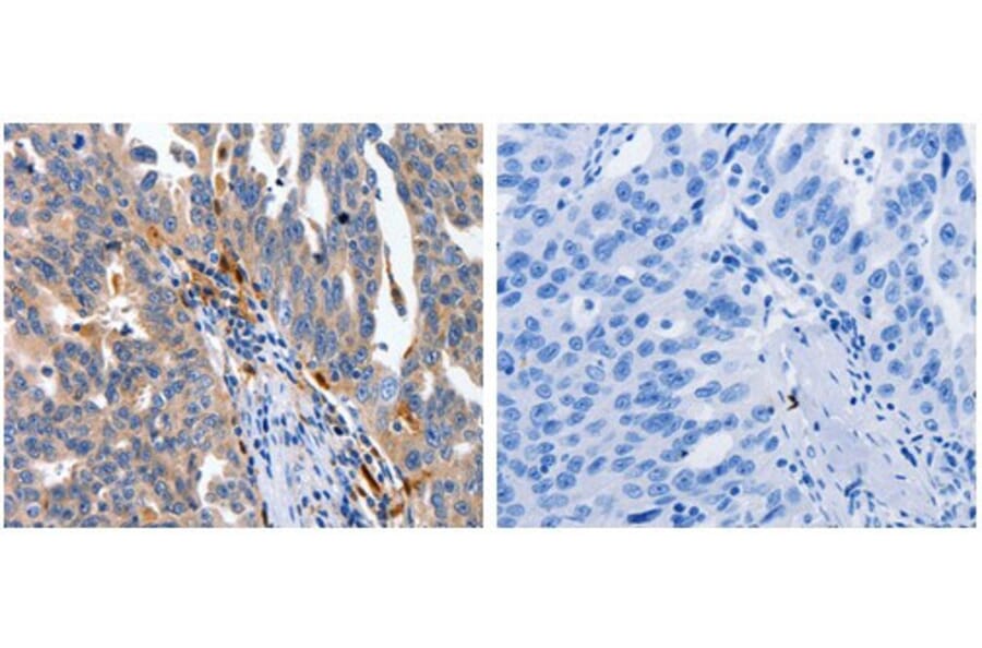
The image on the left is immunohistochemistry of paraffin-embedded Human ovarian cancer tissue using 31089 (IL18 Antibody) at dilution 1/100, on the right is treated with the fusion protein.
Publishing research using Anti-IL18 Antibody (A48472)? Please let us know so that we can list the citation on this page.
Alternative products to Anti-IL18 Antibody (A48472)
Recombinant human monoclonal antibody to IL-18 for use as a research grade GSK 1070806 biosimilar for ELISA, Flow Cytometry, Functional Studies and in vivo Research.
Recombinant human monoclonal antibody to IL-18 for use as a research grade aletekitug biosimilar for ELISA, Flow Cytometry, Functional Studies and in vivo Research.
Recombinant human monoclonal antibody to IL-18 for use as a research grade Camoteskimab biosimilar for ELISA, Flow Cytometry, Functional Studies and in vivo Research.
Recombinant human monoclonal antibody to IL-18 for use as a research grade Anti-Human IL-18 [ABT-325 for ELISA, Flow Cytometry, Functional Studies and in vivo Research.
Recombinant human monoclonal antibody to IL-18 for use as a research grade AVTX-007 biosimilar for ELISA, Flow Cytometry, Functional Studies and in vivo Research.
Recombinant human monoclonal antibody to IL-18 for use as a research grade GSK 1070806 biosimilar for ELISA, Flow Cytometry, Functional Studies and in vivo Research.
Recombinant human monoclonal antibody to IL-18 for use as a research grade aletekitug biosimilar for ELISA, Flow Cytometry, Functional Studies and in vivo Research.
Recombinant human monoclonal antibody to IL-18 for use as a research grade Camoteskimab biosimilar for ELISA, Flow Cytometry, Functional Studies and in vivo Research.
Recombinant human monoclonal antibody to IL-18 for use as a research grade Anti-Human IL-18 [ABT-325 for ELISA, Flow Cytometry, Functional Studies and in vivo Research.
Recombinant human monoclonal antibody to IL-18 for use as a research grade AVTX-007 biosimilar for ELISA, Flow Cytometry, Functional Studies and in vivo Research.