ISO 9001:2015 Certified
Live Customer Support
4.5/5 on Trustpilot
100% Quality Guarantee

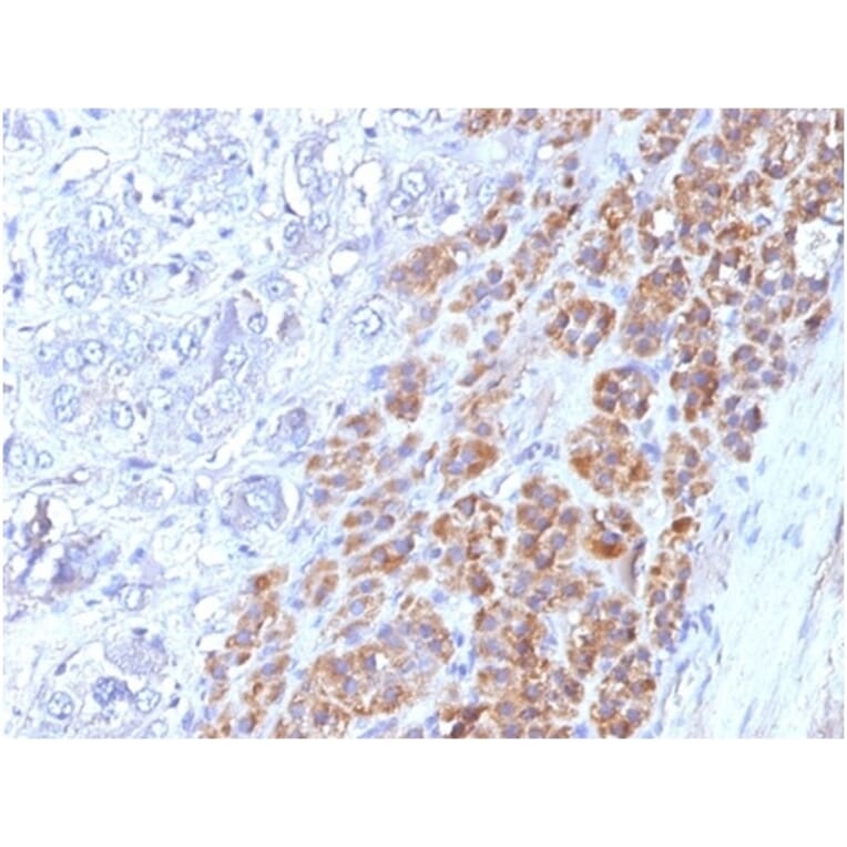
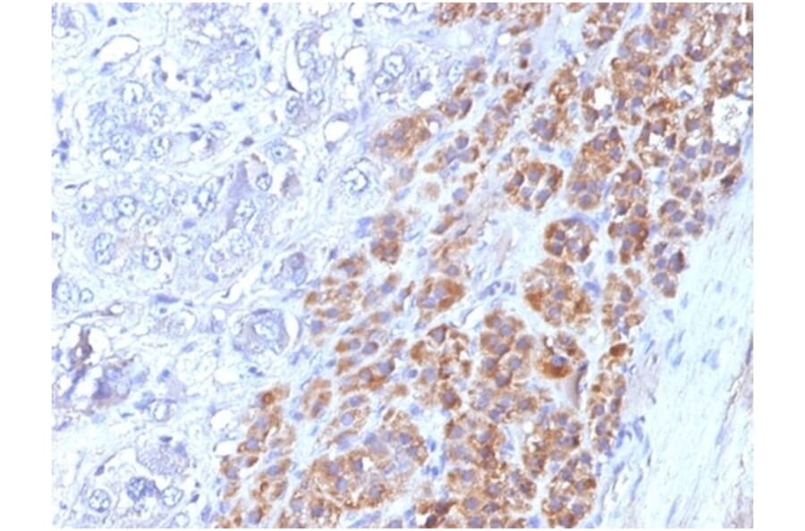
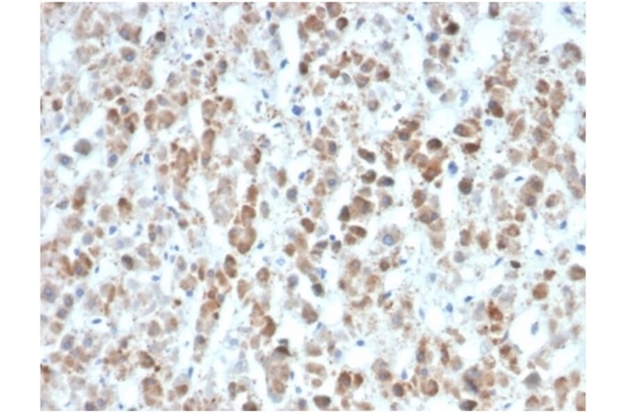
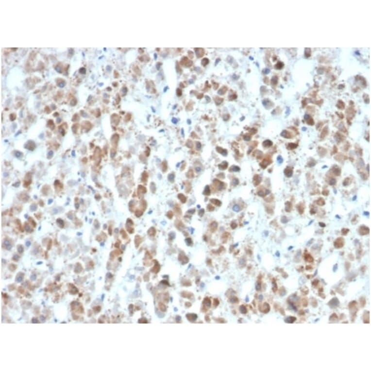
Anti-IL-25 Antibody [IL25/625] - BSA and Azide free (A278381)

Mouse monoclonal [IL25/625] antibody to IL-25 for IHC-P.

Alternative Formats and ConjugatesAlternative Formats

Shipping Information

$40
Dispatched from St. Louis, MO.
Lead Time: 5-8 business days.
Name
Anti-IL-25 Antibody [IL25/625] - BSA and Azide free
Description
Mouse monoclonal [IL25/625] antibody to IL-25.
Specificity
Cytokines are small, soluble proteins with pleiotropic effects on a variety of cell types. Cytokines have a regulatory function over the immune system and mediate aspects of inflammatory response. They exert their biological effects through the binding of membrane-bound receptors which, in turn, initiate signal transduction cascades and elicit physiological changes in their target cell. Interleukin-17 (IL-17) and its cognate receptor, IL-17R, are an example of such a cytokine receptor pair. Originally identified as a rodent cDNA termed CTLA8, IL-17 is capable of inducing the secretion of IL-6 and IL-8 and augmenting the expression of ICAM-1 in human fibroblast cultures. The IL-17 protein exhibits a striking degree of homology with the HSV-13 protein which mimics its function. The IL-17 receptor is a type I transmembrane protein 864 amino acids in length that is highly expressed in spleen and kidney.
Applications
IHC-P
Dilutions
IHC-P: 1-2 µg/ml
Reactivity
Human
Immunogen
Recombinant fragment corresponding to human IL-25 protein. The exact sequence is proprietary.
Host
Mouse
Clonality
Monoclonal
Clone ID
IL25/625
Isotype
IgG1
Light Chains
kappa
Conjugate

Unconjugated

Purification
Protein A/G chromatography.
Concentration
1 mg/ml
Molecular Weight
20 kDa
Product Form
Liquid
Formulation
Supplied in 10mM Phosphate Buffered Saline; without Sodium Azide and carrier free.
Storage
Shipped at 4°C. Upon delivery aliquot and store at -20°C. Avoid freeze / thaw cycles.
General Notes
This monoclonal antibody is also available in a different formulation with BSA and Sodium Azide - Anti-IL-25 Antibody [IL25/625] (A277793).
Synonyms
IL-17E, IL17E, IL25, Interleukin-17E, Interleukin-25
Disclaimer
This product is for research use only. It is not intended for diagnostic or therapeutic use.
Publishing research using Anti-IL-25 Antibody [IL25/625] - BSA and Azide free (A278381)? Please let us know so that we can list the citation on this page.

Alternative products to Anti-IL-25 Antibody [IL25/625] - BSA and Azide free (A278381)

Proteins predicted to interact with IL-25

Predicted protein interactions based upon String database. Revelancy score correlates with probability of interaction.
99.9% Relevancy Score
99.9% Relevancy Score
99.1% Relevancy Score
97.6% Relevancy Score
95.7% Relevancy Score
90.8% Relevancy Score
89.2% Relevancy Score
86.8% Relevancy Score
86.4% Relevancy Score