Primary Antibodies
Secondary Antibodies
Proteins & Peptides
ELISA Kits
About Us
Contact Us
Sign In/Register
0
ISO 9001:2015 Certified
Live Customer Support
4.5/5 on Trustpilot
100% Quality Guarantee
Home
Primary Antibodies
IL-17RA Antibodies
Anti-IL17RA Antibody (A45570)
Anti-IL17RA Antibody (A45570)
Overview
Specifications
Images
Enlarge Image
Enlarge Image
$430
Product Datasheet
Rabbit polyclonal antibody to IL17RA for IHC.
100% Guarantee
Price Match Guarantee
Product Size:
100µl
Quantity:
1
2
3
4
5
6
7
8
9
10
Add To Cart
Request a Quotation
Custom or Bulk Request
Shipping Information
Freight/Packing Charges:
$40
Dispatched from St. Louis, MO.
Lead Time: 6-9 business days.
Specifications
Name
Anti-IL17RA Antibody
Description
Rabbit polyclonal antibody to IL17RA
Specificity
The antibody detects endogenous levels of total IL17RA protein.
Applications
IHC
Reactivity
Human
Immunogen
Synthetic peptide corresponding to a region derived from internal residues of human interleukin 17 receptor A
Host
Rabbit
Clonality
Polyclonal
Conjugate
Unconjugated
Purification
Antigen affinity purification.
Concentration
2.2 mg/mL
Formulation
Supplied in PBS, pH 7.3, containing 0.05% sodium azide and 50% glycerol.
Storage
Shipped at 4°C. Upon delivery aliquot and store at -20°C. Avoid freeze/thaw cycles.
Synonyms
CD217, CDw217, IL-17 receptor A, IL17R, Interleukin-17 receptor A
Suitable Secondaries
Goat Anti-Rabbit IgG H&L Antibody (AP) (A294874)
Goat Anti-Rabbit IgG H&L Antibody (Biotin) (A294795)
Goat Anti-Rabbit IgG H&L Antibody (FITC) (A294887)
Goat Anti-Rabbit IgG H&L Antibody (HRP) (A294888)
See all Anti-Rabbit IgG Secondaries →
Disclaimer
This product is for research use only. It is not intended for diagnostic or therapeutic use.
Scientific Validation Data
Validation Data
(2)
Enlarge Image
Immunohistochemistry - Anti-IL17RA Antibody (A45570)
Immunohistochemical analysis of paraffin-embedded Human gastric cancer tissue using #37648 at dilution 1/20.
Enlarge Image
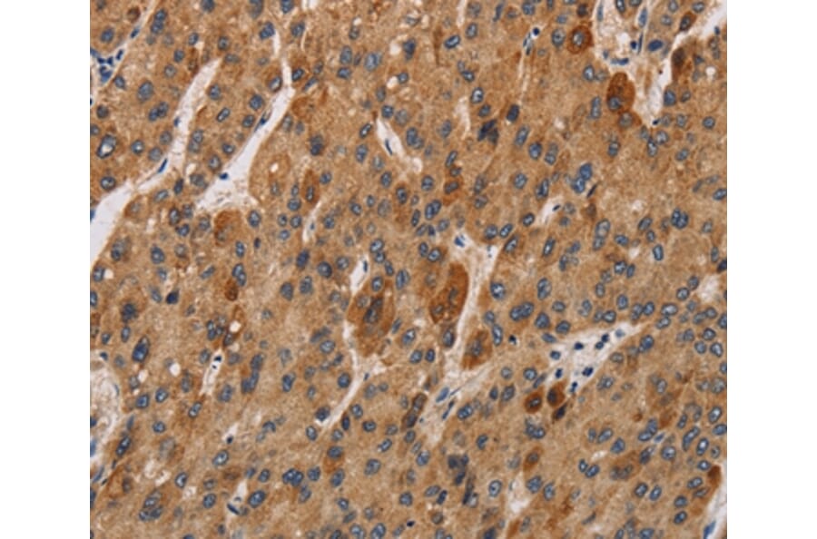
Immunohistochemistry - Anti-IL17RA Antibody (A45570)
Immunohistochemical analysis of paraffin-embedded Human liver cancer tissue using #37648 at dilution 1/20.
Publishing research using Anti-IL17RA Antibody (A45570)? Please
let us know
so that we can list the citation on this page.
Alternative products to Anti-IL17RA Antibody (A45570)
(2)
A339007
Brodalumab Biosimilar - Anti-IL-17RA Antibody - BSA and Azide free
Human monoclonal antibody to IL-17RA Research grade Brodalumab biosimilar for ELISA, Flow Cytometry, Functional Studies and in vivo Research.
A340023
Anti-IL-17RA Antibody [OSE-73] Biosimilar - BSA and Azide free
Human monoclonal antibody to IL-17RA Research grade OSE-703 biosimilar for ELISA, Flow Cytometry, Functional Studies and in vivo Research.
A340022
Anti-IL-17RA Antibody [ZL 112] Biosimilar - BSA and Azide free
Human monoclonal antibody to IL-17RA Research grade ZL 1102 biosimilar for ELISA, Flow Cytometry, Functional Studies and in vivo Research.
A54481
Anti-IL17RA Antibody
Rabbit polyclonal antibody to IL17RA for ELISA and WB.
A84364
Anti-IL-17RA Antibody
Goat polyclonal antibody to IL-17RA for ELISA and WB.
A98800
Anti-IL17RA Antibody
Rabbit polyclonal antibody to IL17RA for WB and ELISA.
A337971
Anti-IL-17RA Nanobody [SAA1266]
Recombinant alpaca monoclonal [SAA1266] nanobody to IL-17RA for ELISA.
A41843
Anti-IL17RA Antibody
Rabbit polyclonal antibody to IL17RA for WB.
(2)
A339007
Brodalumab Biosimilar - Anti-IL-17RA Antibody - BSA and Azide free
Human monoclonal antibody to IL-17RA Research grade Brodalumab biosimilar for ELISA, Flow Cytometry, Functional Studies and in vivo Research.
A340023
Anti-IL-17RA Antibody [OSE-73] Biosimilar - BSA and Azide free
Human monoclonal antibody to IL-17RA Research grade OSE-703 biosimilar for ELISA, Flow Cytometry, Functional Studies and in vivo Research.
A340022
Anti-IL-17RA Antibody [ZL 112] Biosimilar - BSA and Azide free
Human monoclonal antibody to IL-17RA Research grade ZL 1102 biosimilar for ELISA, Flow Cytometry, Functional Studies and in vivo Research.
A54481
Anti-IL17RA Antibody
Rabbit polyclonal antibody to IL17RA for ELISA and WB.
A84364
Anti-IL-17RA Antibody
Goat polyclonal antibody to IL-17RA for ELISA and WB.
A98800
Anti-IL17RA Antibody
Rabbit polyclonal antibody to IL17RA for WB and ELISA.
A337971
Anti-IL-17RA Nanobody [SAA1266]
Recombinant alpaca monoclonal [SAA1266] nanobody to IL-17RA for ELISA.
A41843
Anti-IL17RA Antibody
Rabbit polyclonal antibody to IL17RA for WB.
See all IL17RA Antibodies
Proteins predicted to interact with IL-17RA
Predicted protein interactions based upon String database. Revelancy score correlates with probability of interaction.
IL-17A Antibodies
99.9% Relevancy Score
IL-17F Antibodies
99.9% Relevancy Score
IL-17RB Antibodies
99.9% Relevancy Score
IL-25 Antibodies
99.9% Relevancy Score
IL-17RE Antibodies
99.9% Relevancy Score
IL-17RC Antibodies
99.8% Relevancy Score
IL-17C Antibodies
99.1% Relevancy Score
IL-17RD Antibodies
98.2% Relevancy Score
CIKS Antibodies
97.6% Relevancy Score
Top