ISO 9001:2015 Certified
Live Customer Support
4.5/5 on Trustpilot
100% Quality Guarantee

Anti-IL-2 Antibody [IL2/3949] - BSA and Azide free (A278253)

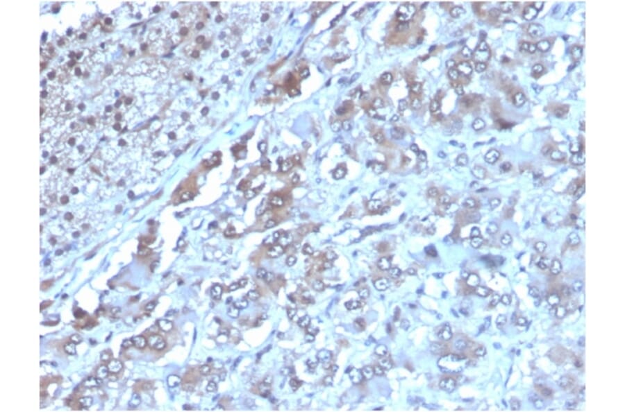
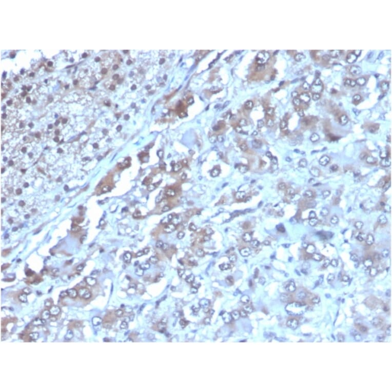
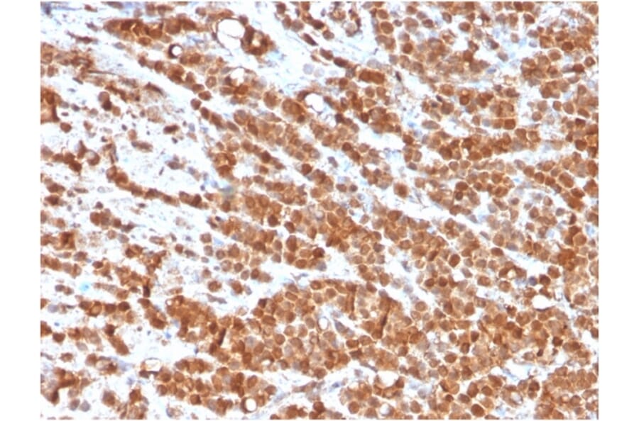
Mouse monoclonal [IL2/3949] antibody to IL-2 for IHC-P.

Alternative Formats and ConjugatesAlternative Formats

Shipping Information

$40
Dispatched from St. Louis, MO.
Lead Time: 5-8 business days.
Name
Anti-IL-2 Antibody [IL2/3949] - BSA and Azide free
Description
Mouse monoclonal [IL2/3949] antibody to IL-2.
Specificity
Interleukin-2 (IL-2) is a T cell stimulatory cytokine that induces T cell proliferation and NK cell proliferation and activation. Produced by T-cells in response to antigenic or mitogenic stimulation, this protein is required for T-cell proliferation and other activities crucial to regulation of the immune response. Can stimulate B-cells, monocytes, lymphokine-activated killer cells, natural killer cells, and glioma cells. The receptor of this cytokine is a heterotrimeric protein complex whose gamma chain is also shared by interleukin 4 (IL4) and interleukin 7 (IL7). IL-2 induces CTLA-4 and also functions as a survival factor for lymphocytes.
Applications
IHC-P
Dilutions
IHC-P: 1-2 µg/ml
Reactivity
Human
Immunogen
Recombinant fragment, around amino acids 21-153, of human IL-2 protein. The exact sequence is proprietary.
Host
Mouse
Clonality
Monoclonal
Clone ID
IL2/3949
Isotype
IgG2a
Light Chains
kappa
Conjugate

Unconjugated

Purification
Protein A/G chromatography.
Concentration
1 mg/ml
Molecular Weight
15 kDa
Product Form
Liquid
Formulation
Supplied in 10mM Phosphate Buffered Saline; without Sodium Azide and carrier free.
Storage
Shipped at 4°C. Upon delivery aliquot and store at -20°C. Avoid freeze / thaw cycles.
General Notes
This monoclonal antibody is also available in a different formulation with BSA and Sodium Azide - Anti-IL-2 Antibody [IL2/3949] (A277665).
Synonyms
IL2, Interleukin-2, T-cell growth factor, TCGF
Disclaimer
This product is for research use only. It is not intended for diagnostic or therapeutic use.
Publishing research using Anti-IL-2 Antibody [IL2/3949] - BSA and Azide free (A278253)? Please let us know so that we can list the citation on this page.

Alternative products to Anti-IL-2 Antibody [IL2/3949] - BSA and Azide free (A278253)

Proteins predicted to interact with IL-2

Predicted protein interactions based upon String database. Revelancy score correlates with probability of interaction.
99.9% Relevancy Score
99.9% Relevancy Score
99.9% Relevancy Score
99.9% Relevancy Score
99.9% Relevancy Score
99.9% Relevancy Score
99.9% Relevancy Score
99.9% Relevancy Score
99.8% Relevancy Score