Primary Antibodies
Secondary Antibodies
Proteins & Peptides
ELISA Kits
About Us
Contact Us
Sign In/Register
0
ISO 9001:2015 Certified
Live Customer Support
4.5/5 on Trustpilot
100% Quality Guarantee
Home
Primary Antibodies
IL-12RB1 Antibodies
Anti-IL12RB1 Antibody (A45082)
Anti-IL12RB1 Antibody (A45082)
Overview
Specifications
Images
Enlarge Image
Enlarge Image
$430
Rabbit polyclonal antibody to IL12RB1 for IHC.
100% Guarantee
Price Match Guarantee
Product Size:
100µl
Quantity:
1
2
3
4
5
6
7
8
9
10
Add To Cart
Request a Quotation
Custom or Bulk Request
Shipping Information
Freight/Packing Charges:
$40
Dispatched from St. Louis, MO.
Lead Time: 6-9 business days.
Specifications
Name
Anti-IL12RB1 Antibody
Description
Rabbit polyclonal antibody to IL12RB1
Specificity
The antibody detects endogenous levels of total IL12RB1 protein.
Applications
IHC
Reactivity
Human
Immunogen
Fusion protein corresponding to a region derived from internal residues of human interleukin 12 receptor, beta 1
Host
Rabbit
Clonality
Polyclonal
Conjugate
Unconjugated
Purification
Antigen affinity purification.
Concentration
0.6 mg/ml
Formulation
Rabbit IgG in pH7.3 PBS, 0.05% NaN3, 50% Glycerol.
Storage
Store at -20˚C
Synonyms
CD212, IL-12 receptor beta component, IL-12 receptor subunit beta-1, IL-12R subunit beta-1, IL-12R-beta-1, IL12R, IL12RB, Interleukin-12 receptor subunit beta-1
Suitable Secondaries
Goat Anti-Rabbit IgG H&L Antibody (AP) (A294874)
Goat Anti-Rabbit IgG H&L Antibody (Biotin) (A294795)
Goat Anti-Rabbit IgG H&L Antibody (FITC) (A294887)
Goat Anti-Rabbit IgG H&L Antibody (HRP) (A294888)
See all Anti-Rabbit IgG Secondaries →
Disclaimer
This product is for research use only. It is not intended for diagnostic or therapeutic use.
Scientific Validation Data
Validation Data
(2)
Enlarge Image
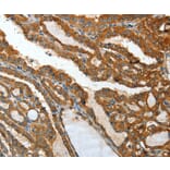
Immunohistochemistry - Anti-IL12RB1 Antibody (A45082)
Immunohistochemical analysis of paraffin-embedded Human thyroid cancer tissue using #35600 at dilution 1/15.
Enlarge Image
Immunohistochemistry - Anti-IL12RB1 Antibody (A45082)
Immunohistochemical analysis of paraffin-embedded Human colon cancer tissue using #35600 at dilution 1/15.
Publishing research using Anti-IL12RB1 Antibody (A45082)? Please
let us know
so that we can list the citation on this page.
Alternative products to Anti-IL12RB1 Antibody (A45082)
A82689
Anti-IL-12RB1 Antibody
Goat polyclonal antibody to IL-12RB1 for ELISA and WB.
A337902
Anti-IL-12RB1 Nanobody [SAA1300]
Recombinant alpaca monoclonal [SAA1300] nanobody to IL-12RB1 for ELISA, Flow Cytometry and SPR.
(2)
A39458
Anti-IL12RB1 Antibody
Rabbit polyclonal antibody to IL12RB1 for WB and IF.
(2)
A100159
Anti-IL12RB1 Antibody
Rabbit polyclonal antibody to IL12RB1 for WB and ELISA.
A13723
Anti-IL-12RB1 Antibody
Rabbit polyclonal antibody to IL-12RB1 for WB.
A31222
Anti-IL12RB1 Antibody
Rabbit polyclonal antibody to IL12RB1 for WB and IHC.
A337506
Anti-IL-12RB1 Nanobody [148C09]
Recombinant mouse monoclonal [148C09] nanobody to IL-12RB1 for Flow Cytometry.
A82689
Anti-IL-12RB1 Antibody
Goat polyclonal antibody to IL-12RB1 for ELISA and WB.
A337902
Anti-IL-12RB1 Nanobody [SAA1300]
Recombinant alpaca monoclonal [SAA1300] nanobody to IL-12RB1 for ELISA, Flow Cytometry and SPR.
(2)
A39458
Anti-IL12RB1 Antibody
Rabbit polyclonal antibody to IL12RB1 for WB and IF.
(2)
A100159
Anti-IL12RB1 Antibody
Rabbit polyclonal antibody to IL12RB1 for WB and ELISA.
A13723
Anti-IL-12RB1 Antibody
Rabbit polyclonal antibody to IL-12RB1 for WB.
A31222
Anti-IL12RB1 Antibody
Rabbit polyclonal antibody to IL12RB1 for WB and IHC.
A337506
Anti-IL-12RB1 Nanobody [148C09]
Recombinant mouse monoclonal [148C09] nanobody to IL-12RB1 for Flow Cytometry.
See all IL12RB1 Antibodies
Proteins predicted to interact with IL-12RB1
Predicted protein interactions based upon String database. Revelancy score correlates with probability of interaction.
IL-23R Antibodies
99.9% Relevancy Score
TYK2 Antibodies
99.9% Relevancy Score
IL12RB2 Antibodies
99.9% Relevancy Score
IL-23 p19 Antibodies
99.8% Relevancy Score
IL-12 p40 Antibodies
99.8% Relevancy Score
JAK2 Antibodies
99.8% Relevancy Score
STAT4 Antibodies
99% Relevancy Score
WSX 1 Antibodies
98.1% Relevancy Score
STAT3 Antibodies
97.6% Relevancy Score
Top