal to Rabbit IgG at 1/15000 dilution Predicted band size: 72 kDa. Observed band size: 72 kDa
Enlarge Image
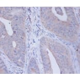
Immunohistochemistry - Anti-Interleukin-12 subunit beta Antibody (A36265)
Immunohistochemical analysis of paraffin-embedded human placenta using #42461 at dilution of 1: 100.
Enlarge Image
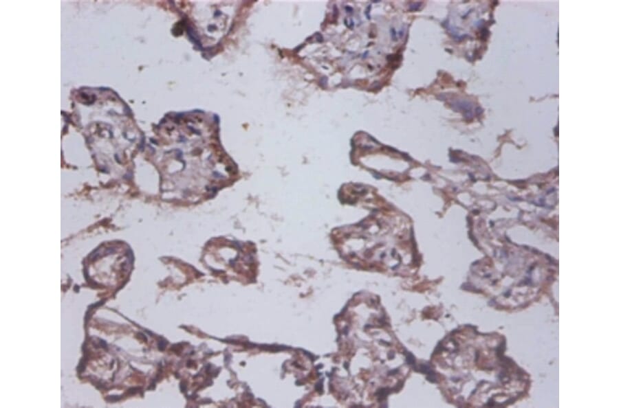
Immunohistochemistry - Anti-Interleukin-12 subunit beta Antibody (A36265)
Immunohistochemical analysis of paraffin-embedded human colorectal carcinoma using #42461 at dilution of 1: 100.
Publishing research using Anti-Interleukin-12 subunit beta Antibody (A36265)? Please
let us know
so that we can list the citation on this page.
Alternative products to Anti-Interleukin-12 subunit beta Antibody (A36265)
(3)
A338977
Ustekinumab Biosimilar - Anti-IL12B Antibody - BSA and Azide free
Human monoclonal antibody to IL12B Research grade Ustekinumab biosimilar for ELISA, Flow Cytometry, Functional Studies and in vivo Research.
(3)
A323405
Ebdarokimab Biosimilar - Anti-IL-12B Antibody - Low endotoxin, Azide free
Recombinant human monoclonal antibody to IL-12B for ELISA, FACS, Functional Assay and In Vivo.
(2)
A338422
Briakinumab Biosimilar - Anti-IL12B Antibody - BSA and Azide free
Human monoclonal antibody to IL12B Research grade Briakinumab biosimilar for ELISA, Flow Cytometry, Functional Studies and in vivo Research.
(2)
A339088
Ebdarokimab Biosimilar - Anti-IL12B Antibody - BSA and Azide free
Humanized monoclonal antibody to IL12B Research grade Ebdarokimab biosimilar for ELISA, Flow Cytometry, Functional Studies and in vivo Research.
A340409
Anti-IL12B Antibody [CEP-37248] Biosimilar - BSA and Azide free
Human monoclonal antibody to IL12B Research grade CEP-37248 biosimilar for ELISA, Flow Cytometry, Functional Studies and in vivo Research.
A341293
Anti-IL12B Antibody [C17.8]
Rat monoclonal antibody to IL12B for Blocking, IP, ELISA, Flow Cytometry and WB.
A340410
Anti-IL12B Antibody [Cephalon 6F6] Biosimilar - BSA and Azide free
Human monoclonal antibody to IL12B Research grade Cephalon 6F6 biosimilar for ELISA, Flow Cytometry, Functional Studies and in vivo Research.
A340411
Anti-IL12B Antibody [ART123] Biosimilar - BSA and Azide free
Human monoclonal antibody to IL12B Research grade ART123 biosimilar for ELISA, Flow Cytometry, Functional Studies and in vivo Research.
A340412
Anti-IL12B Antibody [BOW9] Biosimilar - BSA and Azide free
Human monoclonal antibody to IL12B Research grade BOW090 biosimilar for ELISA, Flow Cytometry, Functional Studies and in vivo Research.
A340413
Anti-IL12B Antibody [NeuLara] Biosimilar - BSA and Azide free
Human monoclonal antibody to IL12B Research grade NeuLara biosimilar for ELISA, Flow Cytometry, Functional Studies and in vivo Research.
A340414
Anti-IL12B Antibody [ABT-147] Biosimilar - BSA and Azide free
Human monoclonal antibody to IL12B Research grade ABT-147 biosimilar for ELISA, Flow Cytometry, Functional Studies and in vivo Research.
A340415
Anti-IL12B Antibody [DF 62] Biosimilar - BSA and Azide free
Human monoclonal antibody to IL12B Research grade DF 6002 biosimilar for ELISA, Flow Cytometry, Functional Studies and in vivo Research.
(3)
A338977
Ustekinumab Biosimilar - Anti-IL12B Antibody - BSA and Azide free
Human monoclonal antibody to IL12B Research grade Ustekinumab biosimilar for ELISA, Flow Cytometry, Functional Studies and in vivo Research.
(3)
A323405
Ebdarokimab Biosimilar - Anti-IL-12B Antibody - Low endotoxin, Azide free
Recombinant human monoclonal antibody to IL-12B for ELISA, FACS, Functional Assay and In Vivo.
(2)
A338422
Briakinumab Biosimilar - Anti-IL12B Antibody - BSA and Azide free
Human monoclonal antibody to IL12B Research grade Briakinumab biosimilar for ELISA, Flow Cytometry, Functional Studies and in vivo Research.
(2)
A339088
Ebdarokimab Biosimilar - Anti-IL12B Antibody - BSA and Azide free
Humanized monoclonal antibody to IL12B Research grade Ebdarokimab biosimilar for ELISA, Flow Cytometry, Functional Studies and in vivo Research.
A340409
Anti-IL12B Antibody [CEP-37248] Biosimilar - BSA and Azide free
Human monoclonal antibody to IL12B Research grade CEP-37248 biosimilar for ELISA, Flow Cytometry, Functional Studies and in vivo Research.
A341293
Anti-IL12B Antibody [C17.8]
Rat monoclonal antibody to IL12B for Blocking, IP, ELISA, Flow Cytometry and WB.
A340410
Anti-IL12B Antibody [Cephalon 6F6] Biosimilar - BSA and Azide free
Human monoclonal antibody to IL12B Research grade Cephalon 6F6 biosimilar for ELISA, Flow Cytometry, Functional Studies and in vivo Research.
A340411
Anti-IL12B Antibody [ART123] Biosimilar - BSA and Azide free
Human monoclonal antibody to IL12B Research grade ART123 biosimilar for ELISA, Flow Cytometry, Functional Studies and in vivo Research.
A340412
Anti-IL12B Antibody [BOW9] Biosimilar - BSA and Azide free
Human monoclonal antibody to IL12B Research grade BOW090 biosimilar for ELISA, Flow Cytometry, Functional Studies and in vivo Research.
A340413
Anti-IL12B Antibody [NeuLara] Biosimilar - BSA and Azide free
Human monoclonal antibody to IL12B Research grade NeuLara biosimilar for ELISA, Flow Cytometry, Functional Studies and in vivo Research.
A340414
Anti-IL12B Antibody [ABT-147] Biosimilar - BSA and Azide free
Human monoclonal antibody to IL12B Research grade ABT-147 biosimilar for ELISA, Flow Cytometry, Functional Studies and in vivo Research.
A340415
Anti-IL12B Antibody [DF 62] Biosimilar - BSA and Azide free
Human monoclonal antibody to IL12B Research grade DF 6002 biosimilar for ELISA, Flow Cytometry, Functional Studies and in vivo Research.
See all Interleukin-12 subunit beta Antibodies
Proteins predicted to interact with IL-12 p40
Predicted protein interactions based upon String database. Revelancy score correlates with probability of interaction.
IL-12 p35 Antibodies
99.9% Relevancy Score
IL-23 p19 Antibodies
99.9% Relevancy Score
IL-12RB1 Antibodies
99.8% Relevancy Score
IL-23R Antibodies
98.6% Relevancy Score
IL12RB2 Antibodies
95.8% Relevancy Score
IFNGR1 Antibodies
86.7% Relevancy Score
CD25 Antibodies
82.8% Relevancy Score
TYK2 Antibodies
76.9% Relevancy Score
P4HB Antibodies
76.7% Relevancy Score
Top