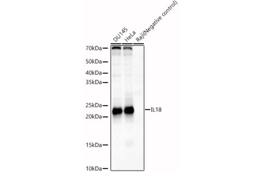
Western blot analysis of various lysates, using Anti-IL-18 Antibody (A8859) at 1:1,000 dilution. The secondary antibody was Goat Anti-Rabbit IgG H&L Antibody (HRP) at 1:10,000 dilution. Lysates/proteins were present at 25µg per lane. The blocking buffer used was 3% non-fat dry milk in TBST. Detection was with a ECL Basic Kit. Exposure time: 20s.
Immunoprecipitation analysis of 200µg extracts of HeLa cells using 3µg of Anti-IL-18 Antibody (A8859). This Western blot was performed on the immunoprecipitate using Anti-IL-18 Antibody (A8859) at a dilution of 1:1000.
Publishing research using Anti-IL-18 Antibody (A8859)? Please let us know so that we can list the citation on this page.
Alternative products to Anti-IL-18 Antibody (A8859)
Recombinant human monoclonal antibody to IL-18 for use as a research grade GSK 1070806 biosimilar for ELISA, Flow Cytometry, Functional Studies and in vivo Research.
Recombinant human monoclonal antibody to IL-18 for use as a research grade aletekitug biosimilar for ELISA, Flow Cytometry, Functional Studies and in vivo Research.
Recombinant human monoclonal antibody to IL-18 for use as a research grade Camoteskimab biosimilar for ELISA, Flow Cytometry, Functional Studies and in vivo Research.
Recombinant human monoclonal antibody to IL-18 for use as a research grade Anti-Human IL-18 [ABT-325 for ELISA, Flow Cytometry, Functional Studies and in vivo Research.
Recombinant human monoclonal antibody to IL-18 for use as a research grade AVTX-007 biosimilar for ELISA, Flow Cytometry, Functional Studies and in vivo Research.
Recombinant human monoclonal antibody to IL-18 for use as a research grade GSK 1070806 biosimilar for ELISA, Flow Cytometry, Functional Studies and in vivo Research.
Recombinant human monoclonal antibody to IL-18 for use as a research grade aletekitug biosimilar for ELISA, Flow Cytometry, Functional Studies and in vivo Research.
Recombinant human monoclonal antibody to IL-18 for use as a research grade Camoteskimab biosimilar for ELISA, Flow Cytometry, Functional Studies and in vivo Research.
Recombinant human monoclonal antibody to IL-18 for use as a research grade Anti-Human IL-18 [ABT-325 for ELISA, Flow Cytometry, Functional Studies and in vivo Research.
Recombinant human monoclonal antibody to IL-18 for use as a research grade AVTX-007 biosimilar for ELISA, Flow Cytometry, Functional Studies and in vivo Research.