Western blot analysis of extracts of various cell lines, using Anti-IL-21 Antibody (A16894) at 1:500 dilution. The secondary antibody was Goat Anti-Rabbit IgG H&L Antibody (HRP) at 1:10,000 dilution. Lysates/proteins were present at 25µg per lane. The blocking buffer used was 3% non-fat dry milk in TBST. Detection was with a ECL Enhanced Kit. Exposure time: 180s.
Western blot analysis of extracts of Rat spleen, using Anti-IL-21 Antibody (A16894) at 1:500 dilution. The secondary antibody was Goat Anti-Rabbit IgG H&L Antibody (HRP) at 1:10,000 dilution. Lysates/proteins were present at 25µg per lane. The blocking buffer used was 3% non-fat dry milk in TBST. Detection was with a ECL Basic Kit. Exposure time: 180s.
Immunohistochemistry analysis of paraffin-embedded human colon tissue using Anti-IL-21 Antibody (A16894) at a dilution of 1:50 (40x lens). Perform high pressure antigen retrieval with 10 mM citrate buffer pH 6.0 before commencing with IHC staining protocol.
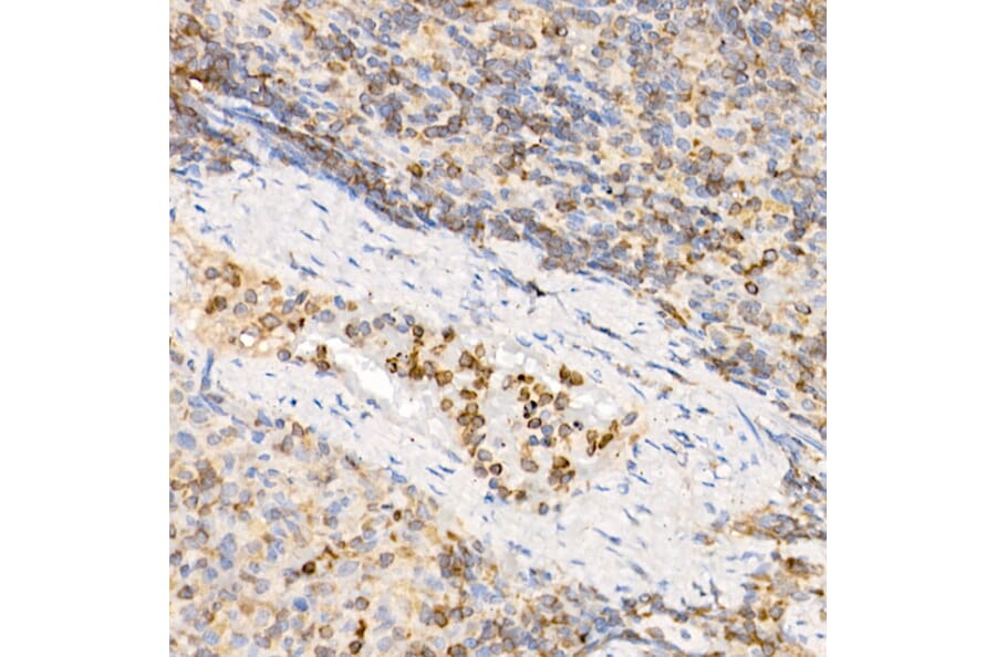
Immunohistochemistry analysis of paraffin-embedded human tonsil using Anti-IL-21 Antibody (A16894) at a dilution of 1:50 (40x lens). Perform high pressure antigen retrieval with 10 mM citrate buffer pH 6.0 before commencing with IHC staining protocol.
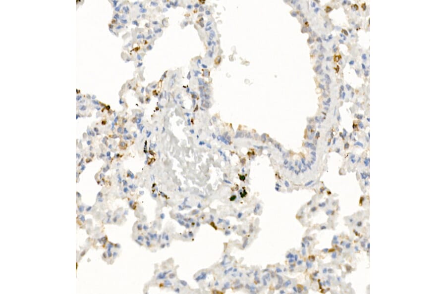
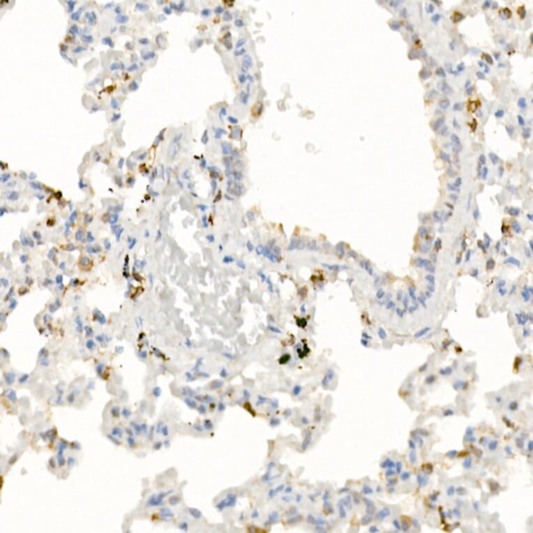
Immunohistochemistry analysis of paraffin-embedded rat lung using Anti-IL-21 Antibody (A16894) at a dilution of 1:50 (40x lens). Perform high pressure antigen retrieval with 10 mM citrate buffer pH 6.0 before commencing with IHC staining protocol.
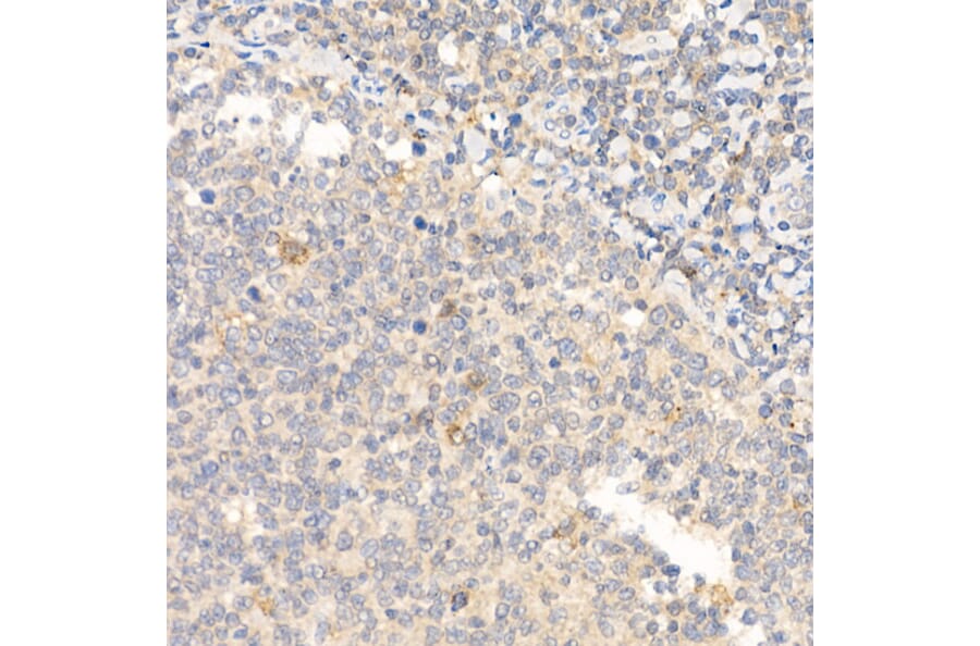
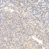
Immunohistochemistry analysis of paraffin-embedded rat spleen using Anti-IL-21 Antibody (A16894) at a dilution of 1:50 (40x lens). Perform high pressure antigen retrieval with 10 mM citrate buffer pH 6.0 before commencing with IHC staining protocol.
Immunofluorescence analysis of HeLa cells using Anti-IL-21 Antibody (A16894) at a dilution of 1:50 (40x lens). DAPI was used to stain the cell nuclei (blue).
Recombinant humanized monoclonal antibody to IL-21 for use as a research grade Avizakimab biosimilar for ELISA, Flow Cytometry, Functional Studies and in vivo Research.
Recombinant human monoclonal antibody to IL-21 for use as a research grade NNC-114-0005 biosimilar for ELISA, Flow Cytometry, Functional Studies and in vivo Research.
Recombinant human monoclonal antibody to IL-21 for use as a research grade NN9828 biosimilar for ELISA, Flow Cytometry, Functional Studies and in vivo Research.
Recombinant humanized monoclonal antibody to IL-21 for use as a research grade Avizakimab biosimilar for ELISA, Flow Cytometry, Functional Studies and in vivo Research.
Recombinant human monoclonal antibody to IL-21 for use as a research grade NNC-114-0005 biosimilar for ELISA, Flow Cytometry, Functional Studies and in vivo Research.
Recombinant human monoclonal antibody to IL-21 for use as a research grade NN9828 biosimilar for ELISA, Flow Cytometry, Functional Studies and in vivo Research.