Western Blot - Anti-IL-2 Antibody [ARC5130-01] (A310010)
Western blot analysis of extracts of 293T cells, using Anti-IL-2 Antibody (A310010) at 1:3,000 dilution. The secondary antibody was Goat Anti-Rabbit IgG H&L Antibody (HRP) at 1:10,000 dilution. Lysates/proteins were present at 25µg per lane. The blocking buffer used was 3% non-fat dry milk in TBST. Detection was with a ECL Basic Kit. Exposure time: 10s.
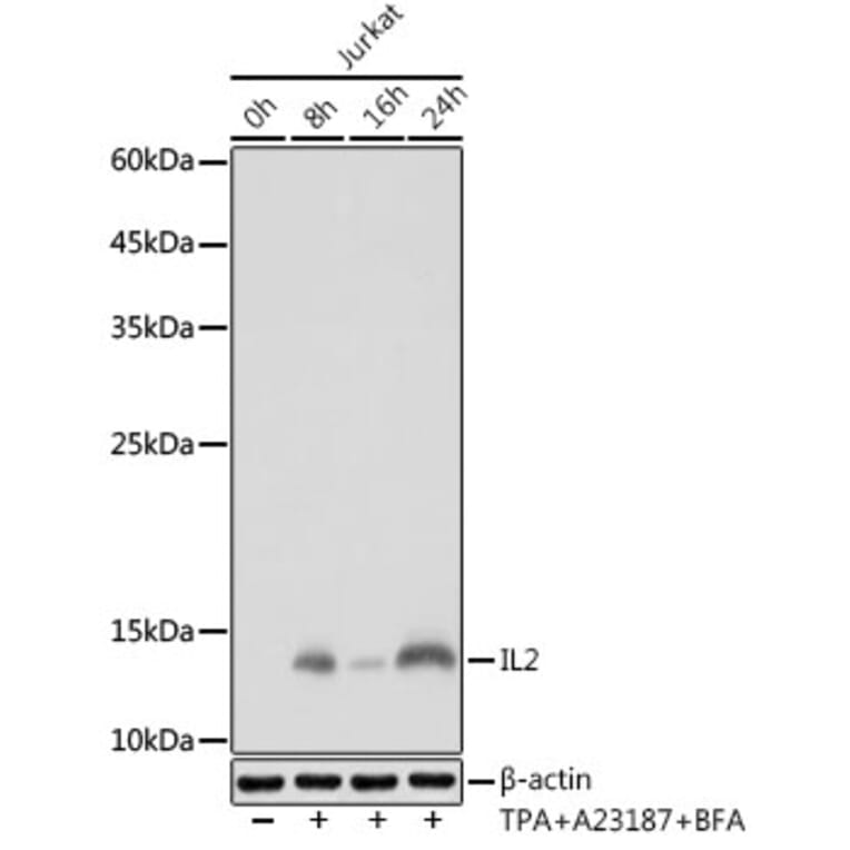
Western Blot - Anti-IL-2 Antibody [ARC5130-01] (A310010)
Western blot analysis of extracts of Jurkat cells, using Anti-IL-2 Antibody (A310010) at 1:1,000 dilution. Jurkat cells were treated by TPA (40 nM), A23187 (2µM) and Brefeldin A (300 ng/ml) for 0-24hours. The secondary antibody was Goat Anti-Rabbit IgG H&L Antibody (HRP) at 1:10,000 dilution. Lysates/proteins were present at 25µg per lane. The blocking buffer used was 3% non-fat dry milk in TBST. Detection was with a ECL Basic Kit. Exposure time: 10s.
Recombinant human monoclonal antibody to IL-2 for use as a research grade balekafusp alfa biosimilar for ELISA, Flow Cytometry, Functional Studies and in vivo Research.
Recombinant human monoclonal antibody to IL-2 for use as a research grade AU 007 biosimilar for ELISA, Flow Cytometry, Functional Studies and in vivo Research.
Recombinant human monoclonal antibody to IL-2 for use as a research grade CUE101 biosimilar for ELISA, Flow Cytometry, Functional Studies and in vivo Research.
Recombinant human monoclonal antibody to IL-2 for use as a research grade MT204 biosimilar for ELISA, Flow Cytometry, Functional Studies and in vivo Research.
Recombinant human monoclonal antibody to IL-2 for use as a research grade balekafusp alfa biosimilar for ELISA, Flow Cytometry, Functional Studies and in vivo Research.
Recombinant human monoclonal antibody to IL-2 for use as a research grade AU 007 biosimilar for ELISA, Flow Cytometry, Functional Studies and in vivo Research.
Recombinant human monoclonal antibody to IL-2 for use as a research grade CUE101 biosimilar for ELISA, Flow Cytometry, Functional Studies and in vivo Research.
Recombinant human monoclonal antibody to IL-2 for use as a research grade MT204 biosimilar for ELISA, Flow Cytometry, Functional Studies and in vivo Research.